病例分享 | 卵巢成熟型囊性畸胎瘤恶变为鳞状细胞癌一例
时间:2025-04-10 12:17:11 热度:37.1℃ 作者:网络
01 病史
女性,52岁,因“发现盆腔包块5年,下腹疼痛20+天”入院。
02 辅查
CA-125:89U/ml。
阴道彩超:于右附件区见16.1×14.8×13.0cm混合回声包块,内见液性区及不规则团状强回声,未见血流信号,盆腔内见液性区2.1cm。影像考虑:右附件混合回声包块:畸胎瘤?
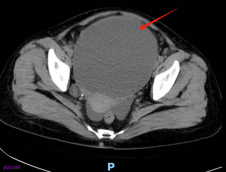
下腹部CT平扫(图1):下腹腔-盆腔见巨大囊状低密度影,其内密度不均匀。右下腹部部分肠管扩张、积液、积气,双侧输尿管腹段未见扩张。下腹腔、腹膜后未见肿大淋巴结,下腹腔积液。

图1 下腹部CT平扫示下腹腔-盆腔见巨大囊状低密度影,其内密度不均匀。
03 组织病理活检
3.1大体肉眼观(图2):
灰白囊壁样组织,150×110×15mm,壁厚1-5mm,局部见头节,直径10mm,切面灰黄,质中,头节周围囊壁见大量乳头状菜花状凸起,直径1-9mm,切面灰白实性,质地脆,囊壁内见大量豆渣样物及毛发,附输卵管长40mm,管径8mm,伞端开放。

图2 大体肉眼观见卵巢囊壁见大量乳头状菜花状凸起,质地脆,囊壁内见豆渣样物及毛发。
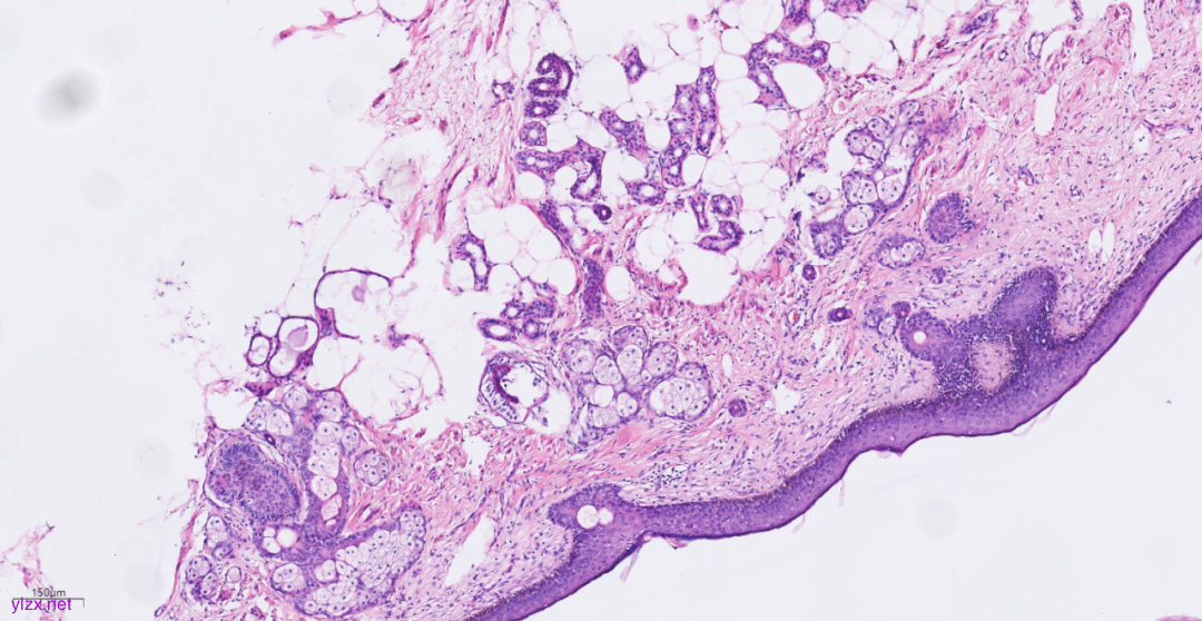
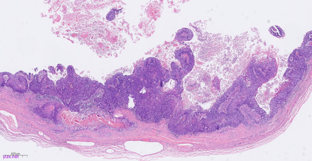
3.2镜下观(图3-图9):
低倍镜下可见卵巢肿物呈囊,中倍镜下,囊壁见分化成熟的多胚层成分,成熟型囊性畸胎瘤区域可见皮肤(正常鳞状上皮及其表明角化物)及其附属器成分(皮脂腺、汗腺及毛囊),局部囊壁表面可见由正常鳞状上皮-原位癌-鳞状细胞癌逐渐过渡;在鳞状细胞癌区域,囊壁增生的纤维结缔组织中可见肿瘤细胞呈巢状向下浸润性生长,也向囊腔内乳头状生长,局部癌巢中央可见角化珠及坏死;高倍镜下,鳞癌成分肿瘤细胞大小不等,细胞排列紊乱,细胞中-重度异型,核大深染,略呈空泡状,核仁明显,核分裂象易见,伴角化珠形成。

