病例实战 | 刘秀峰教授:肝癌指南与实践之间
时间:2025-04-11 12:09:12 热度:37.1℃ 作者:网络
郭某某,男,66岁,技术人员。初诊时间:2024-03-25。
主诉:发现肝脏占位1周。
现病史:2024年3月初体检行腹部CT示:肝右前叶巨大占位,大小约8.1x11.6x10.8cm。
既往史:否认肝炎病史,有高血压、糖尿病病史10余年,规律服药。
个人史:否认吸烟、饮酒病史。
家族史:无特殊。
查体:ECOG评分:0分,体表面积:1.76m2。
浅表淋巴结未触及,心肺听诊未闻及异常,腹平软,未触及包块,肝脾肋下未扪及,全腹无压痛、反跳痛,腹部移动性浊音阴性,肠鸣音正常。
肿瘤标志物:AFP 2.70μg/L,PIVKA-II 5280.86mAU/mL↑。
传染病:HBsAg(+),HBcAb(+),其余(-)。HBV DNA拷贝数:3.5x103IU/ml。
肝功能评估:CP评分5分,A级。
影像学评估:

图1. PET-MRI 功能影像特征

图2. 超声造影声像特征
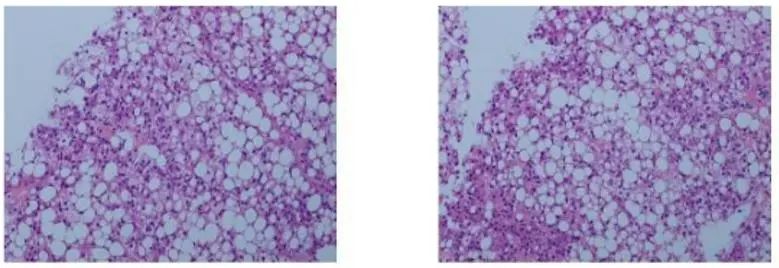
肝脏穿刺活检病理:

图3. 穿刺病理HE染色特征
基线特征收集完毕,开始查房及MDT讨论(提问式):
1、 病人诊断、分期?
该病例诊断明确,穿刺病理提示肝细胞癌;分期明确:BCLC B期/CNLC IIb期。
2、 跟普通中国特色肝细胞癌有什么异同?
① 根据BCLC 分期B进一步细分为B2(well-defined,超米兰标准);
② PET-MRI呈现高摄取征象;
③ AFP阴性,PIVKA-II阳性;
④ H&E染色病理可见大量脂肪空泡,病因学角度提示HBV合并NALFD;
⑤ 免疫组化提示:CK7(1+), Ki-67(5%+);
⑥ 无肝硬化背景,无大血管侵犯;
……
3、 治疗策略?指南的建议?

图4. 国家卫生健康委2024版指南建议

图5. BCLC 2024版指南建议
从国内外指南可以明确首选治疗策略为TACE,国内指南亦给出了手术切除和系统治疗的选项,而BCLC指南提供了两个“?”,即系统治疗是否优于TACE?TARE的可行性?
4、 如何面对病因驱动的异质性?需要基因检测吗?
指南没有提供答案!从NALFD/NASH相关HCC的建议,必要时可以进行基因检测,尤其针对AFP阴性患者,可以从IL-17、TGFβ入手。但这类HCC往往免疫治疗效果不佳,单一免疫治疗方案有可能导致疾病快速进展(HPD)。如果需要联合免疫,可以尝试双免或CAR-T治疗。

图6. NAFLD/NASH相关肝细胞癌的诊疗建议
5、 TACE的同时是否需要靶免联合系统治疗?本例患者治疗的终极目标是什么?
针对B2分期的HCC是否需要联合靶免,BCLC指南隐隐约约指了一个方向,但也是“云深不知处”。而CNLC IIb的治疗路径,指南其实已经不是简单的罗列治疗选项了,国内众多研究其实正在序贯或联合。但,几乎所有的场景都回避了本例多病因驱动的本质!
从以上异质性分析可以肯定,这是一例预后相对较好的患者,需要积极应对,以期达到转化的目的。但,积极转化绝非多药、多手段的堆砌!
6、 序贯治疗的具体实施
综合上述多组学的分析结果,我们采取了提前一周TKI口服(多纳非尼),随后进行精细TACE;4周后给予二次评估并实施SBRT(大分割放疗),放疗结束2周后联合PD-L1抑制剂;4周后再次评估,符合转化手术切除的标准,随即进行了手术治疗;术后进入靶免维持治疗阶段。

图7. 患者个体化的序贯治疗方案示意图
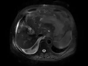
7、 患者转化成功后二次MDT

图8. 患者转化前MRI对比

图9. 患者转化后MRI对比
本例患者转化成功后目前处于无瘤状态,PIVKA-II逐步降至正常水平,是否可以“无药”是业界亟待回答的问题,我们暂时给予靶免的维持。
对于郭某某来说,人生遇到了另一个拐点,重获新生的滋味让他倍加珍惜,珍惜生命、珍惜身边的人和事,珍惜自由呼吸的空气和阳光雨露……但,对我们医务工作者,如何反思陪他经历过的这些构成OS曲线上的时间点?如何贴近指南、超越指南,进而成为指南?可能,可能,我们受困于内卷的医疗窘境,来不及思考,或者很多时候就没有思考。我跟我的同事经常说,其实病人是我们的老师,理应尊重、敬畏。

