PM2.5加剧慢阻肺?这份中药秘方或许能扭转乾坤!
时间:2025-05-06 23:17:38 热度:37.1℃ 作者:网络
在当今环境污染日益加剧的时代,PM2.5 对人体健康的危害备受关注。其中,慢性阻塞性肺病(COPD)作为全球发病率和死亡率较高的疾病之一,与 PM2.5 暴露密切相关。
PM2.5 是指空气中直径小于或等于 2.5 微米的细颗粒物,能够深入肺泡甚至进入血液循环,对呼吸系统造成严重损害。COPD 是一种以持续气流受限和气道炎症为特征的疾病,PM2.5 暴露可加重 COPD 患者的病情,增加住院率和死亡率。然而,目前针对 PM2.5 诱导的 COPD 的发病机制尚未完全明确,且缺乏特效治疗方法。
补肺益肾方是临床常用的中药复方,由多种中药组成,具有补肺益肾、化痰平喘等功效,在 COPD 治疗中展现出良好的疗效。既往研究发现,其含有多种生物活性成分,如 20(S)- 人参皂苷 Rh1、黄芪苷 IV、淫羊藿苷、橙皮苷和芍药苷等,这些成分具有抗炎、抗氧化和免疫调节作用。
近期,一项重磅研究揭示了传统中药复方 “补肺益肾方”(Bufei Yishen formula,简称 BYF)的有效成分组合(ECC-BYF)在缓解 PM2.5 诱导的 COPD 进展方面发挥着重要作用。

图1 论文首页
PM2.5 加重COPD大鼠的肺损伤
研究表明,与普通 COPD 大鼠模型相比,PM2.5 暴露的 COPD 大鼠体重下降更快,肺功能指标如 Penh 增加,EF50、TV 和 PEF 减少,表明 PM2.5 使 COPD 大鼠的气道限制加重。同时,肺组织病理学显示,PM2.5 暴露的 COPD 大鼠肺组织炎症细胞浸润增多,肺泡壁增厚、破裂,肺泡空间扩大。此外,PM2.5 暴露大鼠的血清和 BALF 中 T-SOD 水平降低,MDA 和 GM-CSF 水平升高,提示氧化应激和炎症反应加剧。

图2 PM2.5 加重慢阻肺大鼠的肺损伤
ECC 对慢阻肺的保护作用
给予 ECC-BYF 治疗后,与模型大鼠相比,治疗组大鼠的 FVC、FEV0.3 和 FEV0.3/FVC 显著提高,表明肺功能得到改善。病理染色显示,ECC 处理后大鼠肺组织炎症细胞浸润减少,支气管和肺泡完整性得以恢复。
同时,血清和 BALF 中 T-SOD 水平升高,MDA 水平降低,GM-CSF 水平下降,提示 ECC 具有抗氧化和抗炎作用,能够缓解 PM2.5 诱导的 COPD 加重。此外,线粒体靶向抗氧化剂 MitoQ 也显示出对 PM2.5 加重 COPD 大鼠的保护作用,进一步证实线粒体氧化应激在其中的关键作用。

图3 ECC-BYF 可预防 PM2.5 所致的慢阻肺病情加重
ECC 通过激活 SIRT3 抑制线粒体氧化应激
ECC 处理显著提高了 PM2.5 暴露大鼠肺组织和 HPAEpiC 细胞中 SIRT3 蛋白水平。利用 SIRT3 siRNA 和 SIRT3 抑制剂 3-TYP 进一步研究表明,ECC 诱导的 ROS 和线粒体 ROS 降低作用可被 SIRT3 siRNA 治疗所抵消。
JC-1 染色显示,PM2.5 单独处理的细胞 MMP 明显降低,而 ECC 处理组细胞 MMP 得到恢复,但 SIRT3 敲低则使 MMP 降低。同时,3-TYP 处理的 ECC 治疗大鼠肺组织损伤和氧化应激加剧,证实 ECC 通过激活 SIRT3 抑制线粒体氧化应激,进而缓解 PM2.5 诱导的 COPD 加重。

