惊险的急诊手术
时间:2025-04-08 12:08:51 热度:37.1℃ 作者:网络
病例资料
患者男性,49岁,因突发劳累性持续胸痛,伴恶心、呕吐3小时来院。
心电图提示下壁ST段抬高型心肌梗死。

口服600mg氯吡格雷,300mg阿司匹林。
交待后同意急诊造影。
冠脉造影



RCA第一转折50%狭窄,第二转折前100%闭塞。
治疗过程

2.5×15mm球囊扩张后,替罗非班注射,显示残余狭窄合并血栓负荷。
患者出现血压下降、心动过缓,躁动,呕吐。
给予升压,提高心率。
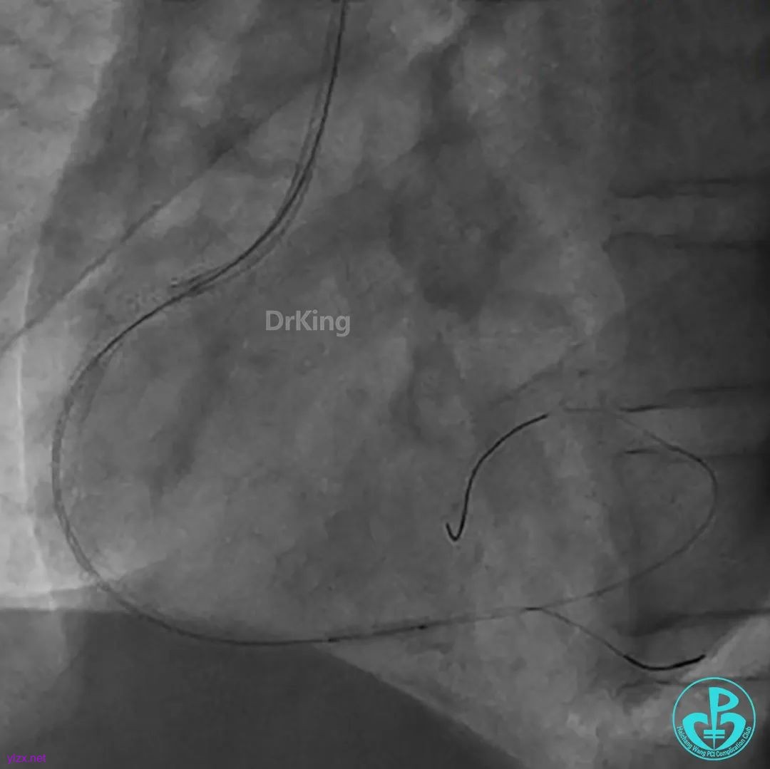
导管、导丝飞走。

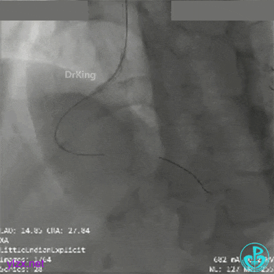
导管、导丝重新到位,血栓抽吸后,经抽吸导管注射替罗非班,血栓负荷减少,残余狭窄重。

球囊再次扩张远端后,替罗非班注射,示远端狭窄改善,近端出现什么情况?血栓?夹层?
直接指引导管抽吸,未见血栓。
冒烟显示近端仍然有异物,远端造影剂滞留。
高度怀疑近端夹层。
患者出现胸痛,给予镇痛治疗,同时考虑血管内超声检查。



超声证实PL延伸至近端血肿,近端可见夹层破口。
近端3.5×33mm支架至开口,中段接3.0×33mm支架。后扩张处理后远端仍然造影剂滞留。

PL近端2.5mm切割球囊扩张后,造影剂滞留改善。

远端至PL近端接2.75×33mm支架后,血流彻底恢复。

3.0×15mm及3.5×15mm球囊优化以后最后造影。
超声证实支架膨胀及贴壁良好,血肿消失,症状缓解。好惊险!