图3 低倍镜下可见卵巢肿物呈囊。

图4 中倍镜下,成熟型囊性畸胎瘤区域可见正常鳞状上皮、皮脂腺、汗腺及毛囊。

图5 局部囊壁表面可见由正常鳞状上皮-原位癌-鳞状细胞癌逐渐过渡。

图6 在SCC区域,癌巢向下浸润性生长,也向囊腔内乳头状生长。

图7 高倍镜下,癌巢中央可见角化珠。

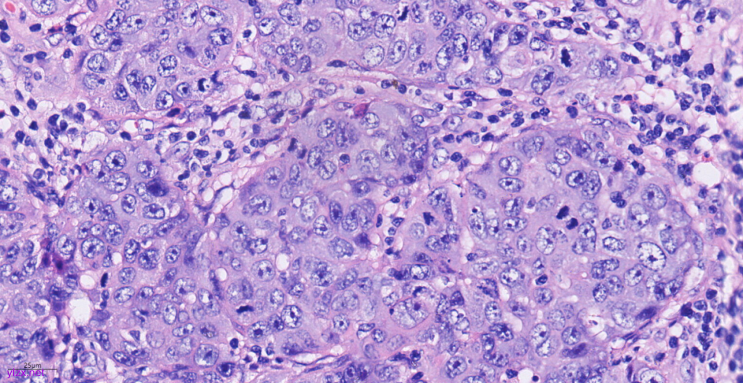
图8 高倍镜下,高分化鳞癌细胞之间可见细胞间桥。

图9 高倍镜下,中分化鳞癌细胞呈空泡状,核仁明显,核分裂象易见。
