影像解剖 | 奇静脉、半奇静脉解剖及影像
时间:2025-05-01 12:10:27 热度:37.1℃ 作者:网络
奇静脉、半奇静脉
一、奇静脉
在第12胸椎体前,奇静脉由右腰升静脉、右肋下静脉形成,肋下静脉在右膈肌脚后的第12胸椎右前方,奇静脉在后纵隔上升到第4胸椎的水平,在右肺门后面弯向前上方汇入上腔静脉。


奇静脉的上端注入上腔静脉,而下端起自下腔静脉系的腰升静脉。因此,奇静脉是沟通上、下腔静脉的重要通道之一。当上腔静脉或下腔静脉回流受阻时,则上述通道即成为重要的侧副循环途径之一。

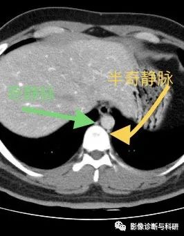
二、半奇静脉
是奇静脉的属支。半奇静脉起自左腰升静脉,沿胸椎体左侧上行,在食管、主动脉和胸导管的后方,达第8、9或10胸椎高处,然后向右横过脊柱汇入奇静脉。收纳左侧下部肋间后静脉、食管静脉、支气管静脉和副半奇静脉的静脉血。半奇静脉在门静脉性肝硬化时,对于交通上、下腔静脉,形成侧副循环有重要意义。


三、副半奇静脉
为半奇静脉的属支。沿胸椎体左侧下行,注入半奇静脉或向右跨过脊柱前面注入,副半奇静脉为一短干,收集左侧第1、2、3肋间后静脉的静脉血。
奇静脉、半奇静脉和副半奇静脉的变异较多,根据三者的存缺,可分为四个类型:①三条静脉皆存在者最为多见,约占66%;②副半奇静脉缺如者约占27%;③半奇静脉缺如者约占5%;④半奇静脉和副半奇静脉均缺如者仅占2%。
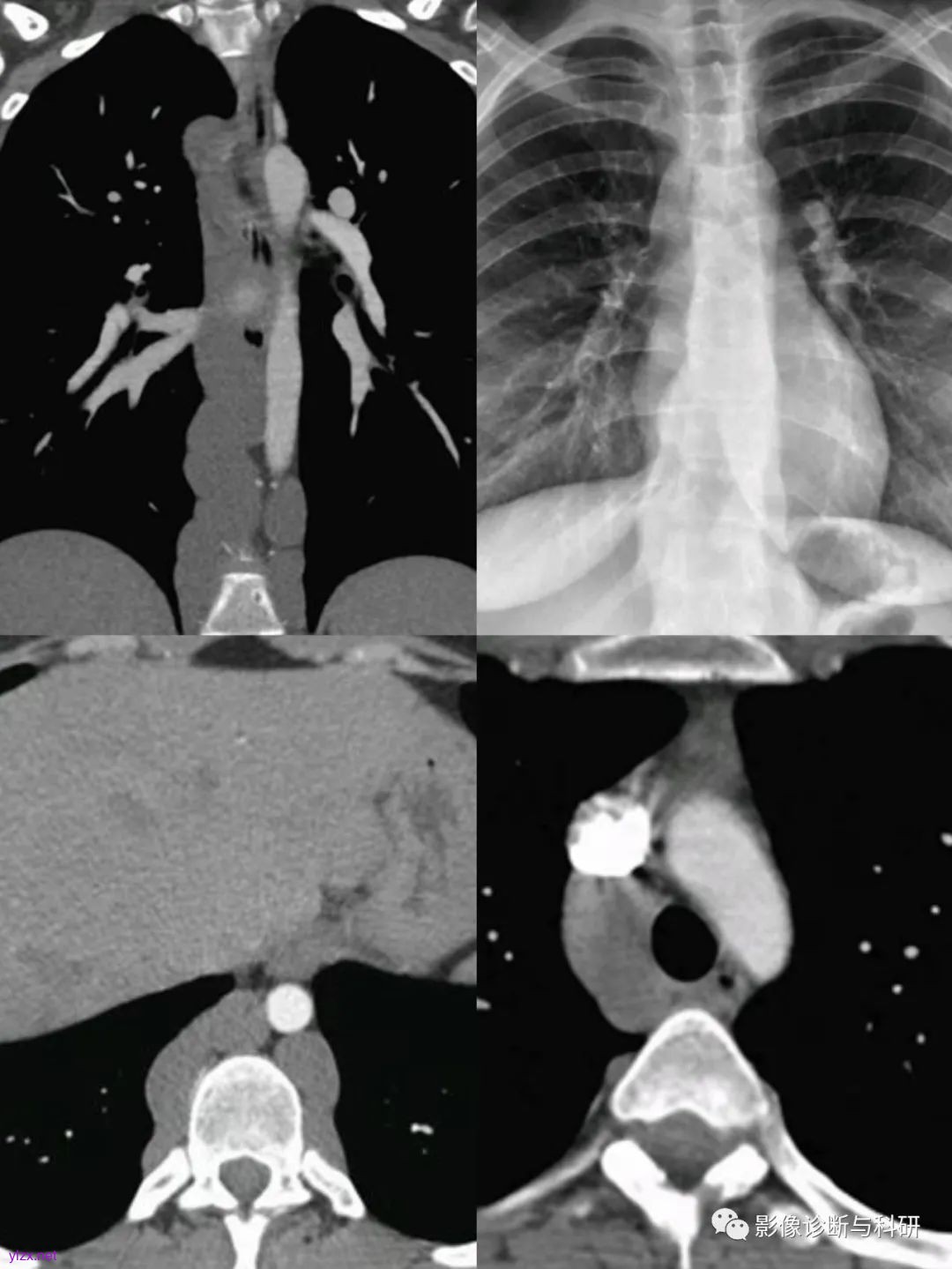
四、奇静脉扩张


引起奇静脉扩张的原因主要是两个方面:
一是患者的右心房压力突然增高。
当右房压力增高如肺动脉高压、主动脉夹层、动脉瘤、右心功能衰竭或大量心包积液时,右房的压力传导至上腔静脉及奇静脉,引起奇静脉压力增高,同时还阻碍静脉血回流至上、下腔静脉,奇静脉血流量增加,从而引起奇静脉扩张。
二是患者体内的奇静脉血流量增多。
当患者下腔静脉出现病变如下腔静脉栓子时,大量的静脉血通过奇静脉回流至上腔静脉,从而引起奇静脉扩张;当患者出现门静脉高压时,门体分流侧支循环开始建立,已经曲张的食管旁静脉与食管静脉会间接或者直接进入奇静脉,增加了患者奇静脉内部的血液流量,从而导致奇静脉扩张。另外奇静脉、半奇静脉与腰静脉、腰升静脉及左肾静脉都有交通支,因此当左肾静脉压迫或狭窄时,左肾静脉的血液可经这些交通支与奇静脉相连,从而使奇静脉压力增高且血流量增多。而先天性变异所导致的布加综合征患者形成一系列肝内及肝外侧支循环,其中有2条吻合支通过腰升静脉、奇静脉、半奇静脉系统,最终血液进入右心房,奇静脉成为最重要的侧支。

