急性心梗发病4天开通回旋支时出现无复流
时间:2025-04-28 12:08:33 热度:37.1℃ 作者:网络
病例资料
患者男性,80岁,60kg,因胸闷、胸痛2天入院。
高血压病多年,血压最高170/100mmHg。间断服用降压药(具体不详),未监测血压。
吸烟史,20支/日,50余年,已戒烟1年。
入院检查
入院查体:心率78次/分,血压109/64mmHg。余无阳性体征。
心肌损伤标志物明显升高:cTn 17.94ng/ml;CK-MB 75.7U/L。
入院心电图提示窦性心律,Ⅱ、Ⅲ、aVF导联病理性Q波,V₄~V₆导联ST段压低、T波倒置。

入院诊断
1. 冠心病
急性非ST段抬高型心梗
心功能Ⅰ级(Killip分级)
2. 高血压病2级、极高危
药物治疗
阿司匹林300mg负荷剂量
替格瑞洛180mg负荷剂量
阿托伐他汀40mg qn
低分子肝素4100IU q12h
入院时患者胸痛症状已缓解,家属反复犹豫是否行介入治疗,故未能行早期PCI治疗。
经医生反复沟通,于入院后第4天行冠脉PCI治疗。
冠脉造影
造影前给予肝素2000U,术中追加肝素2500U。测ACT 278s。
回旋支近段狭窄约80%,中段以远完全闭塞。

LAD近中段弥漫性狭窄约50%,第一对角支开口及近段狭窄约80%。RCA近段至中段狭窄约80%。


治疗过程
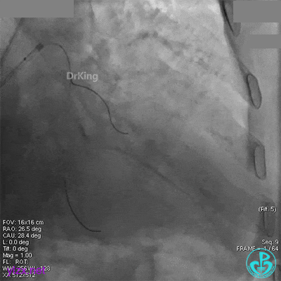
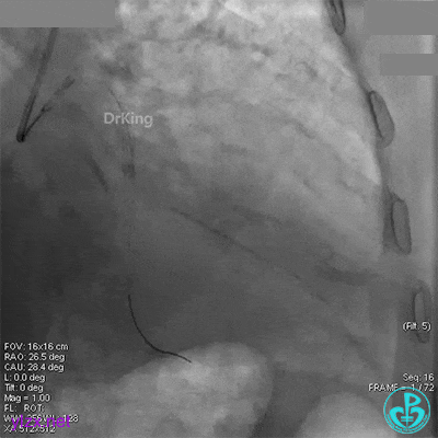
XB 3.0指引导管到位,导丝通过闭塞段至回旋支远段。

另一导丝保护分支,1.5×15mm球囊扩张闭塞处后造影,前向血流缓慢,远端分支血管没有充分显影。

1.5×15mm球囊扩张后前向血流缓慢的原因要高度怀疑慢血流。
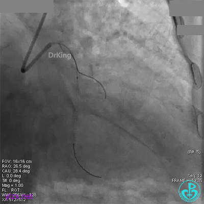
回旋支中段植入2.75×33mm支架后造影,前向血流中断,患者开始出现胸痛。

闭塞段植入2.75×33mm支架后前向血流中断,要排除无复流和支架两端夹层。
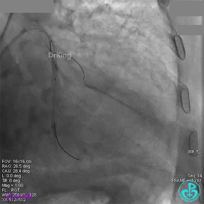
近端串联植入3.5×23mm支架后造影,前向血流没有恢复,患者感胸痛明显。

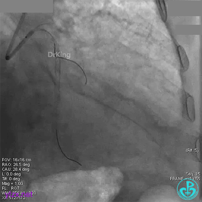
经刺破球囊冠脉内推注硝普钠后血流恢复2级,远端分支血管没有充分显影。

退出分支导丝后造影,血流不足3级。

术后心电图无明显改变。


术后药物治疗
阿司匹林肠溶片100mg 口服 qd
替格瑞洛90mg 口服 bid
比索洛尔2.5mg 口服 qd
阿托伐他汀钙片20mg 口服 qd