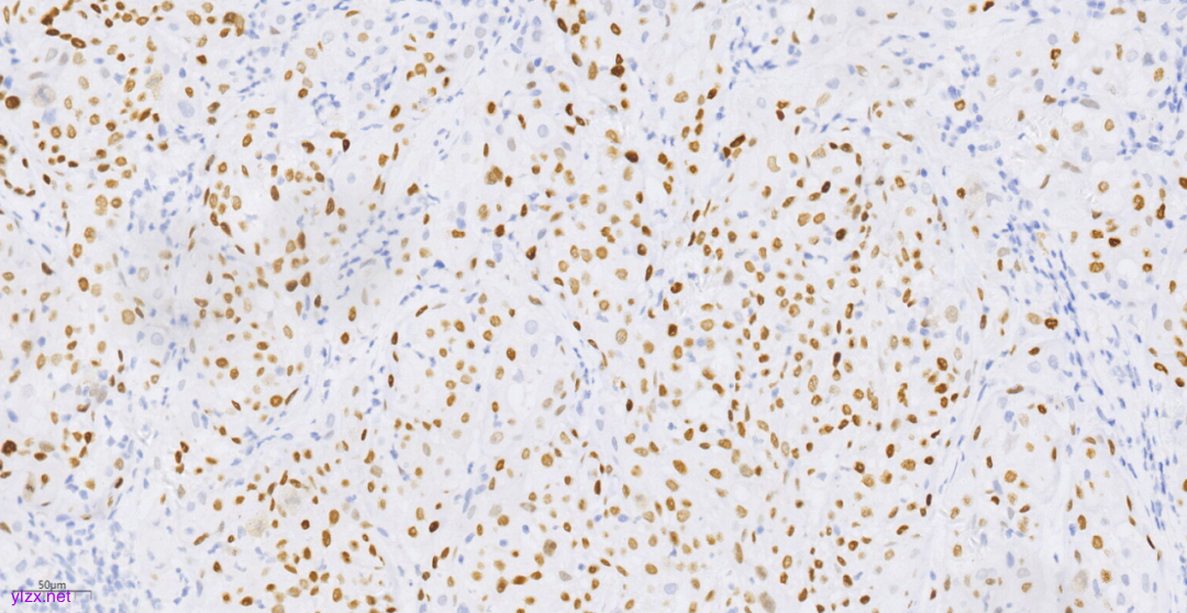
3.3免疫组化(图10-图12):
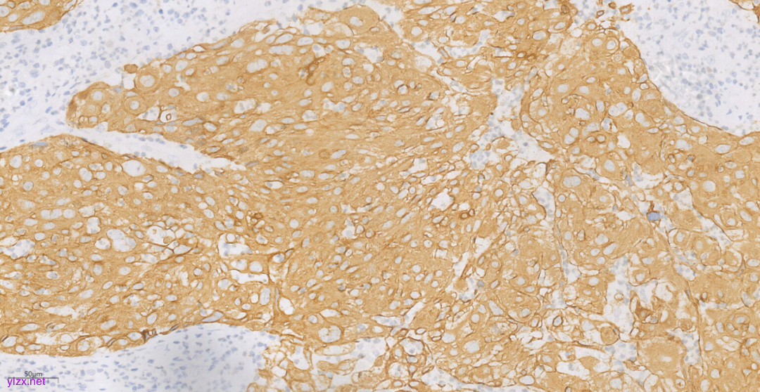
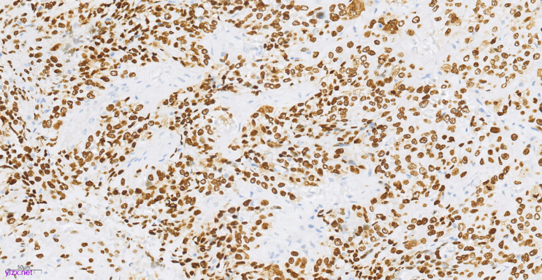
鳞癌成分CK(+),P40(+),CK5/6(+),p63(+),CK7(-),CK20(-),ER(-),PR(-),WT-1(-),Ki-67(约70%+).

