哇,玻尿酸打完鼻子变宽,还能这样溶??
时间:2025-04-25 12:11:29 热度:37.1℃ 作者:网络
Hey guys,使用交联透明质酸(HA)填充剂的非手术鼻整形术已成为手术鼻整形的一种流行替代方案。该手术涉及用锐针或钝针将HA填充剂注射到鼻梁和鼻尖,以改善鼻部外观。它在亚洲人群中特别受欢迎,与高加索人种的鼻子相比,典型的鼻子解剖结构相对较小且平坦。背侧隆鼻术旨在提高鼻梁的高度和清晰度,通常在非手术鼻整形术中进行。
由于几个优点,这种方法受到医生和患者的青睐。对于从业者来说,它相对简单,可以在临床环境中进行,而不需要手术室。患者受益于快速康复、术后肿胀最小化和即时的视觉效果。
传统上,用于非手术鼻整形的交联HA填充剂被认为会持续6到12个月,因为它们会逐渐降解。通常建议进行补充注射以保持效果。然而,最近的MRI证据表明,HA填充剂可能会持续更长时间,长达2年,在某些情况下甚至15年。注射HA填充剂后延迟肿胀和水肿是未被充分报告的并发症,通常发生在治疗后数年。持续或间歇性肿胀已被记录在案,特别是在颧骨和眼睛下方区域。鼻子也可能出现类似的肿胀,导致一个宽阔、高耸的鼻梁,称为“阿凡达鼻”,参考了流行的《阿凡达》电影系列中描绘的独特鼻梁特征。
本报告描述了3例在作者诊所接受HA填充剂非手术鼻整形术后出现的“阿凡达鼻”病例。使用便携式手持高频超声设备,作者展示了它们在诊断、治疗和评估鼻梁中持续性HA方面的实用性。
方法
对2024年1月至11月的临床记录进行了审查,以确定3名出现宽鼻梁的患者。根据病史和检查对“阿凡达鼻”进行临床诊断。所有患者均报告了之前注射HA填充剂隆鼻的情况。使用便携式手持超声设备(Sonon 500L,Healcerion,韩国)确认鼻背残留HA。作为治疗的一部分,进行了超声引导下的透明质酸酶注射。随访评估包括超声成像和临床摄影,以评估治疗效果。所有患者均已书面同意在本报告中使用其数据。
病例报告
案例1
一位38岁的女性患者,其鼻梁宽阔,延伸至眉间区域。3年前,她接受了一次HA填充剂注射,并注意到在过去的一年里,她的鼻腔轮廓逐渐丧失(图1A,C)。超声检查证实鼻背有HA残留。

图1:案例1的临床摄影。(A) 治疗前的正视图,展示了宽阔的鼻根。(B) 透明质酸酶注射治疗后的正视图,显示鼻根正常化。(C) 治疗前斜视图,显示鼻根抬高。(D) 透明质酸酶注射治疗后斜视图,显示鼻根正常化。
她接受了超声引导下的透明质酸酶注射,使用25G、50mm钝针和平面外注射技术。在超声引导下,针对低回声HA区域,共施用500 IU(1 mL)透明质酸酶。治疗后超声证实,之前发现的低回声区域转变为混合回声的“棉质”外观,表明相互作用成功。
两周后,随访评估显示有显著改善(图1B,D)。患者出现轻微肿胀,在24小时内消退,没有报告瘀伤或不良反应。
案例2
一位25岁的女士被展示了一个宽阔而高的鼻梁。她在9个月前接受了HA填充剂注射,并在过去3个月里注意到她的鼻背逐渐变宽。临床和超声检查证实鼻梁充盈过度(图2A、C、E和3A)。

图2:案例2的临床摄影。(A) 治疗前的正视图,展示了宽阔的鼻背。(B) 透明质酸酶注射治疗后的正视图,显示鼻背正常化。(C) 治疗前斜视图,显示鼻背升高且宽阔。(D) 透明质酸酶注射治疗后的斜视图,显示鼻背和鼻根正常化。(E) 治疗前侧视图,显示鼻根抬高。(F) 注射透明质酸酶治疗后的侧视图,显示鼻根正常化。