图4 ECC 通过激活 SIRT3 抑制 PM2.5 诱导的线粒体氧化应激
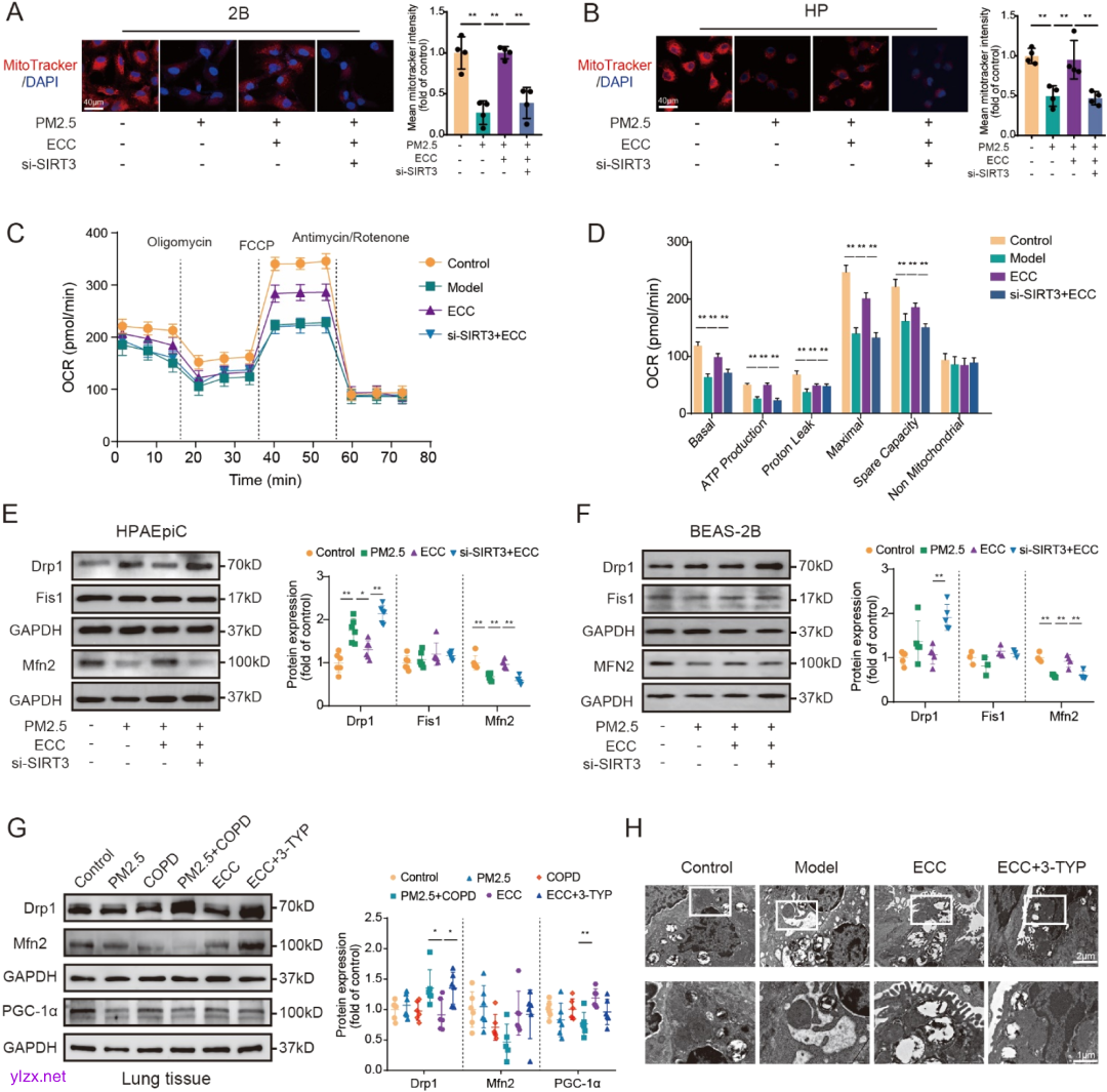
ECC 诱导的 SIRT3 激活改善线粒体功能
ECC 治疗显著增加了 BEAS-2B 和 HPAEpiC 细胞中红色荧光标记的线粒体数量,逆转 PM2.5 引起的线粒体质量减少,且这种作用可被 SIRT3 siRNA 转染所消除。
OCR 测定结果显示,PM2.5 处理的 BEAS-2B 细胞 OCR 明显降低,而 ECC 预处理可恢复这些指标,但 SIRT3 敲低后 ECC 对 OCR 的提升作用消失。此外,ECC 处理使 BEAS-2B 和 HPAEpiC 细胞中 Drp1 表达降低,MFN2 表达升高,表明 ECC 对线粒体分裂和融合平衡具有调节作用,而 SIRT3 缺陷则导致 ECC 对线粒体功能的促进作用逆转,尤其是对线粒体分裂的影响更为显著。
透射电子显微镜观察发现,ECC 能够改善 PM2.5 暴露引起的线粒体肿胀、嵴溶解和完整性降低等超微结构损伤,而 3-TYP 的添加则抵消了这一保护作用。