图10 免疫组化示肿瘤细胞P40(+)。

图11 免疫组化示肿瘤细胞CK5/6(+)。

图12 免疫组化示肿瘤细胞p63(+)。
04 病理诊断:
(左侧)卵巢成熟型囊性畸胎瘤伴恶变(恶变成分为高-中分化鳞状细胞癌)。
讨 论
1.背景
卵巢原发鳞状细胞癌(squamous cell carcinoma,SCC)是一种非常罕见的卵巢上皮性恶性肿瘤,在2020年WHO女性生殖系统肿瘤分类中,被归入来源于皮样囊肿(又称成熟性囊性畸胎瘤)的体细胞型肿瘤中,组织来源尚不十分明确,约80%为卵巢成熟性畸胎瘤恶变所致,偶见于子宫内膜异位症、Brenner瘤,主要发生于绝经后女性,侵袭性强、恶性程度高、预后较差。
成熟性囊性畸胎瘤(mature cyslic leraloma,MCT)是卵巢最常见的良性生殖细胞肿瘤,仅0.17%~2.0%可发生癌变,其病变可发生于畸胎瘤上所有类型的原始生殖细胞,恶变的成分可以为鳞癌、腺癌、甲状腺癌、类癌、恶性黑色素瘤等,以鳞癌最为常见,约占80%。
2. 卵巢MCT恶变为鳞癌(MCT-SCC)的临床病理特征
2.1临床特点
MCT-SCC常见于围绝经期和绝经期女性,患者无典型临床表现,大多数是体检时发现,或出现腹痛、腹部肿块或阴道出血等症状。由于缺乏特定的体征和症状,MCT-SCC术前诊断困难,主要通过影像学检查发现,肿瘤体积比一般的MCT大,多呈实性,通常伴有出血或者坏死,此外,某些患者的术前放射学表现也可能与无癌变的MCT没有太大区别,需要结合患者病史及血清肿瘤标记物综合判断,如鳞状细胞癌抗原(SCC抗原)、CA125、CA19-9和CEA,其阳性率分别为63%、50%、28%和 45%。
2.2影像学
MCT-SCC影像学主要表现为盆腔内较大(直径多>10cm)的囊性肿块,可见脂-液平面,囊壁局限性增厚或跨壁生长的软组织肿块,增强后实性成分明显强化,可直接浸润邻近结构。若患者年龄较大,且合并肿瘤指标(尤其是CA125、CA199、SCCA)升高,更要考虑成熟性畸胎瘤恶变的可能性。
2.3病理学特征
肉眼观:
大体上, MCT-SCC体积通常较大,至少 90%的肿瘤直径为10~20cm。大体检查可以发现突向囊肿内的菜花样肿块,附壁结节、斑块或实性瘤块充满囊肿,肿瘤常见出血和坏死。
镜下观:
MCT-SCC在形态学上分为MCT和鳞状细胞癌两种成分,其中MCT镜下可见由发育成分化良好的外胚层、内胚层和中胚层组织,如牙齿、头发、骨骼和皮脂腺。SCC镜下见增厚的囊壁处有鳞状细胞癌成分,表现为异型增生的鳞状上皮细胞突破基膜向间质延伸,增生的纤维结缔组织中见肿瘤细胞排列成巢状,细胞大小不等,排列紊乱,核分裂象易见;可见同心圆排列的角化珠。病理医师应对标本充分取材进一步提高其诊断水平。
免疫表型:SCC肿瘤细胞CK5/6、p63、p40阳性,ER、PR阴性。
分子遗传学特征:在MCT-SCC 病例中的发现TP53 突变(82%),CDKN2A 突变和 9p21.3 丢失(54.5%),PIK3CA突变(36%), PTEN突变(27%),KMT2D(27%)突变。
3. 鉴别诊断
MCT-SCC主要应与以下肿瘤相鉴别:
(1)卵巢原发鳞状细胞癌(POSCC):MCT-SCC常见于发育成分化良好的外胚层、内胚层和中胚层组织,而POSCC无MCT成分,但前提是需要充分取材。
(2)宫颈SCC转移:在非常少见的情况下,宫颈鳞状细胞癌可累及卵巢,巨检可见宫颈有明显肿物或者黏膜粗糙、呈颗粒样外观、宫颈变硬变形等表现,缺乏毛发、皮脂物质等;囊性成熟型畸胎瘤癌变病例,最典型的特点是大体检查可见毛发、皮脂物质,镜下可见多胚层结构,通常可见良性鳞状上皮向恶性转化的过渡区。
(3)子宫内膜样癌伴广泛鳞状化生:巨检子宫内膜粗糙或有明确的肿物,缺乏毛发及皮脂物质,镜下可见到恶性子宫内膜样腺癌成分,免疫组化vimentin、ER、PR阳性可帮助鉴别。
