Nat Commun 复旦大学附属中山医院王利新教授团队揭示主动脉夹层的发病新机制
时间:2025-04-09 12:08:33 热度:37.1℃ 作者:网络
主动脉夹层是最致命的心血管疾病之一,由主动脉内膜近端撕裂或壁内滋养血管的破裂出血引起,撕裂的内膜片顺向或逆向延伸,形成真假两腔。夹层的起病和进展通常没有任何预兆且缺乏典型症状,假腔一旦破裂,病人可在极短时间内死亡。胸主动脉腔内修复术(TEVAR)已被证明能够有效稳定并重塑主动脉,为夹层患者带来临床获益。然而,TEVAR虽然能够成功封堵近端破口,但通常会留下远端破口未封闭,从而导致远端主动脉的血流分布失衡。在部分患者中,真腔持续通过远端破口向假腔供血会导致主动脉不良重塑,从而增加主动脉相关不良事件(AAEs)的风险,并影响夹层的整体预后。因此,研究夹层的发病机制,探索预后指标以优化对主动脉重塑不良高风险患者的识别,并寻找潜在的辅助治疗靶点,进而提高TEVAR在夹层患者中的疗效,促进夹层主动脉良性重塑,优化腔内治疗效果,具有重要临床意义。
近期,复旦大学附属中山医院血管外科王利新教授团队在Nature Communications上发表了题为“Integrated Multi-Omics Profiling Reveals Neutrophil Extracellular Traps Potentiate Aortic Dissection Progression”的论文,研究解析了主动脉夹层的免疫环境调控新机制。

本研究首先基于60例人体外周血浆标本质谱分析数据,从外周免疫角度评估夹层系统性免疫功能改变,证实中性粒细胞的激活与趋化、炎症因子的产生与积累是夹层患者外周免疫的重要表现。另外,基于6例人体主动脉组织单细胞测序数据,绘制单细胞分辨率下夹层主动脉及健康主动脉微环境的全图景,进一步整合12例公共数据库来源的常规转录组测序数据,发现在主动脉病灶中,与夹层表型高度相关的炎性巨噬细胞亚群通过CXCL3/CXCR2轴促进中性粒细胞激活、趋化并脱颗粒,诱导中性粒细胞胞外诱捕网(NETs)的形成,促进主动脉局部炎性免疫微环境形成。NETs形成增加是夹层患者系统免疫和主动脉微环境的特征性表现。

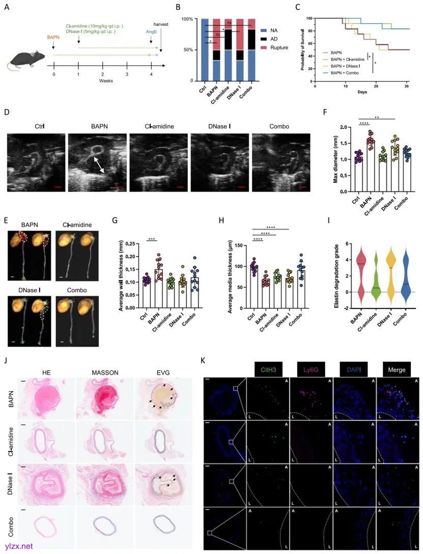
在夹层小鼠模型中,使用药物Cl-amidine阻断NETs形成,可显著抑制主动脉扩张,减轻弹力纤维降解程度,有效减少夹层进展与破裂风险,延长小鼠生存时间。而DNase I能部分缓解夹层破裂状况,对小鼠生存起到一定改善作用。

最后,本研究构建了一个夹层随访队列,共纳入116例患者,测定基线血浆中瓜氨酸化组蛋白H3 (CitH3)水平,绘制KM曲线结果显示,高水平CitH3患者相比低水平CitH3患者具有更高的主动脉相关不良事件发生率。多因素Cox回归模型结果显示,CitH3和IL-1β是夹层预后不良的独立风险因素。

综上,本研究通过对夹层患者和健康个体的主动脉病灶和外周血进行单细胞转录组和蛋白质组学分析,发现夹层存在系统性炎症激活与外周免疫失衡,NETs形成增加是夹层患者系统免疫和主动脉微环境的特征性表现。夹层相关的炎性巨噬细胞通过CXCL3/CXCR2轴调控NETs,从而促进夹层的发生发展。通过抑制瓜氨酸化组蛋白H3或CXCL3/CXCR2轴,可减少NETs的形成,从而改善主动脉夹层的进展和破裂。此外,血浆中瓜氨酸化组蛋白H3 (CitH3)的水平可有效预测TEVAR术后AAEs的发生,有助于夹层患者的风险分层及预后评估。
本研究来源于临床,经过基础研究的探索和验证,最终服务于临床,基础与临床深度结合、相互转化,为夹层起病、进展、转归的机制研究提供全面而系统的视角,及时准确地识别预后不良的高风险患者,并对此采取靶向夹层特异性炎症激活位点和途径的精准治疗方法,有助于促进主动脉良性重塑,以期为夹层的个性化精准治疗提供更加科学、客观、翔实的理论依据。希望在未来能够设计和建立大样本、多中心、前瞻性的主动脉夹层患者研究队列,构建和整合主动脉组织和外周血样本多组学数据库,开放给更多的研究者们共同参与到主动脉夹层的基础和临床转化研究中来,经过前沿的数据分析算法和扎实的生物实验验证,切实有效地提高腔内治疗效果,改善夹层患者预后,实现患者生存获益。
原文链接:
https://www.nature.com/articles/s41467-024-55038-8.pdf

