问诊分析:看结节如探案,且看今天这例如何从蛛丝马迹接近真相
时间:2025-05-03 12:09:44 热度:37.1℃ 作者:网络
前言:看肺结节,有时也很有意思的。乍一看感觉是像良性(或恶性),仔细看看,又觉得或许不对,应该恶性(或良性)。而之所以要改变判断的倾向,主要是影像细节上与初看时有不一样的信息。今天分享的这个病例我也是先看2024年的片子,觉得像恶性,回头看之前2022年的,发现当时也有结节,又有所怀疑,再又返到前面去对比2024年的,发现其实病灶还是对比有进展,仍得考虑恶性可能性大些。大家一起来瞧瞧,是不是这样?
病史信息:
基本信息:
女性, 36岁。
主诉:
体检有肺结节两年余。
现病史:
2022年9月胸部ct发现有肺结节,至去年12月,有变大。目前没有任何症状和不适。
望获得的帮助:
希望医生看一下肺结节的情况,目前是不是良性,是否需要手术?目前是处于混合磨玻璃结节状态是吗?是比较惰性的么?正在往恶性发展么?随访继续观察,还是尽快手术?
影像展示与分析:
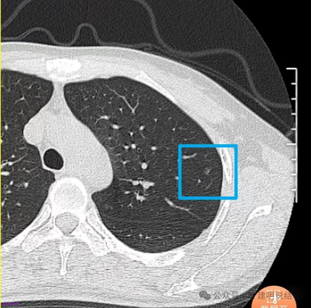
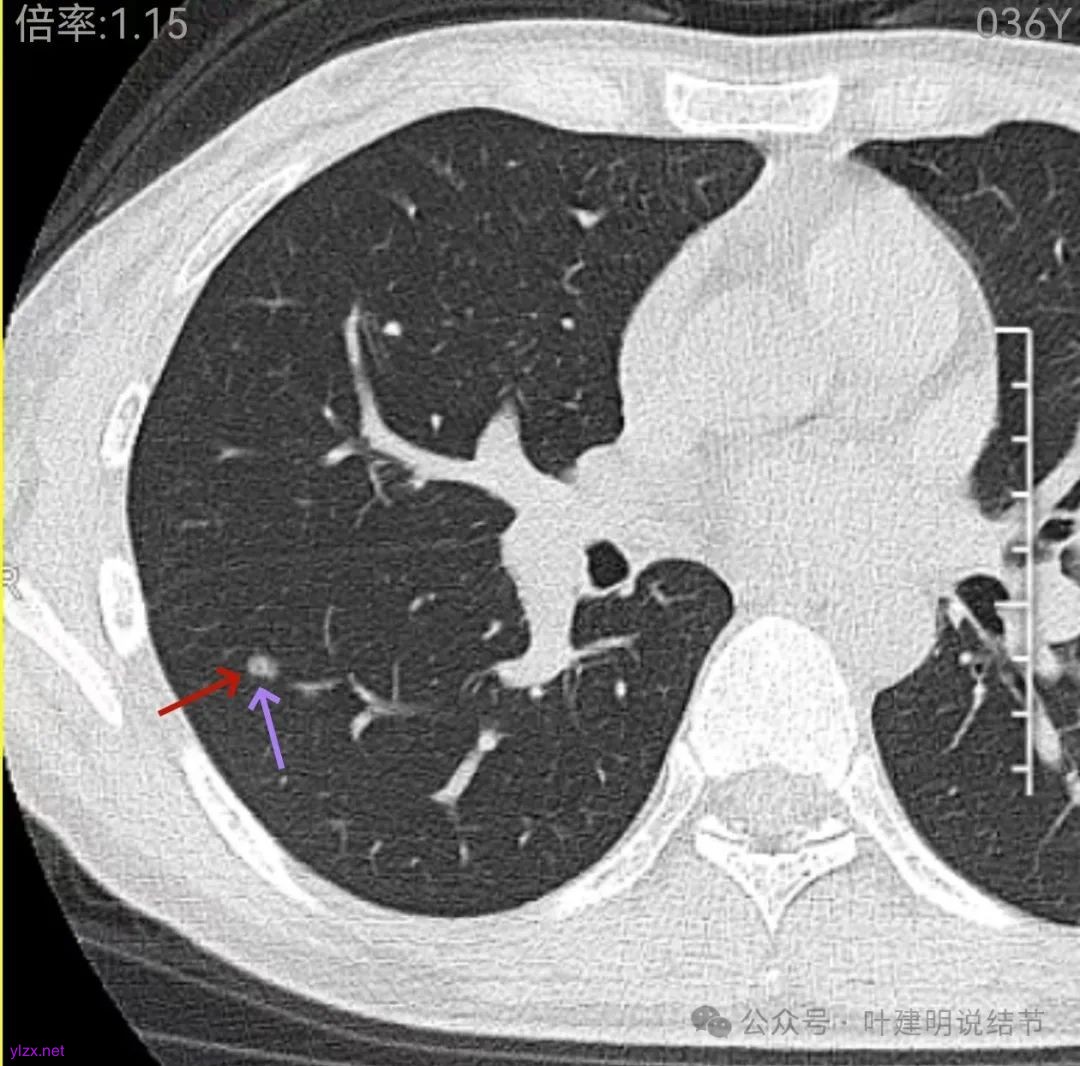
先来看2024年12月的影像:

左上叶淡而轮廓欠清楚的磨玻璃结节,缺乏聚拢性,没有收缩力。

在上叶淡而轮廓较清,密度不太纯略显杂乱的小磨玻璃结节。

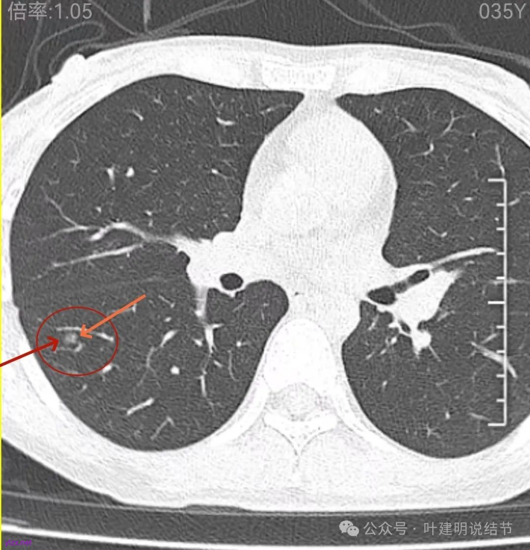
右下叶磨玻璃结节伴空泡征,轮廓较清,瘤肺边界清楚。

表面不平,轮廓较清,有血管进入,边缘略显毛糙。

病灶内有少许偏实性成分,与血管关系较为密切,局部似有浅分叶的样子。