(4)甲状腺乳头状癌转移:卵巢囊性成熟型畸胎瘤伴甲状腺乳头状癌恶变,镜下肿瘤内可见泡状核、核拥挤、核沟及核内假包涵体等典型甲状腺乳头状癌细胞学改变,局灶可见乳头状结构。免疫组化标 记:Galectin-3、HBME-1 ( MC ) 及CK19 均阳性,CD56阴性,与甲状腺部位的乳头状癌的免疫表型一致。
(5)胃肠道低分化腺癌转移:来自消化系统的转移性肿瘤是卵巢转移癌最常见的来源之一,15~50%的胃癌有卵巢转移,结直肠癌转移到卵巢的比例是15~30%。巨检,80%卵巢转移性肿瘤为双侧性,缺乏毛发及皮脂物质;镜下无多胚层肿瘤成分;免疫组化CK7、CK20、CDX2、ER、MUC2等有助于鉴别。CK7+/CDX2+/ER-支持来源于胃,CK20+/MUC2+/ CDX2+/ MUC5AC+/ MUC1-/ER-支持来源于结肠。需要结合原发肿瘤的病理形态和免疫组化结果综合分析。
(6)卵巢癌肉瘤:当卵巢癌肉瘤的癌成分为SCC时需与MCT-SCC相鉴别,MCT-SCC无肉瘤成分。
4.治疗及预后
分期手术是MCT-SCC的标准治疗方法,通常进行子宫切除术和大网膜切除术,以提高患者的存活率。MCT-SCC转移方式主要是局部播散,是否进行淋巴结清扫不影响总生存率,对IA/IC期的45岁以下的年轻患者可先行保留生育能力的手术,切除单侧附件,化疗可以改善高级别SCC患者的预后,目前尚无公认的一线辅助化疗药物,推荐的初始化疗方案主要是博来霉素/依托泊昔/顺铂 (BEP) 和紫杉醇/卡铂 (TC)。但是放疗并不能改善患者的预后。
患者预后与FIGO分期、肿瘤包膜是否完整、是否侵犯囊肿壁、有无脉管侵犯、有无转移相关,局限于卵巢的肿瘤预后好。I期患者的5年生存率为85%,Ⅱ期、Ⅲ期患者生存率小于50%。
*本文(包括图片)均为作者投稿, 仅供行业交流学习用,不作为医疗诊断依据。
参考文献
[1]展瑞,姚义兴,巩婵婵,等. 卵巢成熟型囊性畸胎瘤恶变为鳞状细胞癌和原发性卵巢鳞状细胞癌的临床病理特征[J]. 中华医学杂志,2024,104(34):3252-3255. DOI:10.3760/cma.j.cn112137-20240311-00547.
[2]杨祎彬,杨悦,孙文勇,等. 原发性卵巢鳞癌和卵巢成熟畸胎瘤鳞癌变的临床病理分析[J]. 中华妇产科杂志,2020,55(7):483-486. DOI:10.3760/cma.j.cn112141-20200310-00204.
[3]张群,宋芳,吕京澴.卵巢成熟性囊性畸胎瘤伴鳞状细胞癌2例并文献复习[J].诊断病理学杂志,2022,29(08):753-755.
[4]王娟,黄小英,黄炳臣,等.卵巢成熟型囊性畸胎瘤恶变成鳞状细胞癌4例临床病理分析[J].临床与实验病理学杂志,2021,37(01):87-89.DOI:10.13315/j.cnki.cjcep.2021.01.023
[5]杨旭丹,王雷,王晓卿,等.卵巢成熟性畸胎瘤恶变22例临床病理分析[J].临床与实验病理学杂志,2015,31(01):19-23+28.DOI:10.13315/j.cnki.cjcep.2015.01.005
[6]Chao A, Lai CH, Chao AS, Lin CY, Wang YC, Huang HJ, Wu RC. Molecular characterization of ovarian squamous cell carcinoma originating from mature teratoma. J Mol Med (Berl). 2025 Jan;103(1):101-111. doi: 10.1007/s00109-024-02505-w

