10年偏头痛缓解:可降解PFO封堵器在纯超声引导下治疗合并膨出瘤的长隧道PFO一例
时间:2025-04-21 12:08:16 热度:37.1℃ 作者:网络
1 病例分享
基本信息
青年女性,主诉头痛10年。
术前检查
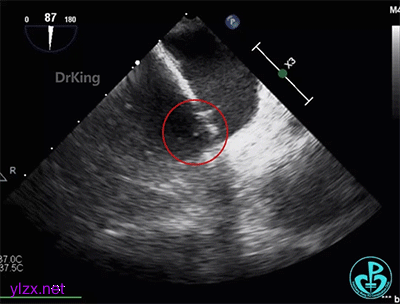
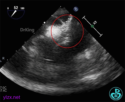
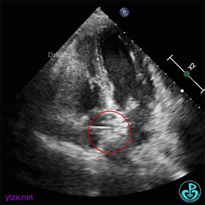
术前经胸超声描述:心脏各房室腔大小正常,室壁厚度及运动幅度正常,室间隔连续完整。各大血管位置、形态、结构正常,未见明显狭窄与扩张,CDFI未见异常血流信号。各膜形态、结构正常,启闭良好,CDFI示收缩期三尖瓣少量反流信号。TDI+PW示舒张期二尖瓣VE/Ve(均值)<14,三尖瓣VE/VA>0.8。房间隔中部呈囊袋样突入右房,基底宽约21mm,膨出约8mm。
术前经食道超声描述:室间隔连续完整,房间隔中部菲薄,呈瘤样凸向右房面,基底宽约12mm,膨出约8mm。卵圆窝处薄弱,呈纤细线样回声,原发隔与继发隔间见纤细裂隙,入口约0.4mm,出口约0.8mm,卵圆瓣长约20.1mm,原发隔摆动幅度约13mm,继发隔厚约4.5mm,瓦式呼吸后,入口较宽约3.8mm,出口较宽约2.0mm,卵圆瓣左房侧末端迂曲。CDFI裂隙处可见微量左向右过隔血流信号。左心耳显示清楚,内未见异常回声。主动脉内中膜欠光滑,窦部宽约25mm,管腔未见明显狭窄与扩张,CDFI未见明显异常血流信号。各房室腔比例尚可,未见明显节段性室壁运动异常,各瓣膜形态、结构正常,启闭尚可。
超声诊断:先天性心脏病,卵圆孔未闭(长隧道型)。
右心声学造影检查:微泡造影剂经右肘正中静脉、上腔静脉进入右房,充盈良好,可见小楔形负性充盈区,患者瓦氏呼吸后见细小微气泡自裂隙处进入左房,约25~30个,一个裂隙位于卵圆孔入口处,一个位于卵圆孔出口处。
经食道超声三维、二维和右心声学造影图像:

脑部核磁检查:平扫示脑白质区散在点状稍长T2信号影。中线结构基本居中,双侧脑室对称,大小正常。脑沟脑池显示可。双侧眼眶及眼对形态对称,未见明显异常信号影。各扫描层内副鼻窦形态正常,未见异常组织信号影。DWI及SWI未见明显异常信号影。颅内MRA显示各大血管分支、分布、走行基本正常,未见异常流空影。右侧椎动脉远端纤细,右侧胚胎性大脑后动脉。
核磁诊断:脑白质病变,结合病史不除外栓塞性病变。
2 临床策略
封堵策略
综合经食道超声下测量的膨出瘤大小,隧道长度和开口大小,选用BDPFO-2424可降解PFO封堵器进行封堵。
3 手术过程
左盘展开
前推钢缆,展开左盘面,展开后牵拉成型线使左盘面成型。

后撤钢缆和鞘管,使左盘面贴靠房间隔。

右盘展开
后撤鞘管,展开右盘面,前抵钢缆和鞘管辅助盘面成型。

双盘展开后,经胸超声下观察血流,显示无残余分流。

牵拉试验
轻轻推拉钢缆,封堵器形态良好,稳定骑跨在房间隔两侧,锁定成功。

释放封堵器
释放PFO封堵器后,超声下封堵器成型良好,房间隔瘤被夹闭,封堵成功。

4 病例小结
1. 近年来,越来越多的证据证明偏头痛与PFO高度相关。本例患者为青年女性,有10年的偏头痛史,对职业生涯有很大的影响。既往曾尝试多种治疗方法未有效果。为进一步明确病因,患者接受了详细的影像学及心脏检查。经胸超声提示有左向右分流,进一步经食管超声联合右心声学造影检查,确诊为合并膨出瘤的长隧道复杂型卵圆孔未闭(PFO)。
2. 经多学科团队会诊后,排查了神经心血管等其他可能的偏头痛病因,最终考虑其偏头痛可能与PFO相关,故而决定采用介入治疗封闭PFO。患者目前处于备孕状态,如果介入手术后怀孕,孕期可能有核磁检查的需要,而金属封堵器的植入会对核磁检查有较大的限制。此外,金属封堵器植入后的镍离子析出会对胎儿产生影响。研究显示胎盘对镍离子缺乏屏障作用[1],意味着母体血镍水平的增加会直接影响到胎儿的生长环境,影响胎儿的各项生长发育指标[2]。为保障胎儿健康,不限制孕期院内检查,患者选择使用可降解封堵器。可降解封堵器由生物高分子材料构成,植入后不会对核磁检查产生限制,且大大降低了镍离子析出所带来的一系列影响,并且会在植入一年后,降解为水和二氧化碳排出体外,无远期顾虑。在术式选择上,同样由于患者需要备孕,对DSA的射线对人体的影响有所顾虑,因此选用更为安全的纯超声引导介入封堵术。无辐射引导配合可降解封堵器,实现了从器械到操作的绿色介入,为备孕人群的生殖安全保驾护航。患者有房间隔瘤,并且PFO隧道较长,因此封堵难度会较高。可降解封堵器有专利成型锁定结构,增强力学支撑,确保成型稳定。手术过程顺利,房间隔瘤被成功夹闭,无残余分流,封堵成功。术后患者未出现明显并发症,自述术前存在的头部及面部麻木、疼痛症状在术后显著改善。术后两个月仅出现2次头痛,且右侧疼痛完全消失,仅左侧有轻微不适,治疗很成功。
感谢首都医科大学附属北京天坛医院张鲁锋教授的病例分享
参考文献:
[1]边沁. 孕期重金属暴露对胎儿和新生儿生长发育的影响及胎盘屏障作用的研究[D]. 甘肃:兰州大学,2018. DOI:10.7666/d.D01450906.
[2]Bank-Nielsen PI, Long M, Bonefeld-Jørgensen EC. Pregnant Inuit Women's Exposure to Metals and Association with Fetal Growth Outcomes: ACCEPT 2010⁻2015. Int J Environ Res Public Health. 2019 Apr 1;16(7):1171. doi: 10.3390/ijerph16071171. PMID: 30939809; PMCID: PMC6479494.

