病例报告|遗传性脊髓小脑性共济失调6型一家系病例报告
时间:2025-04-16 12:10:44 热度:37.1℃ 作者:网络
摘 要 脊髓小脑性共济失调6型(spinocerebellar ataxia 6,SCA6)是一组常染色体显性遗传性疾病,临床表现以共济失调为主,典型特征为遗传早现现象。本文报告1家系SCA6以提高对该病的认识,提高临床诊断率。患者61岁男性,以言语含糊、行走不稳为主要表现,伴头晕、饮水呛咳、肢体麻木及睡眠障碍,诱发电位、神经电图、皮肤交感反应、脑电图、痴呆量表等均无明显异常,头颅MRI见小脑明显萎缩,基因检测确诊SCA6型,其父有类似表现,其女为异常基因携带者,予以营养神经、改善共济失调、康复训练等治疗,随访1年病情无明显进展。
关键词
遗传性脊髓小脑共济失调6型;临床特征;MRI;小脑萎缩;基因检测;遗传早现;丁螺环酮机制;治疗发展
脊髓小脑性共济失调(spinocerebellar ataxia,SCA)是一组常染色体显性遗传性疾病,1861年首次于高加索的一个家系中发现[1],患病率约为8/10万~12/10万。该病临床表现除小脑共济失调外,可伴有眼球运动障碍、视神经萎缩、锥体束征、锥体外系体征、肌萎缩、周围神经病和痴呆等。其典型特征为遗传早现现象,即同一家系的发病年龄逐代提前,症状逐代加重。现发现1例SCA6型患者报告如下。
1 临床资料
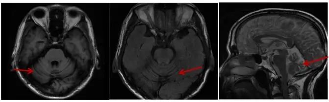
1.1 先证者 男,61岁,因“言语含糊伴行走不稳3年余”入院,主要表现为3年前出现言语含糊伴行走不稳、左足外侧麻木,无饮水呛咳、吞咽困难等,当时脊髓小脑性共济失调评估与评级量表(scale for the assessment and rating of ataxia,SARA)评分3.5分,未予特殊治疗,随后上述症状进行性加重,伴头晕、晨起下肢趾背及手掌尺侧麻木,偶有饮水呛咳,睡眠欠佳。既往有双膝关节疼痛病史。查体阳性体征:言语含糊,双眼右视时水平眼震,双侧指鼻试验欠稳准、右侧为甚,双侧跟膝胫试验欠稳准、右侧为甚,闭目难立征欠稳,步距宽,行走不稳,双侧弓形足、右侧为甚,四肢腱反射活跃,右侧双划征可疑阳性,SARA评分12分。辅助检查:3年前入院时诱发电位、肌电图未见异常,四肢周围神经电图:左L5、S1或其周围支神经损害,头颅MRI:脑白质轻度脱髓鞘改变,小脑萎缩(图1)。此次入院诱发电位、肌电图、神经电图、皮肤交感反应、脑电图、痴呆量表等均无明显异常,头颅MRI见小脑明显萎缩,基因测序:CACNA1A CAG重复次数为 22 次(图2),在全突变范围内。诊断为脊髓小脑性共济失调 6型。

Fig.1 MRI T1, T2and sagittal maps of patient, 2023
图1 患者 2023年头颅MRI T1、T2及矢状位图 见小脑明显萎缩

Fig.2.1 The results of genetic test of patient
图2.1先证者基因检测结果
图2.2所示,横坐标代表碱基数目,纵坐标代表所选片段信号值,分别选取CACNA1A基因中2个不同片段,采用[(片段大小-122.8)/2.9+11]公式计算该片段重复次数,结果显示153.9片段重复22次。

Fig.2.2 PCR+Capillary electrophoresis
图2.2PCR+毛细管电泳
1.2 家系调查 见家系图谱(图3),先证者之父约70岁发病,症状相似,具体无法追溯,因他病亡故。先证者之女尚无临床症状,头颅MRI小脑无明显萎缩(图4),查基因检测提示CACNA1A CAG重复次数为 22 次(图5),在全突变范围内。

Fig.3 Genetic map of patient’s family
图3 SCA6家系遗传图谱 ○为未患病女性,■为患病男性。

图4 患者之女MRI T1、T2及矢状位图Fig.4 MRI T1, T2 and sagittal maps of patient’s daughter, 2023

Fig.5.1 The results of genetic test of patient’s daughter
图5.1先证者之女基因检测结果
现使用盐酸丁螺环酮片、维生素B及E改善症状,出院时SARA评分9分,后已随访1年症状无明显进展。
2 讨论
SCA6型于1996年被首次报告[2],ISHIKAWA等[3]研究提出其发病机制为位于19pl3.1的电压依赖性钙通道α-1A亚单位(CACNL1 A4)3′端基因编码区CAG重复扩增,重复序列范围21~25,该患者基因突变位点符合既往研究结果,CACNA1A CAG重复 22 次,属常染色体显性遗传,但基因突变位点是否存在地域或人种差异还需更多研究。

