病例报告|以脑膜脑炎为主要表现的嗜酸性粒细胞增多症1例
时间:2025-04-14 12:10:57 热度:37.1℃ 作者:网络
摘 要 本文报告1例嗜酸性粒细胞性脑膜脑炎的患者,表现为情绪低落、头痛及记忆力减退,查体可见精神紧张,言语稍含糊,认知功能减退。实验室检查提示外周血及脑脊液中嗜酸性粒细胞明显升高,考虑嗜酸性粒细胞增多性脑膜脑炎,给予糖皮质激素、改善认知功能等治疗后症状好转。回顾其临床特点、实验室检查资料及诊疗经过,探讨以脑膜脑炎为表现形式的嗜酸性粒细胞增多症的发病机制、治疗及鉴别,借此提高临床医师对嗜酸性粒细胞增多症并发脑膜脑炎的认识,为此类疾病提供临床诊疗参考。
关键词 嗜酸性粒细胞增多症;脑膜脑炎;认知功能下降;中枢神经系统感染;头痛
嗜酸性粒细胞增多症是指外周血嗜酸性粒细胞绝对计数大于0.5×109/L,在临床上血嗜酸性粒细胞增多症的病因复杂,缺乏典型的临床表现[1]。根据病因可分为原发性(克隆性)、遗传性(家族性)、继发性(反应性)和未定(特发性)。嗜酸性粒细胞增多症可进一步引起不同系统受累,累及中枢神经系统较为罕见[2-3]。本文报告1例嗜酸性粒细胞性脑膜脑炎的患者,并分析其病理及疾病发展特点。
1 临床资料
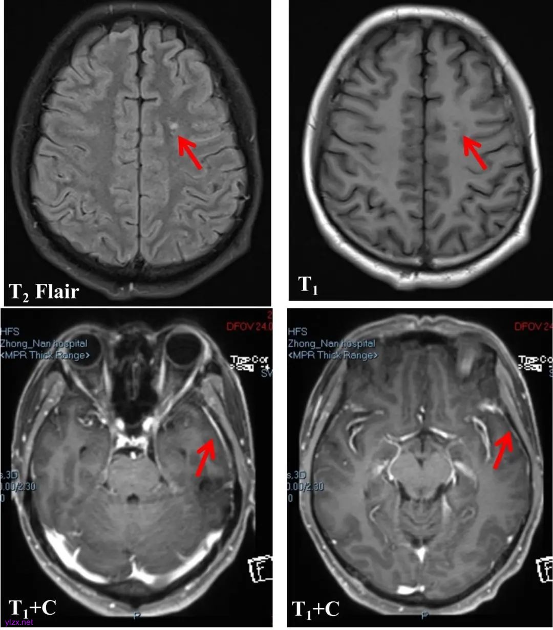
患者男,50岁,因“情绪低落3个月,头痛1个月,记忆力减退半月”于2023年6月22日入院。3个月前因工作情绪低落,1个月前无明显诱因出现双侧颞部剧烈头痛,数字疼痛评分量表(numerical rating scale,NRS)自评8分。2 d后头痛症状自行缓解,后进食少。半月前再次因压力事件出现记忆力下降,言行异常,前往当地医院2023年06月21日腰穿示脑脊液(cerebrospinal fluid, CSF)总蛋白1388.51 mg/L↑,细胞总数1.084×109/L↑。起病来,患者精神一般,食欲差,睡眠一般,体力下降,近1个月体质量下降十几斤。既往有长期间断头痛病史十余年。入院神经科查体:神清,双侧额纹对称,双侧瞳孔等大等圆,直径3.0 mm,对光反射存在,双眼外展稍受限,眼震可疑(+),左侧鼻唇沟较浅,口角向右歪斜,伸舌正常,精神紧张,言语稍含糊,语速较慢,理解力、时间地点定向力、近事记忆下降,计算力下降(如:100-7=107)。颈无抵抗,四肢肌力5级,左上肢肌张力稍高,余肢体肌张力正常;可见双上肢姿势性震颤,双上肢腱反射亢进。四肢深浅感觉粗查正常,病理征未引出,脑膜刺激征阴性,共济运动欠稳准。实验室检查:嗜酸性粒细胞百分比12.7%↑,嗜酸性粒细胞绝对值0.73×109/L↑(图1A)。感染性及血管性疾病筛查指标、寄生虫卵镜检、血+CSF寄生虫抗体和自身免疫性脑炎抗体(TBA+CBA)、CSF宏基因组病原学检测(DNA)均正常。CSF嗜酸性粒细胞百分比46%(图1B),寡克隆区带(+)。CSF蛋白1.34 g/L↑,有核细胞数45个/μL(嗜酸性粒细胞百分比为46%)。EEG:双侧额颞区可见多量中幅1.5~2 Hz慢波活动或节律,左侧颞区明显,可见左侧颞区间断δ节律。MMSE:10分。骨髓细胞检查提示三系增生伴粒系感染改变,嗜酸性细胞易见(图1C)。流式提示嗜酸性粒细胞(p9)占有核细胞4.8%。