图5 ECC诱导的SIRT3激活可缓解PM2.5诱导的线粒体功能障碍
ECC 诱导 SIRT3 激活导致 FOXO3-K271/290 去乙酰化
研究发现,ECC 显著降低了 PM2.5 暴露的 BEAS-2B 和肺组织中 FOXO3 的乙酰化水平,而 SIRT3 的抑制则阻止了这种降低,表明 ECC 通过作用于 SIRT3 促进 FOXO3 去乙酰化。免疫共沉淀分析进一步证实 ECC 诱导 SIRT3 与 FOXO3 在 BEAS-2B 和肺组织中的物理相互作用。免疫荧光分析显示,ECC 增加了 PM2.5 刺激后 SIRT3 与 FOXO3 的共定位。
通过构建 FOXO3 K271 和 K290 位点的去乙酰化模拟突变体(KR)和乙酰化模拟突变体(KQ),研究发现 ECC 降低了野生型(WT)FOXO3 的乙酰化水平,但对 FOXO3-K271/290Q 或 FOXO3-K271/290R 突变体则无此作用,表明 FOXO3 的 K271 和 K290 位点是 ECC 诱导去乙酰化的主要位点。

图6 ECC诱导的SIRT3激活导致FOXO3在K271/290位点的去乙酰化
SIRT3 介导的 FOXO3 去乙酰化对 ECC 抑制线粒体氧化损伤不可或缺
在过表达 FOXO3 K271/290Q 或 FOXO3 K271/290R 突变体的 BEAS-2B 细胞中,ECC 对线粒体分裂和融合相关蛋白表达以及 MMP 的影响存在差异。研究表明,ECC 处理降低了 WT FOXO3 细胞中 Drp1 表达,增加了 MFN2 表达,而对 FOXO3-K271/290Q 突变细胞则无此作用;FOXO3-K271/290R 突变模拟去乙酰化可维持线粒体动态平衡,无论是否 ECC 处理。
同样,在 MMP 分析中,FOXO3-K271/290R 突变细胞在 PM2.5 处理后,无论是否 ECC 处理,均显示出较强的红色 JC-1 荧光。此外,SIRT3 敲低影响了 ECC 对 WT FOXO3 和 FOXO3-K271/290Q 突变细胞线粒体动态和 MMP 的调节作用,但在 FOXO3-K271/290R 突变细胞中则无明显影响。
这些结果表明,SIRT3 介导的 FOXO3 K271/290 位点去乙酰化对于 ECC 改善线粒体质量和维持线粒体功能,进而保护细胞免受 PM2.5 诱导的氧化应激至关重要。

图7 SIRT3诱导的FOXO3去乙酰化对于ECC抑制线粒体氧化损伤不可或缺
小结
本研究深入探讨了 ECC-BYF 在缓解 PM2.5 诱导的 COPD 进展中的作用机制,发现其通过激活 SIRT3,促进 FOXO3 在 K271 和 K290 位点的去乙酰化,调节线粒体分裂和融合平衡,抑制线粒体氧化应激,从而保护线粒体功能,减轻肺损伤和炎症反应。这一发现为慢阻肺的防治提供了新的思路和潜在的治疗靶点,也为中药复方在呼吸系统疾病中的应用提供了科学依据。
参考文献:
Wang J, Yue H, Dong Y, Liu T, Li J. Effective compound combination of Bufei Yishen formula ameliorates PM2.5-induced COPD by inhibiting mitochondrial oxidative stress through SIRT3-mediated FOXO3 deacetylation. Phytomedicine. 2025 May;140:156568. doi: 10.1016/j.phymed.2025.156568