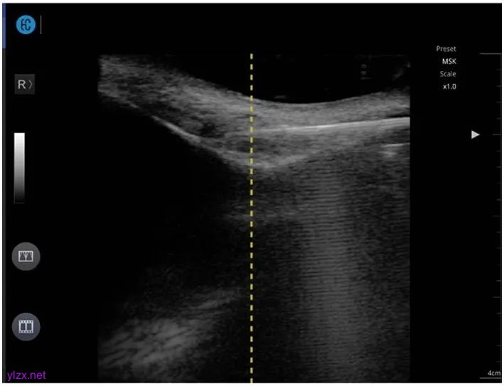
图3:鼻背的超声评估。(A) 治疗前,骨与皮肤的距离测量为7.22mm,低回声层表明残留透明质酸。(B) 一周后,低回声区明显缩小,骨与皮肤的距离缩短至3.51mm。
使用500 IU(1 mL)透明质酸酶通过25G、50 mm钝针进行超声引导下的透明质酸酸酶注射(图4)。注射后进行超声检查,以确保所有低回声区域都转变为棉质外观。

图4:使用25G、50mm钝针进行超声引导透明质酸酶注射。图像显示,在超声引导下,钝针尖端被引导到低回声区,将透明质酸酶输送到残留的透明质酸中。使用平面内技术来可视化钝针路径。
在1周的随访中,患者的鼻部外观明显改善(图2B、D、F),超声波测量的骨皮肤厚度减少(图3B)。患者报告轻度肿胀,一天内消退,未出现不良反应。
案例3
一位40岁的女性来到作者的诊所,担心鼻梁又高又宽。在临床检查中,她的鼻部特征类似于经典的“阿凡达鼻”,其特征是宽阔突出的鼻梁(图5A,C)。进一步的病史显示,3年前曾注射过一次交联透明质酸(HA)填充剂用于鼻梁增强术。

图5:案例3的临床摄影。(A) 治疗前的正视图,展示了宽阔的鼻背。(B) 透明质酸酶注射治疗后的正视图,显示鼻背正常化。(C) 治疗前斜视图,显示鼻背和鼻根升高和宽阔。(D) 透明质酸酶注射治疗后的斜视图,显示鼻背和鼻根正常化。
她接受了500 IU透明质酸酶(1 mL)的治疗,该酶通过平面内超声引导注射技术,使用25G、50 mm的钝针输送(图6)。将透明质酸酶直接注射到残留的透明质酸区域,确保超声波上识别的低回声区转变为棉状外观,表明对填充剂的酶作用成功。

图6:使用25G、50mm钝针进行超声引导透明质酸酶注射。图像显示,在超声引导下,钝针尖端被引导到低回声区,将透明质酸酶输送到残留的透明质酸中。使用平面内技术来可视化钝针路径。注意到钝针产生的混响伪影。
在1周的随访中,患者的鼻子轮廓明显改善,鼻子形状更加精致(图5B,D)。超声重新评估显示,鼻梁骨皮肤厚度明显减少,与残留HA填充剂的分辨率一致。治疗后肿胀很小,没有不良反应的报告。
讨论
本病例报告介绍了3例“阿凡达鼻”,这是一种在注射透明质酸(HA)填充剂以增强鼻梁后出现的延迟并发症。所有患者均表现出异常宽阔和升高的鼻梁。诊断基于HA填充剂注射的详细病史和鼻部特征的临床检查。治疗前,使用床边高分辨率超声来确认和定位残留的HA。超声在解决患者怀疑方面尤其有价值,因为许多人最初怀疑注射后2至3年鼻子中是否存在残留的HA。这种怀疑源于一种常见的误解,即HA填充剂在一年内完全溶解,正如最初的治疗医生经常传达的那样。

