经验积累:这个伴毛刺空泡且密度密度杂乱的混合磨玻璃结节为何不是肺癌?我们是抓住了哪点考虑其良性
时间:2025-04-30 12:09:37 热度:37.1℃ 作者:网络
前言:现在的病人来看门诊或网络咨询,有很多都会问密度多少、有没有毛刺、有没有分叶、有没有空泡征,因为太多的科普与信息渠道,知道有这些征象的恶性可能性就大些。有时我已经说风险低,考虑良性可能性大,可随访,但他们仍定要问此类问题。其实看病是个综合的评估过程,而且要结合医生自己的经验,医生也是要不断反思总结才能进步。但全局观与综合评判是其中最重要的。今天分享的这个病例虽然影像上有毛刺棘突、空泡以及分叶,还灶内密度杂乱不均,但来我门诊看时,我仍倾向考虑慢性炎,嘱其随访,结果会如何?又何以认为恶性可能性不大?
简要病史:
患者,男性,61岁。检查发现肺部结节来诊。没有明显呼吸道症状,炎症相应指标无异常,肿瘤指标无异常。
影像展示与分析:
患者首次找我看是2024年4月份,当时我看了他的影像后给的意见如下:

见左下混合密度结节,良性与恶性的特征都有,尚不能确定,所以建议先口服消炎后间隔3-4周复查靶扫描。
下面是2024年5月复查时的靶重建影像与我的意见:

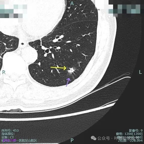
病灶毛刺空泡(或细支气管扩张)都有,表面不平,灶内杂乱。

但纵向看是偏条状些的,密度较高,边上有少许磨玻璃成分,磨玻璃部分略显模糊。

中间实性部分密度过高,边上的的毛刺显得过长,且不太锐利。

实性成分密度较高,边上有淡磨玻璃成分,毛刺明显。

密度高,边上磨玻璃成分淡,表面不平,毛刺不太锐利,整体感觉缺乏收缩力。

相应支气管有扩张,边上的磨玻璃成分偏糊,界限欠清。

进入的血管没有异常增粗,棘突不太锐利,磨玻璃成分偏糊。

上图倒是血管显得有点异常增粗的,总体膨胀性不强,收缩力不够。

我的意见是纵向看线状,考虑慢性炎伴纤维增生可能性大些,建议4-6个月复查。
再看2024年10月时复查时我的意见:

对比至少没有进展,密度似略减低,考虑慢性炎伴纤维增生可能性大。
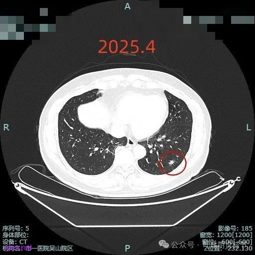
再看2025年4月初复查的情况:

整体纵向仍偏长条些,实性部分不太致密,边上磨玻璃成分的轮廓与界限不太清楚,毛刺显得长。

仍有支气管扩张,但较2024年时密度感觉低了点。

密度较淡且缺乏收缩力。

密度杂乱,血管进入,但血管说不上明显异常增粗,磨玻璃成分淡而瘤肺界限欠清。

总体较之前密度有减低,缺乏聚拢性。

我考虑较前好转,应该是慢性炎,建议9个月后再复查。
我们把三次薄层的放在一起看看:



感悟:
这个结节虽然仍在,或许也有人觉得密度减低也不是太明显,但我想至少随访长达1年是没有明显进展的,而且虽有毛刺但显得过长;虽有空泡但显得更像细支气管扩张;虽有灶内密度杂乱但更显得像慢性炎的杂乱;虽有血管进入但显得异常增粗是不明显的;虽表面不平但整体缺乏收缩力,也无膨胀感。所以总体上更符合慢性炎些,至少是能随访的。此例之所以当时就觉得像炎性些,最关键的也不是上面讲的这几点,而是横断面看圆形或类圆形且有相应恶性影像特征,但纵向是偏长条的,再加上上述影像特征有却不是典型恶性的毛刺、空泡与血管征等,所以才倾向炎性的考虑。我想最终的结果仍是要病理依据,但我们从风险高低以及前后对比综合评估应该是不变的原则与最接近真相的。

