急性心梗入路动脉扭曲导管多处打折,噩梦啊!
时间:2025-05-08 12:08:37 热度:37.1℃ 作者:网络
病例资料
患者因胸痛9小时入院。
心电图提示急性前壁心梗。
上台。
治疗过程
然而:锁骨下迷走,多次尝试TIG根本无法到位。

因为是心梗,患者持续胸痛,生命体征不稳,不再尝试,改腿。
然而,还是不能到位。

带的J-W转,突然血压没了,看下面,悲剧了。


糟糕,打折了,想解开,重新换管子。

结果上面又出问题。

管子反折,J-W根本无法通过。
10分钟过去了,怎么办?
患者持续胸痛,先放这里,改入路开通心脏血管!

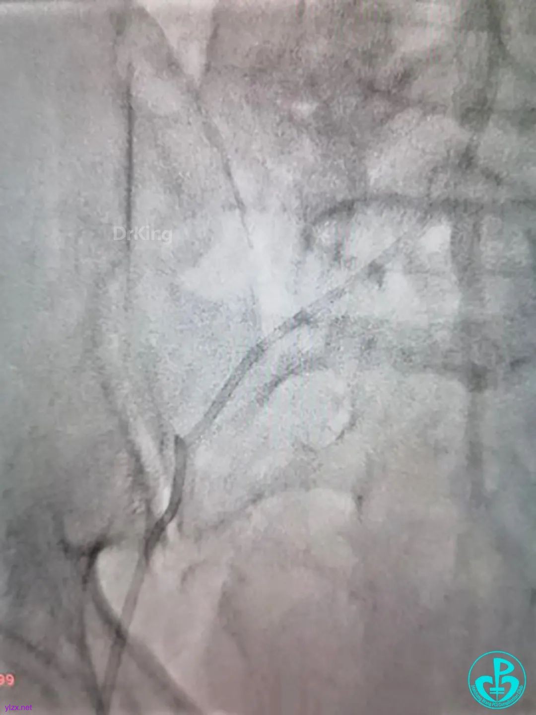
走左边,终于到位,造影。


左边EBU。


简单处理。


血运重建完成,胸痛缓解。生命体征平稳!
ACT:395s。
现在时间充裕,解决腿上打折的管子。

J-W软头端无法通过管子。
换硬头端(铤而走险、不常规推荐)。

管子头还是打不开,调整一下。
打折处通了,换软头端(直头端不敢出GC)。

管子头段直啦。
拉出来了。

股A造影正常,撤台,安返CCU。
6天后,患者一切正常,出院。
术者总结
1. 入路迷走和迂曲不少见,转管子困难时带J-W是个办法(防止管子打折),新手不能逮着一个方向转!
2. 撤管子时,J-W最好露头,管子头端打反折更麻烦,进退两难!
3. 管子打折遭遇急诊,先处理冠脉挽救生命,后面着手处理打折管子。
大咖请绕行!

