European Radiology:儿童疑似肛周克罗恩病的磁共振成像
时间:2025-04-15 12:09:14 热度:37.1℃ 作者:网络
患有克罗恩病(CD)的儿童,除了肠道受累外,肛周和(或)会阴区域也可能出现炎症。肛周克罗恩病的表现包括瘘管、脓肿、炎性肿块、肛裂和皮赘。最近一项针对成人的研究表明,32% 的克罗恩病患者在确诊后的 10 年内会出现肛周病变。阿德勒等人的另一项研究报告称,30.1% 的患有克罗恩病的儿童在确诊 6 年后会出现肛周受累情况。约 10% 新确诊的患有克罗恩病的儿科患者在确诊时就已被发现存在肛周瘘管和(或)脓肿。
磁共振成像(MRI)能够在不产生电离辐射的情况下,生成肛周区域的高质量图像。部分由于其出色的软组织图像对比度分辨率和视野范围,与直肠内超声等其他检查方式相比,盆腔 MRI 在评估复杂瘘管时已被证明具有更高的准确性。欧洲胃肠和腹部放射学会(ESGAR)的共识声明以及美国放射学会(ACR)的适宜性标准指出,对于已知或疑似患有肛周克罗恩病的患者,盆腔 MRI 应作为一线影像学检查手段。
先前的多项研究已经评估了放射科医生之间在使用 MRI 评估成人肛周克罗恩病方面的一致性。例如,一项研究表明,在判断肛周瘘管(κ = 0.79)和脓肿(κ = 0.93)的存在方面,阅片者之间的一致性相当高,几乎达到了完美的程度。遗憾的是,关于放射科医生在评估患有克罗恩病且已知或疑似存在肛周病变的儿童的盆腔 MRI 图像时的一致性,相关信息有限。确定意见一致和不一致的方面,对于了解 MRI 在儿童中是否是一项可靠的检查方法,以及这项检查是否能够被放心地用于诊断、监测疾病进展,并在临床和临床试验中作为治疗终点至关重要。一致性相对较低的 MRI 特征可能成为放射科医生培训的重点,或者需要对其放射学定义进行完善,否则,这些特征可能需要从常规临床应用中剔除。

最近,发表在European Radiology 上的一篇文章评估了放射科医生在解读新确诊的患有肛周克罗恩病(CD)的儿童的盆腔磁共振成像(MRI)时的一致性。
在这项回顾性多阅片者研究中,我们确定了因新确诊肛周克罗恩病而接受盆腔 MRI 检查的儿科患者(年龄小于 18 岁)。对图像进行去识别处理后,上传至基于云的图像平台,由 13 名经过专科培训的儿科放射科医生进行阅片。阅片者评估瘘管和脓肿是否存在,对不同的影像学表现进行分类,并使用帕克斯(Parks)分类系统和圣詹姆斯大学医院(St James' University Hospital)分类系统进行分类。采用弗莱茨卡帕(Fleiss' kappa,κ)统计量和组内相关系数(ICC)以及 95% 置信区间(CI)来衡量阅片者之间的一致性。
本研究纳入了 46 例患者(中位年龄 = 13.0 岁 [四分位距:10.5 至 16.0 岁]);其中 35 例(76.1%)为男孩。大多数影像学特征显示出一般的一致性(κ = 0.21 至 0.35)。对于瘘管长度的分类(κ = 0.42 [95% 置信区间:0.32 至 0.53])、生殖器是否受累(κ = 0.45 [95% 置信区间:0.26 至 0.63])以及脓肿 / 积液是否存在(κ = 0.52 [95% 置信区间:0.31 至 0.73]),存在中等程度的一致性。脓肿 / 积液的最大长度具有良好的一致性(ICC = 0.81 [95% 置信区间:0.41,1.00])。在所有放射科医生和检查中,对于对比剂增强 T1 加权图像相较于单独的 T2 加权图像是否有额外价值这一问题,持肯定和否定意见的比例几乎相等(是 vs. 否:50.7% vs. 49.3%)。

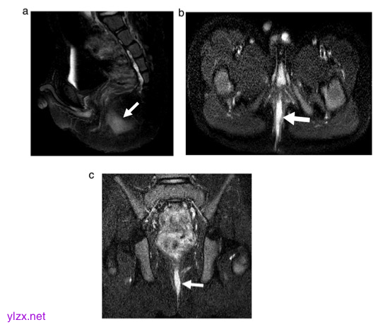
图 6岁男孩患有肛周克罗恩病。MRI脉冲序列包括(a)矢状面T2加权(T2W)快速自旋回波(FSE)脂肪饱和(FS), (b)轴向T2W FSE FS, (c)冠状面短tau反转恢复(STIR)。白色箭头显示后中线线状高信号异常,与肛周瘘一致。当使用Parks分类系统时,五位放射科医生将瘘管道描述为经括约肌,五位描述为括约肌间,三位描述为括约肌上
本项研究表明,放射科医生在解读儿童肛周克罗恩病的盆腔 MRI 时,对于大多数影像学特征的一致性一般,仅有较少的特征显示出中等或良好的一致性。
原文出处:
Pradipta Debnath,Michael R Acord,Christopher G Anton,et al.Magnetic resonance imaging for suspected perianal Crohn's disease in children: a multi-reader agreement study.DOI:10.1007/s00330-025-11469-5

