Eur J Trauma Emerg Surg:内侧关节间隙增宽对踝关节骨折脱位闭合复位后继发性脱位的影响
时间:2025-04-12 12:16:50 热度:37.1℃ 作者:网络
踝关节骨折占所有骨折的10%,由于人口老龄化、肥胖以及运动等因素,其发病率呈上升趋势。Lauge-Hansen 分型系统有助于诊断,其中旋后-外旋型骨折最为常见,内侧关节间隙超过5毫米提示存在下胫腓联合或三角韧带损伤。(图1)

踝关节脱位的定义是胫骨远端与距骨的对位关系异常。虽然大多数脱位的踝关节骨折需要切开复位内固定,但急性肿胀可能需要先进行临时复位、固定,并延迟进行确定性手术。文献中描述了两种已被证实有效的方法:使用石膏固定或外固定架固定。踝关节骨折脱位在闭合复位并石膏固定后容易出现复位丢失的情况。近期文献表明,78.4% 的患者首次尝试石膏固定时可成功复位,但高达43%-50% 的患者在再脱位后需要再次复位。再脱位会增加疼痛、软组织并发症、骨软骨损伤的发生几率,并延迟确定性固定的时间。随着水肿消退、肿胀减轻,石膏的贴合度会降低,进一步增加了复位丢失的风险。另一方面,外固定架通过轴向牵引和韧带整复作用实现复位和稳定固定,但存在针道感染的风险,并且需要进行手术。鉴于关于石膏固定的证据有限,本研究旨在评估采用石膏固定的踝关节骨折初步复位不充分的危险因素。
方法:对2011年至2023年期间在我们一级创伤中心接受治疗的踝关节骨折脱位患者进行回顾性研究。主要观察指标是石膏固定期间复位不充分的发生率。次要观察指标包括确定性手术的时间、手术时长和住院时间。

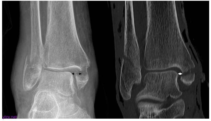
三踝骨折的前后位X线片。
左图显示了处于预还原状态的脚踝。黑色箭头显示内侧间隙扩大到8.3毫米。右图显示计算机断层扫描中踝关节后复位。白色钻石显示测量的内侧间隙为4.2毫米

三踝骨折的侧位X线片。PMF宽度与胫骨宽度之比定义了PMF在胫骨关节表面的百分比以及矢状径

流程图

两组在人口统计学特征和合并症方面的比较

夹板固定过程中复位充分与复位不足患者的PMF结构和初始脱位的比较

对初始内侧间隙进行ROC曲线分析,以预测复位不足。A点表示内侧间隙为9mm