Lim等人也引入了“阿凡达鼻”一词,他们将其归因于HA填充剂的过度注射。在作者的病例中,患者只报告了一次注射,鼻梁的加宽是逐渐发展的,而不是在术后立即发展的。
延迟扩鼻术背后的潜在机制
尽管延迟鼻增宽的确切原因尚不确定,但已经提出了几种可能的机制:
迟发性亚临床免疫反应与感冒炎症
多篇出版物观察到,接受HA填充剂的患者出现延迟水肿,特别是在注射到脸颊和眶周区域时。以亚临床免疫反应为特征的“低炎症”现象被认为是这种局部水肿背后的原因。同样,HA填充剂注射后鼻梁延迟加宽可能是由于对残留HA的亚临床免疫应答造成的。这种反应可能导致局部水肿,导致鼻子变宽的临床表现。

一些出版物还表明,<500kDA的短链或低分子量HA具有促炎作用。透明质酸链的逐渐降解和短链HA的积累也可能导致炎症过程。
填充剂粘结性随时间损失
另一个可能的解释在于HA填充剂的机械性能。鼻梁受到上覆皮肤的持续向下张力,使填充剂的内聚性和弹性对于保持所需形状至关重要。20,21随着时间的推移,透明质酸分子的降解会降低填充剂的粘结强度。这种结构完整性的丧失可能会使填充剂横向扩散,导致观察到的鼻部变宽。
超声在诊断和治疗中的作用
在这项研究中,作者使用了韩国Healcerion公司生产的6至12 MHz线性无线手持超声设备Sonon 500L。高分辨率超声在诊断鼻背内残留HA方面被证明是无价的。超声引导下的透明质酸酶注射提供了一种准确和有针对性的方法,能够在含有残留HA的区域内精确放置钝针,从而提高治疗效果。

尽管一些报告指出透明质酸酶在解决HA注射后肿胀方面的疗效不一致,但本报告中介绍的病例强调,透明质酸蛋白酶在溶解HA填充剂和减少肿胀方面仍然有效,即使在注射后几年也是如此。作者相信,超声引导注射使作者能够将透明质酸酶直接输送到组织内HA残留的体内,从而提高其有效性。由于对异物的免疫反应,可能在残留HA周围形成包膜或纤维化。因此,将透明质酸酶无引导或盲目注射到周围组织中并依靠扩散可能会降低透明质酸蛋白酶溶解残留HA的功效。
超声成像通过测量治疗前后鼻梁上的骨与皮肤距离,可以客观监测治疗成功率。
临床意义
这些发现强调了了解HA填充剂治疗中延迟并发症的重要性。患者应充分了解残留HA和延迟效应的可能性,特别是当填充剂持续时间比通常预期的要长时。高分辨率超声为诊断和管理此类并发症提供了一种实用的解决方案,确保了治疗的准确性并改善了患者的预后。

结论
本病例报告强调了“阿凡达鼻”现象,这是非手术鼻整形中使用的透明质酸(HA)填充剂的延迟并发症。通过对3例病例的分析,作者证明Sonon 500L等高分辨率便携式超声是一种有价值的诊断和治疗工具,可用于确认残留的HA并指导透明质酸酶的精确治疗。
作者的研究结果强调,HA填充剂的持续时间可能比传统预期的要长,可能会经历延迟的亚临床免疫反应或结构退化,导致鼻梁随着时间的推移而扩大。超声引导下的透明质酸酶注射被证明是有效、安全和微创的,可以解决这种并发症,有针对性地溶解残留的HA并减少患者的恢复时间。
这些见解强调了患者教育对HA填充剂的维持时间和潜在延迟效应的重要性,以及先进成像技术在提高美容实践中的诊断准确性和治疗结果方面的价值。需要进一步的研究来调查延迟填充剂相关并发症的潜在机制,并完善管理方案。
参考文献
1. Lau E, Bohórquez JMC, Schelke L, Velthuis PJ, Ascher B, Cartier H, Garson S, Yi KH. Persistent HA Fillers and Nasal Broadening: Role of Ultrasound in Managing "Avatar Nose". J Craniofac Surg. 2025 Mar 27. doi: 10.1097/SCS.0000000000011283. Epub ahead of print. PMID: 40146331.

