医美第一例:面部填充剂注射后,得了组织细胞肉瘤
时间:2025-04-29 12:10:57 热度:37.1℃ 作者:网络
Hey guys,软组织填充剂注射是美容实践的重要组成部分。由于其高需求和病例量,其术后随访主要被忽视。然而,异物反应会引发局部炎症反应,从而导致严重的并发症。最常见的表现是蜂窝组织炎、继发性细菌感染、皮肤坏死和肉芽肿。慢性炎症状态可能引发注射软组织的恶性转化,但报告不足。在本病例报告中,作者报告了一例极为罕见的原发性皮肤组织细胞肉瘤(HS)病例,该病例由之前的美容注射引起。还观察到填充剂远距离迁移,同时出现同一疾病。
案例介绍
一位76岁的男性糖尿病患者十年前首次来作者诊所就诊,面部肿胀。25年前,他曾被一名无证人员在额头和双颊注射填充剂。他没有被告知填充剂的化学性质。在接受注射几年后,患者开始经历注射物质从原始治疗区域逐渐下降的过程。注射部位反复出现间歇性摩擦和肿胀,仅通过抗炎药和口服抗生素暂时缓解。症状的严重程度持续恶化,症状发生的频率增加。患者来作者机构寻求手术治疗。
体检时,双侧鼻唇沟和前额可触及多个结节,与过去注射的位置相对应。结节大小约为2厘米,坚硬且不动。由于鼻唇沟区域的病变最令人不安,因此计划切除脸颊结节。在慢性异物反应的印象下,进行了切除活检和组织培养。
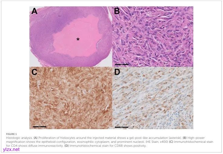
组织培养没有发现任何微生物。然而,组织学显示,具有上皮样到多形性形态的大型多边形细胞密集浸润,具有多形性细胞核,需要与肉瘤等癌性实体区分开来(图1A、B)。免疫组织化学显示核异型性高,CD68和CD15阳性,S100和CD1a阴性(图1C、D)。根据这些结果,对HS进行了诊断。

图1:组织学分析。(A) 注射材料周围组织细胞的增殖显示出凝胶池状积聚(星号)。(B) 高倍镜下可见上皮样结构、嗜酸性细胞质和突出的核仁。(HE染色,x400)(C)CD4的免疫组织化学染色显示弥漫性免疫反应。(D) CD68的免疫组织化学染色显示阳性。
进行了进一步的系统检查。对比MRI显示眉间、鼻唇沟和下脸皮下有多处结节状软组织病变。(图2A)正电子发射断层扫描计算机断层扫描(PET-CT)显示,同一结节病变中存在强烈的代谢活动。(图2B)有趣的是,腹壁也有代谢活动,这增加了注射物质迁移的可能性(图2C)。

图2:磁共振成像(MRI)和正电子发射断层扫描(PET)扫描。(A) T1加权矢状切面显示前额皮下有结节状异物堆积。(B) PET-CT扫描显示,如(A)所示,同一区域的代谢活性很高(SUVmax=15)。(C) 在前腹壁也观察到高代谢活动,表明注射物质发生了远距离迁移。活检证实了与(A)中病变相同的病理。
在确诊为组织细胞肉瘤后,随后切除了前额、鼻唇沟和腹部的所有剩余病变(图3A-C)。由于切除的完全性,没有进行辅助放化疗。患者正在接受无病随访,对结节的异常形成进行彻底的体检,并每6个月进行一次PET-CT扫描(图4)。

图3:患者的临床照片。(A) 鼻唇沟和前额区域可见增大的结节性病变。鼻唇沟区域最上面的结节显示红斑变化,表明感染。(B) 腹壁类似的结节性病变表明注射物质有远处迁移。(C) 整块切除标本。

