问诊分析:年仅26岁女性,多发结节随访近2年,医生建议尽快手术,是否真必要?
时间:2025-04-10 12:17:49 热度:37.1℃ 作者:网络
病史信息:
基本信息:
女性, 26岁 。
主诉:
发现肺结节近2年。
现病史:
患者女性,曾于2023年8月体检行胸部影像检查首次发现肺部多发磨玻璃结节。2025年3月在某市人民医院复查显示肺结节仍在,当地医生判断恶性可能大,建议尽快手术切除右侧的三个结节。患者呼吸感觉如同喘不上气,胸闷、气短,但上周往医院就诊后诊断有“变异性哮喘”,而医生告知倾向于是焦虑引起,现为进一步咨询来诊。
曾就诊医院:
某市人民医院
希望获得的帮助:
两次ct如下,文件是2023年的。在知乎上看到叶医生您的文章,感觉您特别专业特别有思辨精神,想请医生帮忙看看!有点焦虑:
1、2023年与今年的相比是否有进展?
2、这些结节里有哪些是比较危险的?尤其是那个空泡的
3、能否继续随访,可以的话多久查一次比较好?
4、如果需要手术有什么手术建议,一次切那么多个会切除很多肺吗?可以消融吗?
影像展示与分析:
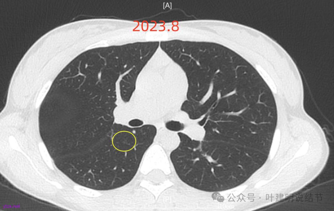
先来看2023年8月的:






病灶6:右下叶脊柱旁囊腔型病灶,整体轮廓与边界清,没有明显实性成分,考虑原位癌或微浸润性腺癌可能性大。
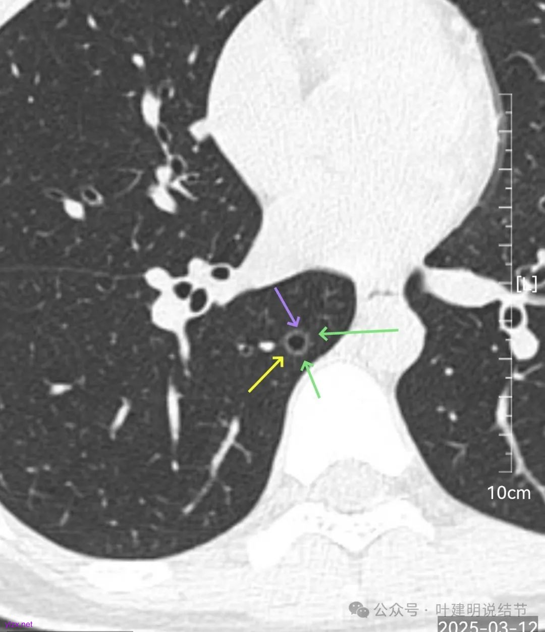
再看2025年3月的影像:






各病灶均无明显吸收好转,但显然也说不上有明显进展。所以基本上要考虑是肿瘤范畴的(包括肺泡上皮不典型增生或肺泡上皮增生)。但危险性显然不算高,至少近2年了没有什么进展,即使病灶6最厉害的也是纯磨密度伴空腔。
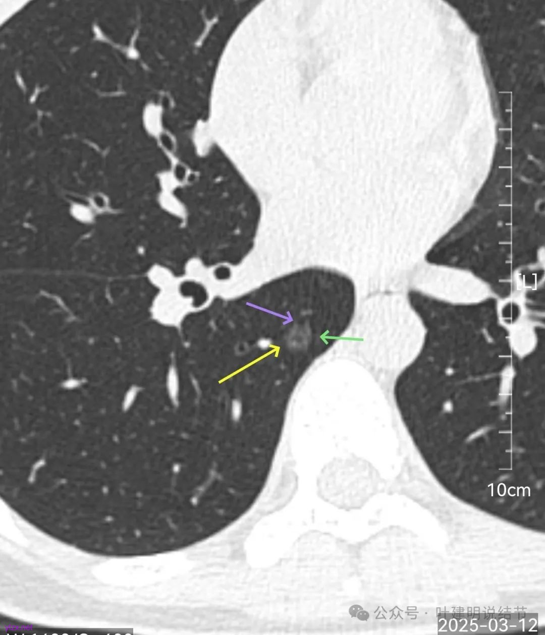
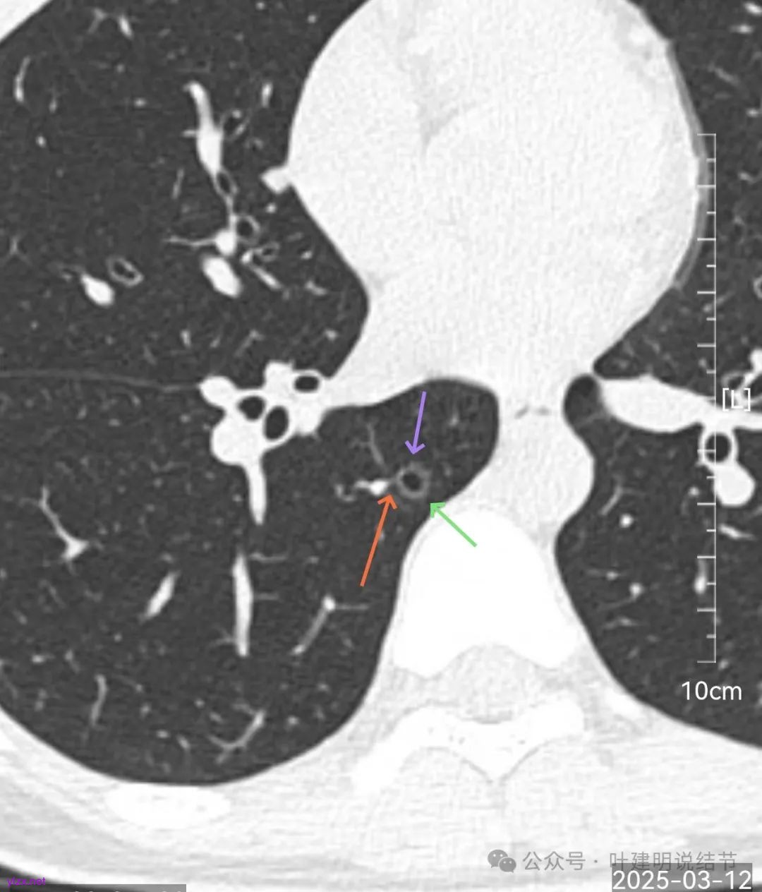