颅脑MRI检查示双侧侧脑室旁白质区见多发点状T2 Flair高信号灶,Fazekas 1级;增强扫描可见左侧颞区可疑硬脑膜强化(图2),考虑为嗜酸性粒细胞增多性脑膜脑炎。给予糖皮质激素(甲泼尼龙80 mg/d,5 d→泼尼松60 mg)、改善认知(多奈哌齐10 mg/d)、控制大脑皮层异常放电及稳定心境治疗(丙戊酸钠250 mg/12 h)。使用糖皮质激素治疗后,患者精神紧张较前明显减轻,时间地点定向力、计算力明显好转。2023年7月3日复查CSF生化:蛋白0.73 g/L↑;CSF常规:有核细胞总数15个/μL↑,未见嗜酸性粒细胞。复查外周血嗜酸性粒细胞百分比及绝对值较前明显下降。院外口服糖皮质激素治疗,泼尼松每2周减少5 mg缓慢减至停药。1个月后患者前往门诊复诊,MMSE检查30分,复查血常规嗜酸性粒细胞正常。3个月后住院复查CSF蛋白0.44 g/L↑、嗜酸性粒细胞数0.20×109/L(4.5%),EEG示轻度异常,未予特殊治疗出院。

Fig.1 Cytological smears from different sources
图1 细胞学涂片 A:外周血外周血涂片 可见嗜酸性粒细胞增多;B:脑脊液脱落细胞学涂片 可见大量嗜酸性粒细胞;C:骨髓细胞涂片 可见粒系增生活跃,嗜酸性粒细胞易见。

Fig.2 Cranial MRI findings
图2 颅脑MRI检查结果 双侧侧脑室旁白质区见多发点状T2 Flair高信号灶,增强可见左侧颞区硬脑膜强化。
2 讨论
嗜酸性粒细胞增多与多种疾病有关[4],原发性嗜酸性粒细胞增多症主要为血液系统疾病[5],临床表现不尽相同,常见有发热、腹痛、支气管哮喘、各种皮疹等[6-8]。目前多认为直接细胞毒性效应和激活其他的炎症细胞为嗜酸性粒细胞激活导致疾病的发病机制[4,9]。特发性嗜酸性粒细胞增多综合征一词于1975年提出,是指伴有器官损伤迹象的无法解释的嗜酸性粒细胞增多,随着诊断方法的不断改进,不明原因病例的数量已显著减少[10-11]。
嗜酸性粒细胞增多症可累及多个系统,CNS受累以急性脑卒中较常见,最常表现为分水岭区的多发梗死,发病机制可能与嗜酸性粒细胞增多导致的血管毒性作用有关[12-13]。同时嗜酸性粒细胞浸润、心肌细胞变性坏死和纤维化则可能影响到心脏的泵血功能,进一步影响脑灌注[14-16]。临床上,超过95%的嗜酸性粒细胞增多病例有继发性原因,嗜酸性粒细胞计数通常会在糖皮质激素治疗的数小时至数天内降至正常范围[17-18]。本病例排查了寄生虫、血液疾病、过敏疾病等常见原因,考虑为特发性嗜酸性粒细胞增多症所致的脑膜脑炎。患者以神经系统症状、体征为首发表现,在使用糖皮质激素治疗后第2 天患者精神紧张症状较前好转,糖皮质激素逐渐减量至停药的过程中,患者症状未再恶化,进一步证实该患者为特发性嗜酸性粒细胞增多症所致的脑膜脑炎。
嗜酸性粒细胞性脑膜脑炎在临床较为罕见,多为寄生虫感染所致的并发症[19-20],值得我们注意的是外周血嗜酸性粒细胞绝对计数并不一定与终末器官的受损成正比,因此治疗上建议以神经系统受累和功能障碍作为主要治疗指征[10]。参考既往文献报告及本例患者治疗结局,建议可选泼尼松1 mg/(kg·d)静脉点滴或口服,1~2周后可依据症状逐渐缓慢减量,2~3个月减量至最少维持剂量或停药。
参考文献:
1. MARSHALL E. Pot-spraying plan raises some smoke[J]. Science, 1982, 217(4558): 429.
2. KUANG F L. Approach to patients with eosinophilia[J]. Med Clin North Am, 2020, 104(1): 1-14.
3. VAN BALKUM M, KLUIN-NELEMANS H, VAN HELLE-MOND J J, et al. Hypereosinophilia: A diagnostic challenge[J]. Neth J Med, 2018, 76(10): 431-436.
4. KOVALSZKI A, WELLER P F. Eosinophilia[J]. Prim Care, 2016, 43(4): 607-617.
5. COTTIN V. Eosinophilic lung diseases[J]. Clin Chest Med, 2016, 37(3): 535-556.
6. LONG H, ZHANG G, WANG L, et al. Eosinophilic skin diseases: A comprehensive review[J]. Clin Rev Allergy Immunol, 2016, 50(2): 189-213.
7. AGNIHOTRI N T, MCGRATH K G. Allergic and nonallergic rhinitis[J]. Allergy Asthma Proc, 2019, 40(6): 376-379.
8. REQUENA G, VAN DEN BOSCH J, AKUTHOTA P, et al. Clinical profile and treatment in hypereosinophilic syndrome variants: A pragmatic review[J]. J Allergy Clin Immunol Pract, 2022, 10(8): 2125-2134.
9. LARSEN R L, SAVAGE N M. How I investigate eosinophilia[J]. Int J Lab Hematol, 2019, 41(2): 153-161.
10. KLION A D. Eosinophilia: A pragmatic approach to diagnosis and treatment[J]. Hematology Am Soc Hematol Educ Program, 2015, 2015: 92-97.
11. TRUEB R M. Idiopathic eosinophilia[J]. Hautarzt, 1997, 48(3): 153-156.
12. GRAEFF-TEIXEIRA C, DA SILVA A C, YOSHIMURA K. Update on eosinophilic meningoencephalitis and its clinical relevance[J]. Clin Microbiol Rev, 2009, 22(2): 322-348.
13. PROCIV P, BRINDLEY P J. Eosinophilic meningoencephalitis[J]. Med J Aust, 1984, 141(5): 319.
14. SAKAI T, INOUE S, MATSUYAMA T A, et al. Eosinophils may be involved in thrombus growth in acute coronary syndrome[J] . Int Heart J I, 2009, 50(3): 267-277.
15. KANNO H, OUCHI N, SATO M, et al. Hypereosinophilia with systemic thrombophlebitis[J]. Hum Pathol, 2005, 36(5): 585-589.
16. MOOSBAUER C, MORGENSTERN E, CUVELIER S L, et al. Eosinophils are a major intravascular location for tissue factor storage and exposure[J]. Blood, 2007, 109(3): 995-1002.
17. EAMSOBHANA P. Eosinophilic meningitis caused by Angiostrongylus cantonensis—a neglected disease with escalating importance[J]. Trop Biomed, 2014, 31(4): 569-578.
18. BUTT N M, LAMBERT J, ALI S, et al. Guideline for the investigation and management of eosinophilia[J]. Br J Haematol, 2017, 176(4): 553-572.
19. NEWTON C R, PREUX P M, SINGHI P. Parasitic disorders[J]. Handb Clin Neurol, 2013, 112: 1139-1152.
20. MURPHY G S, JOHNSON S. Clinical aspects of eosinophilic meningitis and meningoencephalitis caused by Angiostrongylus cantonensis, the rat lungworm[J]. Hawaii J Med Public Health, 2013, 72(6 S2): 35-40.
【引用格式】吴双,张宸睿,毕莹 ,等. 以脑膜脑炎为主要表现的嗜酸性粒细胞增多症1例[J]. 中国神经精神疾病杂志,2025,51(2):109-111.
【Cite this article】WU S,ZHANG C R,BI Y,et al.A case of eosinophilia presenting with meningoencephalitis[J]. Chin J Nervous Mental Dis,2025,51(2):109-111.
DOI:10.3969/j.issn.1002-0152.2025.02.007