图4:术前和术后PET扫描。(A) 术前最大强度投影重建PET扫描显示前额、鼻唇沟和腹壁的代谢活动增加。(B) 相同重建的术后PET图像显示相应区域没有活动。
讨论
HS是一种极为罕见的非朗格罕斯组织细胞疾病,表现为影响各种器官系统的单灶性或多灶性疾病。在这里,作者提出了一个更独特的组织细胞肉瘤病例,该病例由之前注射的异物引起,作者认为这是第一个被报道的病例。
无论位置或化学成分如何,注射异物引起的恶性肿瘤都是可能的,但并不常见。最相关的临床场景可以从聚丙烯酰胺水凝胶(PAAG)的美容注射中得出,通常称为“Amazing Gel”或“Aquamid”,向公众开放。PAAG是一种不可吸收的合成材料,由约2.5%的交联聚丙烯酰胺和97.5%的水组成。从1997年到2006年被禁止,它被广泛用作软组织增强的注射填充剂,特别是用于乳房增强。由于其化学亲水性,它因其生物相容性而广受欢迎。通过面部和乳房注射PAAG已被广泛用于隆胸,随后出现了各种并发症,其中大多数与炎症、感染、不对称和向其他解剖位置的迁移有关。
很少有文献报道乳腺注射PAAG后发生恶性肿瘤。一旦被认为具有生物相容性,人们就会对其可能降解为丙烯酰胺(一种可能的人类致癌物质)提出质疑。PAAG的确切致癌机制尚不清楚,但c-myc过表达可能起作用。当以饮食形式摄入丙烯酰胺时,众所周知会导致神经毒性、遗传毒性和致癌性,因此已被国际癌症研究机构(IARC)列为2A类物质。
注射的物质可以沿着身体的筋膜组织平面迁移,这是PAAG注射长期并发症的标志。同样,在作者的病例中也发现了注射物质向腹壁的远程迁移。PAAG如此高迁移率的原因被认为源于与周围组织的初始高炎症反应,而不是形成包膜。这可能会分解正常的组织结构,随后为沿着组织平面的迁移让路。
由于其不常见,作者病例中的恶性肿瘤类型是一个值得注意的特征。鉴于美容注射史,鉴别诊断通常指向肉芽肿或脓肿等良性疾病。然而,在这种情况下,PET-CT的高摄取值表明情况并非如此,并促使作者进行了彻底的病理检查。HS的发病机制尚不清楚,也没有报道是由异物引起的。原发性皮肤HS极为罕见,在所有HS病因中所占比例很小。理论上,异物周围组织细胞的长期沉积和细胞畸变可能在邻近组织的肿瘤发生中发挥了作用,动物模型也表明了这一点。注射部位HS的多灶性但局限性发展支持了这一说法,而不是全身性进展。
HS以其与其他髓系肿瘤广泛重叠的特征而闻名。其主要鉴别诊断包括间变性大细胞淋巴瘤、髓样肉瘤和朗格罕斯细胞组织细胞增生症。免疫组织化学在鉴别诊断中至关重要,尤其是CD68、CD163、溶菌酶、CD4和CD45的阳性表达。在诊断HS与其他差异时,建议至少表达2种上述标志物。同样,作者的病例CD68和CD4呈阳性表达,符合诊断标准。在HS中,CD1a(用于朗格罕斯细胞)和CD35(用于滤泡树突细胞)预计呈阴性表达,这也与作者病例的免疫组织化学标记物表达相似。
由于其罕见性和积极的临床过程,目前还没有针对HS患者的标准治疗方案。皮肤外HS尤其出现在晚期,对放化疗的反应有限。然而,一些报告声称,如果保证完全可切除性,原发性皮肤HS可能比其他类型的皮外HS预后更好。同样,作者在PET-CT定位的所有病变中实现了完全切除,患者在没有辅助治疗的情况下表现出良好的病程。为了为这种罕见疾病制定更自信的治疗计划,包括病理学、血液学和放射肿瘤学在内的多学科方法至关重要。不开始辅助治疗的决定是由跨学科肿瘤委员会团队做出的,该团队以实现的完全切除、没有进行性病变和肉瘤的长期局限性为指导。到目前为止,通过细致的体检和影像学检查,患者仍然没有患病。
结论
该病例是首例由异物引起的组织细胞肉瘤,强调了通过长期随访仔细观察疾病进展的必要性。软组织填充术与肉瘤发展之间的关联尚未得到证实,这使得该病例特别值得注意。
参考文献
1. Choi J, Park H, Ko EJ, Choi JY, Moon SH, Oh DY, Jun YJ. Cutaneous histiocytic sarcoma arising from soft tissue filler injections: a case report. Front Oncol. 2025 Mar 28;15:1403881. doi: 10.3389/fonc.2025.1403881. PMID: 40224174; PMCID: PMC11985453.