Fig.5.2 PCR+Capillary electrophoresis
图5.2PCR+毛细管电泳 采用[(片段大小-122.8)/2.9+11]公式计算,结果显示154片段重复22次
SCA6型在我国属于较为少见分型(约1.7%),该病临床特征为成年发病、缓慢进展的小脑共济失调、构音障碍和眼球震颤,发病年龄19~73岁,随病情发展可出现吞咽困难和窒息[4],病理特点为小脑萎缩而无脑干萎缩。本例患者首发症状为言语含糊伴行走不稳,随后逐渐进展出现头晕、饮水呛咳、眼球震颤等症状,属临床症状较为典型病例,头颅MRI见小脑明显萎缩。其父发病具体年龄无法追溯,据先证者言约70岁发病,症状相似,其女27岁,为无症状基因携带者,此家系暂符合遗传早现现象,但因病例数少,且其女尚未发病,还需进一步追踪验证。
国外有研究提出除外临床表现及典型影像学表现,该病诊断主要依赖基因检测,另外还提出乙酰唑胺或可缓解共济失调发作[5]。值得注意的是,针对SCA6共济失调表现,国外已有研究提出脊髓-下橄榄核-小脑蚓部通路对维持姿态平衡发挥重要作用,而这条通路是以5-羟色胺为递质的,有研究在共济失调的动物模型中证实,其小脑神经末梢存在5-羟色胺及其代谢产物的堆积[6]。
5-羟色胺可降低谷氨酸介导的小脑浦肯野细胞兴奋性传递,同时相对增强了抑制性谷氨酰胺的介导作用。SCA6患者无法有效利用5-羟色胺递质,导致谷氨酸过度堆积,造成浦肯野细胞内钙离子超载、自由基积蓄等变化,进而引起共济失调发生。丁螺环酮作为5-羟色胺1A受体激动剂,可以通过增强其利用率来抑制谷氨酸的释放,HINER等[7]也证实了丁螺环酮可以抑制小脑纤维兴奋性冲动的反应速度及传导速度,也可减少浦肯野细胞的钙离子内流,但这种作用是可逆的、剂量依赖性的。虽然国外已有临床研究证实丁螺环酮对轻中度共济失调有效,但由于该药物对多巴胺受体有中等亲和力,其治疗机制是否与多巴胺能系统相关尚不明确,以及多巴胺与共济失调发生是否相关也有待进一步研究。
另外,当前治疗手段不能阻止SCA6型患者肢体不协调、言语含糊等症状的进展,临床医生所能做的仅仅是尽可能延缓其病情发展,并且让患者及家属了解其发展情况、遗传方式以及风险,认识到预防跌倒及功能训练的重要性。
SCA6型主要依靠临床表现结合MRI小脑萎缩而无脑干萎缩来初步诊断,而基因测序则是该病诊断的有效手段,或可作为早期筛查的主要标准。丁螺环酮作为一种新型药物可有效改善共济失调,已有部分临床使用案例,但其具体治疗机制及不良反应有待进一步研究,或许可成为减缓病情发展的主要用药之一。
参考文献:
1. 曾文婷, 赵静, 胡曼诗, 等. 结构性MRI测量对脊髓小脑共济失调3型的诊断价值[J]. 中山大学学报(医学科学版), 2023, 44(1): 106-114.
2. 栾海辉, 许巍, 王牧川, 等. 脊髓小脑性共济失调6型一家系临床、病理和分子生物学特点[J]. 山东大学学报(医学版), 2016, 54(2): 63-67, 74.
3. ISHIKAWA K, TANAKA H, SAITO M, et al. Japanese families with autosomal dominant pure cerebellar ataxia map to chromosome 19p13.1-p13.2 and are strongly associated with mild CAG expansions in the spinocerebellar ataxia type 6 gene in chromosome 19p13.1[J]. Am J Hum Genet, 1997, 61(2): 336-46.
4. 李瑾, 李海宁, 戢福云. 1例遗传性脊髓小脑性共济失调6型患者的基因诊断[J]. 解放军医学杂志, 2011, 36(12): 1372-1373.
5. SOLODKIN A, GOMEZ C M. Spinocerebellar ataxia type 6[J]. Handb Clin Neurol, 2012, 103: 461-473.
6. YADID G, SOTNIK-BARKAI I , TORNATORE C, et al. Neurochemical alterations in the cerebellum of a murine model of Niemann-Pick type C disease[J]. Brain Research, 1998, 799( 2): 250-256.
7. Hiner BC, Mauk MD, Peroutka SJ. 8-OH-DPAT and ipsapirone: effects on hippocampal cerebellar and sciatic fiber excitability. Brain Res. 1988, 461(1): 1-9.
【引用格式】何梦妤,卢丽君,谭彧 ,等. 遗传性脊髓小脑性共济失调6型一家系病例报告[J]. 中国神经精神疾病杂志,2025,51(2):112-114.
【Cite this article】HE M Y,LU L J,TAN Y,et al.A family case report of spinocerebellar ataxia 6[J]. Chin J Nervous Mental Dis,2025,51(2):112-114.
DOI:10.3969/j.issn.1002-0152.2025.02.008

