前降支近端急性闭塞伴严重钙化,恢复3级血流后择期植入支架
时间:2025-04-14 12:09:04 热度:37.1℃ 作者:网络
1 病例资料
患者女性,83岁,因反复胸痛、胸闷1年余,加重1小时急诊入院。
既往高血压15年。
入院查体:心率83次/分,血压113/67mmHg。
急诊心电图提示窦性心律,75次/分;完全性右束支传导阻滞;Ⅱ、Ⅲ、aVF导联ST段下移0.1mV,V₁导联T波倒置,V₂~V₄导联ST段抬高。右心室和后壁导联未见明显异常。


肌钙蛋白明显升高。
2 入院诊断
急性前壁STEMI
高血压3级(很高危)
3 术前用药
阿司匹林肠溶片300mg(嚼服)
替格瑞洛180mg口服
阿托伐他汀钙片40mg口服
替罗非班(5mg/100ml)微泵输入4ml/h
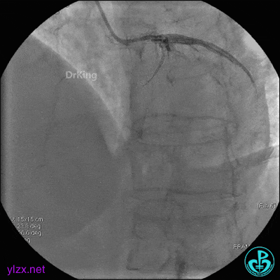
4 急诊冠脉造影
左主干轻度狭窄,左主干到前降支近端钙化影明显。前降支开口严重狭窄,近端闭塞。粗大回旋支轻度狭窄。


右冠脉无严重狭窄,右冠脉没有给前降支提供逆向供血。

5 治疗过程
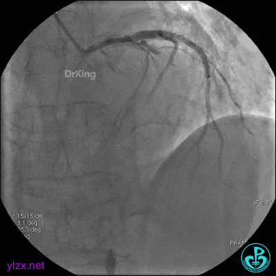
EBU指引导管到位,导丝通过闭塞段到达前降支远端,经指引导管冠脉内推注替罗非班6ml,前降支恢复3级血流,闭塞段局部残余狭窄严重,2.0×15mm球囊扩张前降支近端闭塞处后再次冠脉内推注替罗非班8ml。下台继续治疗。


下台后替罗非班(5mg/100ml)微泵输入4ml/h,持续48小时后停用;依诺肝素钠4000U皮下注射 每日1次(替罗非班停止后);阿司匹林肠溶片100mg qd、氯吡格雷75mg qd。
6 二次治疗
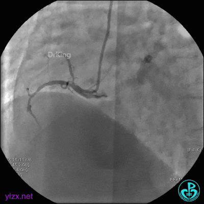
1周后复查造影,见粗大前降支3级血流,近端严重狭窄伴管壁严重钙化影,病变累及前降支开口。


球囊扩张后前降支中段植入支架。


前降支近端串联植入支架,前降支开口支架精确定位。


支架内非顺应性球囊后扩张。
最后造影结果显示前降支3级血流,支架膨胀尚可。








