“螺旋”棘突球囊妙用!螺旋棘突球囊联合延长导管拉取冠脉大血栓恢复血流
时间:2025-05-10 12:09:12 热度:37.1℃ 作者:网络
基础信息
患者胸痛4天,外院诊断为急性前壁心肌梗死,为求进一步治疗转入我院。
冠脉造影
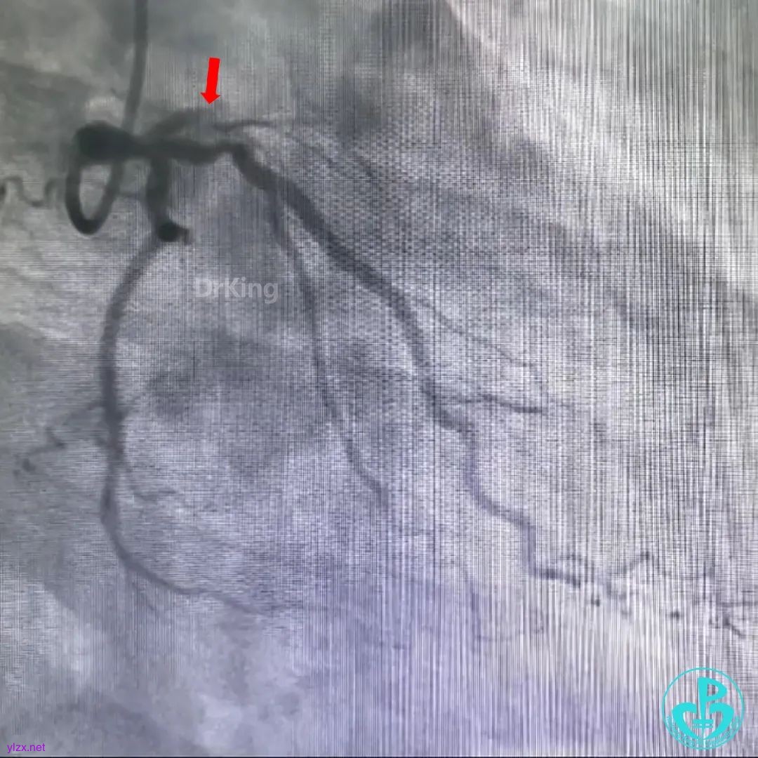
前降支闭塞,闭塞段大量血栓。

介入治疗
球囊扩张及抽吸导管抽吸三次后,造影仍无血流。

在延长导管和“螺旋”棘突球囊(赛诺医疗)配合下进行拉栓(比Guiding深插安全的多)。

拉栓其实是用导管和“螺旋”棘突球囊把血栓“拘”起来(其他球囊太光滑,起不到向外拖拽血栓的作用),相互配合,这样操作没有血栓掉到主动脉的风险。


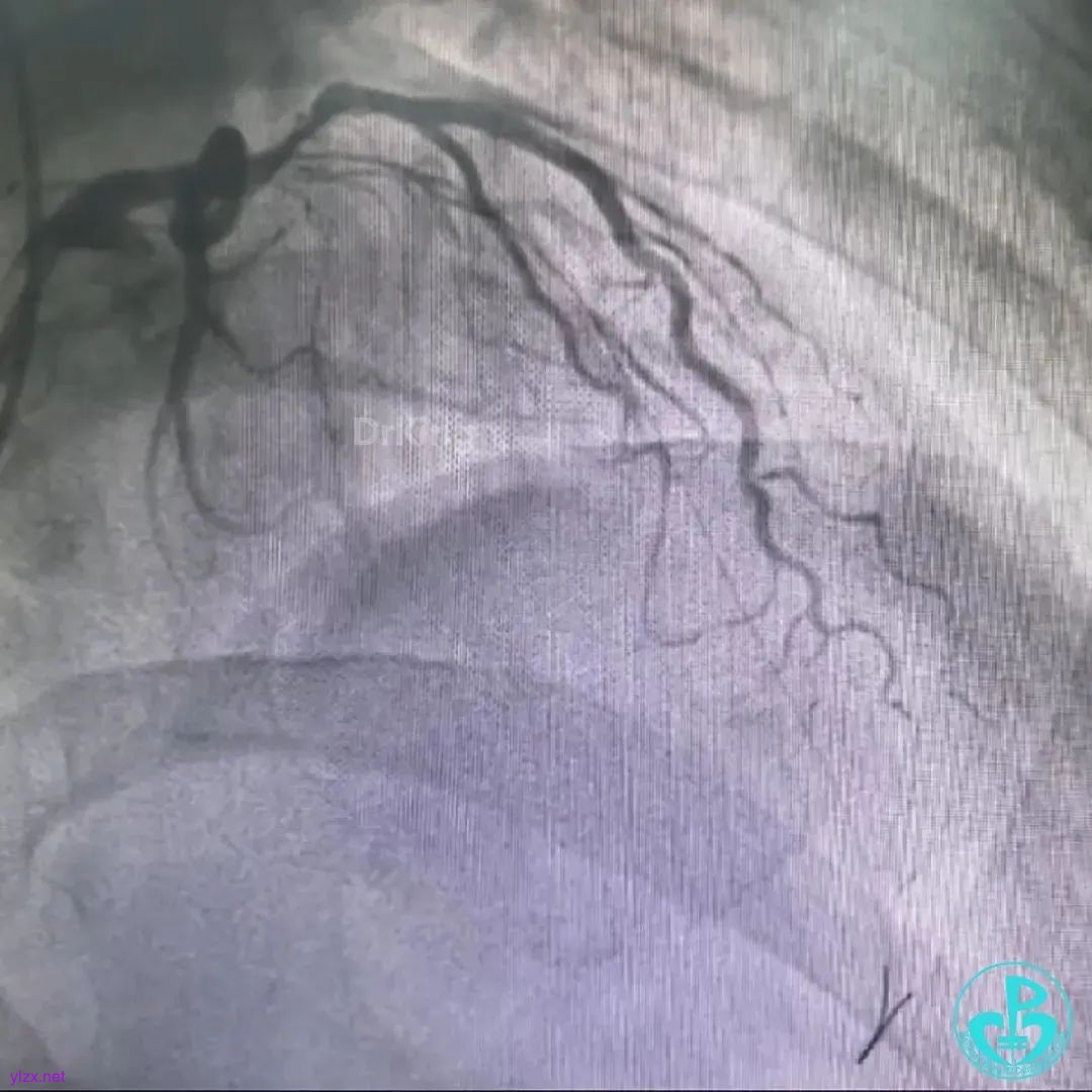
“螺旋”棘突球囊2atm拉栓后造影TIMI血流2级,后植入2枚支架,造影显示TIMI血流3级。


遗憾的是远端末梢还有少量血栓。
总结
1. 拉栓这个方法想了好久,一直没实战,今天用了效果出奇的好。
2. 用导管和赛诺海神戟“螺旋”棘突球囊把血栓“拘”起来,相互配合,没有血栓掉到主动脉的风险,这个理念相信以后有更好的类似理念器械。