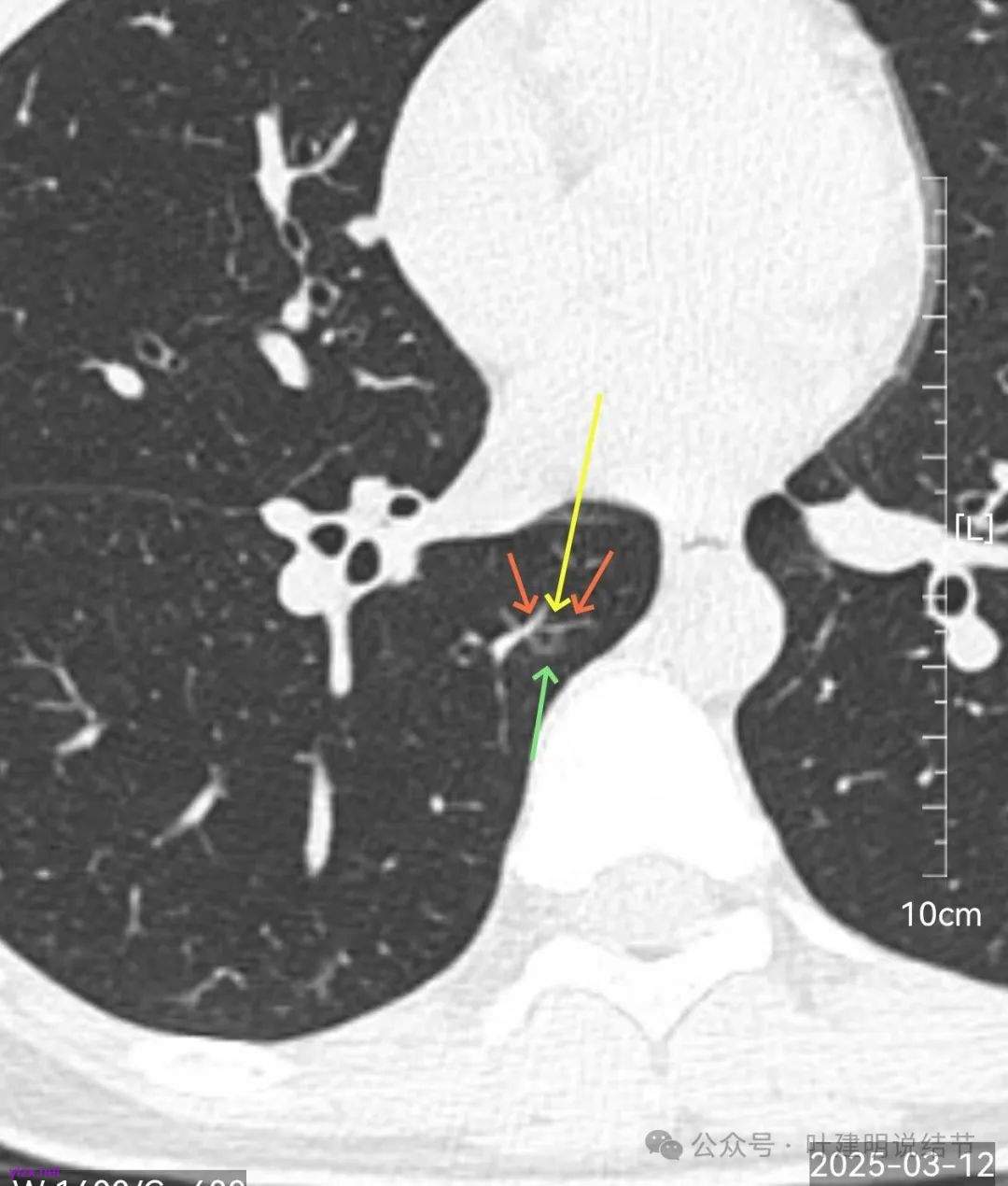
再来看风险最大的病灶6的连续层面:






血管从旁过,没有受结节影响。
我的回复:
两肺多发结节,均是磨玻璃密度,没有明显实性成分,主病灶有血管贴边,并伴空腔征,确实是囊腔型肺结节,而且考虑是肿瘤性质的,但囊壁没有实性成分,所以性质以应该是原位癌或微浸润性腺癌可能性较大,病理成分大概率仍是贴壁为主型(原位癌、微浸润性腺癌、浸润性腺癌贴壁亚型,这三类均是贴壁生长为主),所以风险低,进展慢的。对比2023年8月的也没有显著变化进展。其余结节均密度更淡或更小,风险性较主病灶更低,大概以肺泡上皮增生可能性较大,我觉得连不典型增生也不到的样子。所以总体上均考虑是广义上来说的肿瘤范畴,但危险性目前并不大。而且多发结节加上年轻,即使目前这些予以解决,后续再检查出新的磨玻璃结节的概率还是很大的,多处疤痕反而影响新增结节的观察与判断。我的想法是:目前不需要手术,可以9-12个月复查随访,若是有备孕计划,也可先备孕,等生了小孩再复查下就可以(间隔12-18个月一般关系也不会大)。至于消融,虽然许多医院与医生在推荐,但按目前的肺癌诊疗指南以及消融的专家共识,指征都是放在不宜手术(包括肺功能差、年纪大、曾经手术过、胸膜腔闭锁、全肺切除过等)或坚决拒绝手术的病人(比如宗教信仰或其他特殊原因),手术仍是首选的,尤其是位于外周能楔形切除的病灶的话,手术的创伤与对肺功能的影响并不大。我另外总结的消融弊端最主要有两点:一是肿瘤有没有完全灭活无法评估;二是消融后的疤痕区域肿瘤有没有复活无法评估。对于许多医生认为消融后3年或5年没有监测到病灶复发的说法,我是认为对于磨玻璃结节不处理许多也能5年,甚至10年不进展,用3年或5年的时间来评估有没有复发显然是不可靠的。意见供参考!
后续交流:

结友问的是当地最好的胸外科专家(某一线城市),建议其尽快手术!2023年到2025年都没变,这“尽快”的急迫程度是怎么来的?诊断早期肺癌当然是对的,若是加一句“恶性程度低,风险还不大,能再随访,以后有所进展也是微创切了就治愈”,是不是结友就不至于吓哭了呢?
感悟:
肺多发结节我一直强调的经验是:当有的病灶是典型恶性而有的不太典型或良恶性范畴不好定的,其余的很可能也是恶性范畴的;当有病灶是典型良性而有的不太能确定良恶性范畴时,其余的也可能是良性。因为致病因素与机体内环境是一致的。所以此例病灶6典型恶性范畴,所以其他微小的、持续存在的结节也多要考虑是肿瘤范畴的,当然我指的是包括肺泡上皮不典型增生以及肺泡上皮增生的,虽然后者算不上腺癌,前都也是2021年之前才算腺癌的浸润前病变。对于此例来讲,年仅26岁,多达6处病灶而且散布在两肺多叶,主病灶仍是纯磨,是否真的必要马上手术?危险性已经大到不能再随访了吗?再随访有可能转移吗?会影响预后以及最终生存期吗?我们来看《直径小于或等于2厘米肺结节胸外科合理诊疗中国专家共识2024版》中有关直径在6-10毫米的磨玻璃结节的表述:(共识9)首次发现6~10 mm pGGN/mGGN建议3个月复查肺部HRCT,如随访后结节无明显变化,建议每半年复查肺部HRCT;如随访后结节进展,建议手术治疗或每3个月复查肺部HRCT。今天这个病灶是纯磨伴空腔,发现已经近2年没有进展,按这共识意见半年复查显然是可以的,也是应该随访,而不是尽快手术。何况患者年经,还多发!在肺结节太多、检出低龄化的情况下,从风险高低角度考虑干预的必要性与时机才是比考虑恶性范畴就手术更为合理的。临床上也有太多随访多年均不进展的例子,医生不能在本已经无比焦虑的患者诊疗过程中推波助澜,加重他们的担忧,而是如实告知磨玻璃肺癌的发展慢、相对惰性、预后良好,能安全随访到有进展再处理效果是相当的,这程度也许是几年,也可能是十几年,甚至更长!