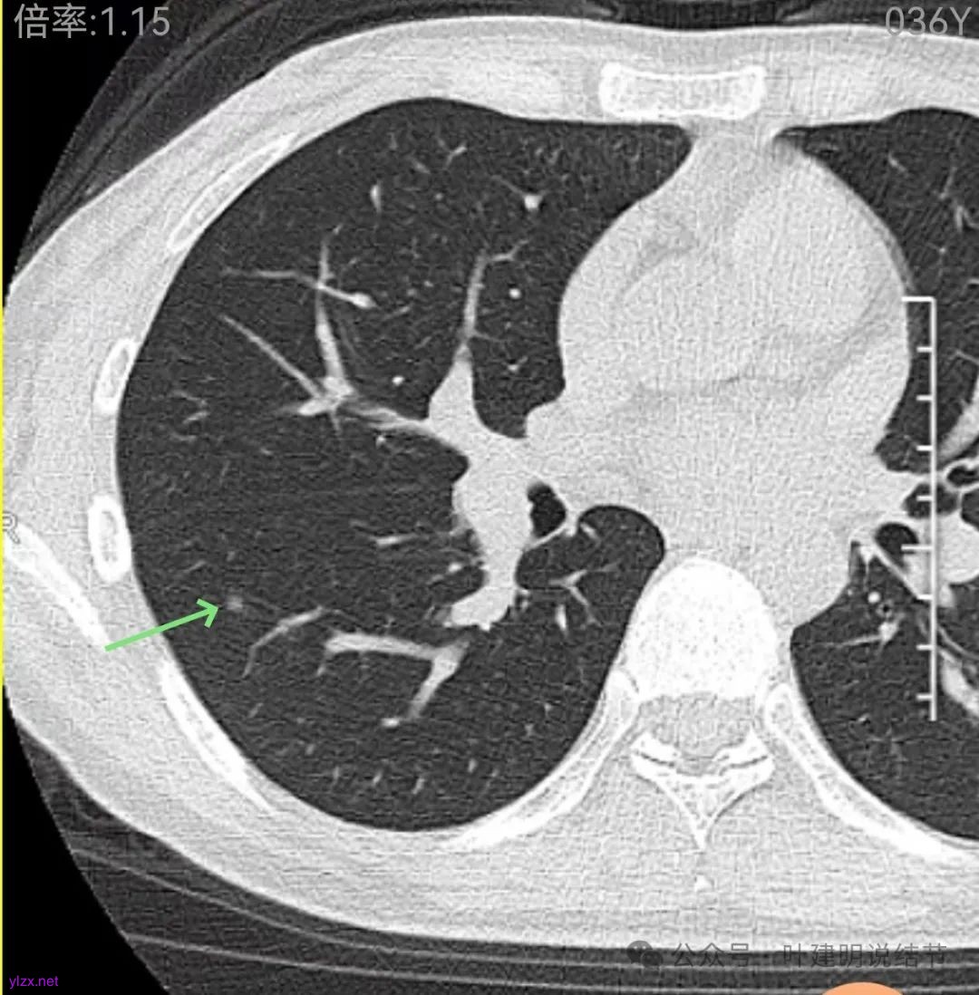
这层面看,密度不纯,部分区域的边缘有细毛刺征。但感觉与前一层面的结节形态不似延续过来的。

边缘区密度也略显高,圆形的样子。
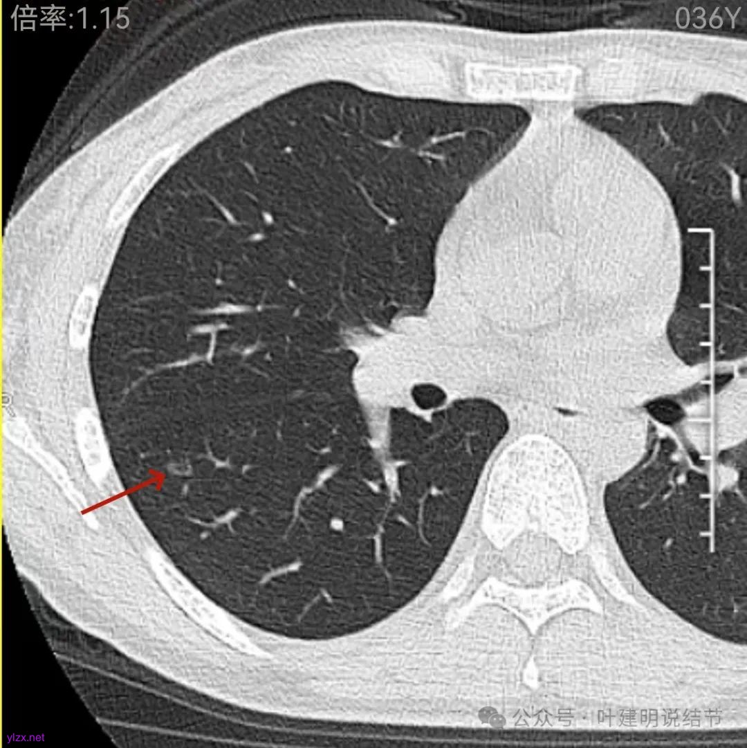
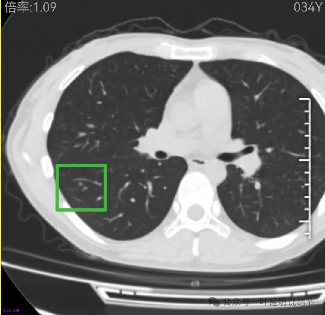
再看2022年9月的影像:

左肺尖病灶当时也有,没有明显变化。

左上叶此处当时也有,只是没有2024年轮廓与边界那么清楚,而且范围也是当时小点的。

右下当时是很淡的,也显偏模糊的磨玻璃影。

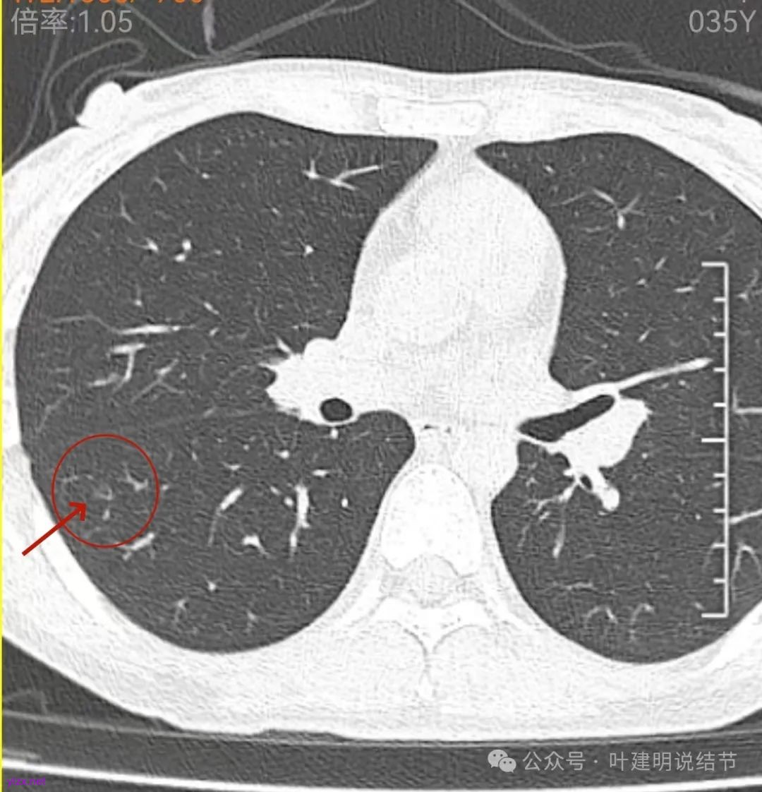
怎么有个点状密度较高的结节在?与上面那截图的淡磨并不完全在一块的。

密度甚高,边界与轮廓清楚,只看这真的不像恶性些。

边缘区也瘤肺界限稍糊,整体轮廓还行。有进展的是不是就是淡磨那处?
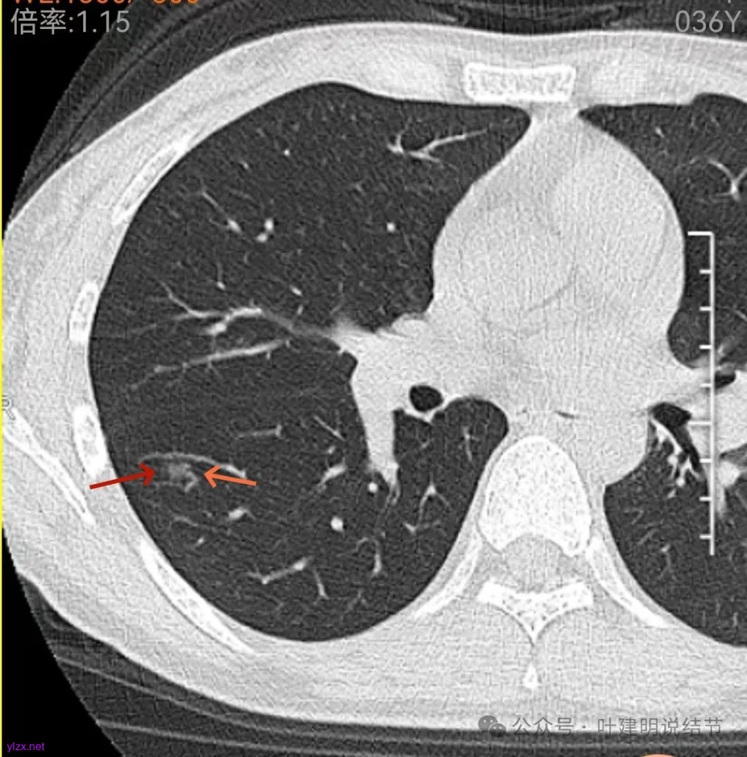
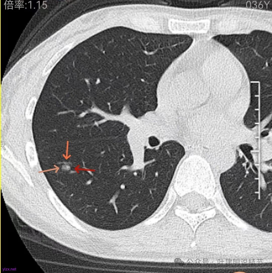
再看中间2023年的影像:

左肺尖病灶相仿。

左上此灶2023攫与2022年时均较小,范围在2024年略有增大,显明显点。

右下此灶2023年时此层面淡而边显糊。

上图层面已经像混合密度了,表面毛糙不光滑,灶内密度不均,也有小空泡征的样子。

感觉这处(在上截图结节的下面点,邻近层面)不像前面病灶的延伸,否则这密度的变化有点突兀呀。
我的回复:
两肺多发结节,左侧黄色标注的考虑是肺泡上皮增生可能性大;蓝色的考虑肺泡上皮增生或者少许慢性炎可能性大;右侧红色宽起来并带有红色箭头的这处是主病灶,偏混合密度,整体轮廓较为清楚,边缘显得毛糙,从2024年12月份的来看,要考虑是肿瘤范畴,原位癌或者微浸润性腺癌可能性较大,也不能完全排除不典型增生。但是在2022年的时候,这个病灶的边上也有一个实性的微小结节,如果只看2022年的,这么小的实性结节,又比较圆,表面也显得较为光滑,是要考虑良性的,当然太小了需要动态观察。回头再重新来看2024年底的,发现绿色箭头所指的这个微小实性的较2022年几乎没有变,去仔细寻找2022年的,发现当时在实性结节旁边也有密度很淡的一点磨玻璃影(也可能真的就是一处,只是扫描不够薄,密度的变化有些突兀而已),而到了2024年12月份,实性微小这处没有明显变化,但是原来很淡的磨玻璃变成了混合磨玻璃,范围也明显扩大。所以总体来看右肺下叶这处是考虑恶性的,而且从磨玻璃结节角度来讲,还是生长比较快的,就是说还是有一定风险的。加上左侧还有两处也是磨玻璃持续存在,虽然边缘轮廓显模糊一点,但多年以后也可能仍然要变成原位癌或者微浸润性腺癌之类的东西。通盘考虑以后,我倾向于右侧近期单孔胸腔镜下微创局部切除,左侧随访观察,等到有进展并风险增加再来考虑处理。意见供参考!
后续交流:
患:是不是纯的磨玻璃结节就算是原位和微浸润也可以再等等,混合的就风险比较大,不建议等?那我这个近期会扩散么?是要尽快开掉么?
我:近期不至于扩散,再随访也不是说就有多少危险。但我倾向右侧局部楔切是考虑:1、楔切简单创伤小(不建议段切);2、随访有较明显进展,再等也不会很多年;3、左侧有病灶,可拉长两侧手术的中间时间间隔,利于机体恢复和影响小点。
感悟:
这位结友目前仍未反馈给我结果,但偏混合密度的这处显然是像肿瘤范畴的。现在有些不太确定的是,到底是不是边上有颗偏实性的结节一直在,而且进展不明显,而原来很淡的这处磨玻璃结节却在2年内明显进展了?抑或本身就是同一处?但若是同一处,就是2022年和2023年的反而是点状高密度,2024年的却整体病灶各层面的密度都不如前面的高,这用肿瘤解释不通呀。当然,右下这个病灶前后对比来看,恶性的概率是大得多,随访进展还是切了为好。期待后续能有反馈。

