低蛋白血症临床诊治思辨
时间:2025-04-10 12:16:17 热度:37.1℃ 作者:网络
引言
人体血浆中白蛋白主要由肝脏合成,在维持血浆胶体渗透压、结合与转运物质、活性氧的清除和解毒等方面发挥不可替代的作用。低蛋白血症是以血清蛋白水平降低减少引起营养不良、水肿、胸腹水等体征为主要表现的临床病理状态,其主要病因包括以下四大类:1、营养不良或吸收障碍(蛋白质摄入不足、慢性肠炎、短肠综合征等);2、蛋白质合成障碍(肝功能损害等);3、蛋白丢失(经胃肠道、肾脏及体表等);4、过度消耗(恶性肿瘤、结核、甲亢等)等,涉及病因种类繁多,使少数低蛋白血症疑难病例难以找到病因及合理化诊治而延误病情。白蛋白半衰期约21天,在体内合成代谢时间较长,易受静脉输注白蛋白、腹水丢失等影响,血清前白蛋白也主要由肝实质细胞合成及分泌,其半衰期更短(约1.9d),主要受肝脏合成功能及营养影响,能迅速反馈机体变化,值得广大临床医生关注。本文旨在结合西部战区总医院消化内科诊治的两例不同病因类型的低蛋白血症病例, 探讨低蛋白血症病因,分析白蛋白与前白蛋白变化规律,从而为该类疾病临床诊治提供思路。
病例一
一例罕见的小肠淋巴管扩张引起消化道丢失性低蛋白血症
患者蔡某某,男,53岁,主因“肝硬化”伴双下肢水肿20年余,腹痛半月入院。20年余前,患者无明显诱因出现双下肢凹陷性水肿并逐年加重,伴眼睑浮肿、乏力、腹泻(2-3次/日,大便不成形,黄色),于外院诊断为“肝硬化”。既往22年前患“肺结核”,已治愈(现无任何活动性结核证据)。个人史及家族史无特殊。入院后完善相关实验室检查提示淋巴细胞减少(图1)、白蛋白减少(图2)而前白蛋白正常。影像学检查提示双肺陈旧性炎性改变,肝硬化、脾大、门脉高压伴胃周静脉曲张,腹腔内小肠广泛肿胀,肠粘膜增厚并明显强化。患者低蛋白血症原因不明,进一步完善肝脏穿刺活检仅提示轻度肝损伤的炎性改变,未见假小叶形成。结合患者临床症状及辅助检查结果,患者无蛋白摄入不足及消耗性疾病,肝脏功能未见明显异常,因此考虑丢失过多可能较大。

图1. 患者淋巴细胞计数及百分率变化趋势

图2. 患者白蛋白与前白蛋白变化趋势
完善24小时尿蛋白定量实验排除肾脏丢失性疾病后进一步完善肠镜提示回盲部可见条形白斑及颗粒样肉芽增生,表面充血肿胀,病理回示:黏膜慢性活动性炎,局灶黏膜、黏膜下和浆膜下淋巴管扩张。结合肠镜结果考虑肠道淋巴管扩张导致蛋白丢失可能,为了验证猜想行肠道蛋白丢失核素显象后证实确有肠蛋白丢失,可能漏出部位位于第5组小肠(中段回肠)或以上小肠。追问病史,患者22年前患“肺结核”,接受抗痨治疗1年半后痊愈,抗痨结束半年后才开始出现双下肢轻度水肿。再次阅片,发现患者胸部CT显示纵膈稍许移位,完善多部位胸导管成像示:胸导管颈段局部折曲角度增大。故该患者低蛋白血症根本病因为:抗痨治疗后纤维瘢痕使纵膈移位,牵拉胸导管使肠道淋巴回流受阻,淋巴液漏入肠道,引起腹泻、蛋白丢失。最终诊断:胸导管颈段梗阻、小肠淋巴管扩张、低蛋白血症、淋巴细胞减少症、陈旧性肺结核。

图3. 影像学检查
A图:可见纵膈稍许移位;B图:肠镜见回盲部条形白斑及颗粒样肉芽增生,表面充血肿胀;C图:胸导管成像可见胸导管颈段局部折曲角度增大。
病例二
一例新型营养不良性低蛋白血症
患者张某某,男,48岁,因“进行性消瘦2+年,气紧1+月”入院。2020年至本次入院2年内体重下降约15Kg,未进一步诊治。1月前患者无明显诱因出现气紧,遂于我院就诊。既往6年前因“车祸”于外院发现“肝硬化”。入院后完善实验室检查提示低蛋白血症(白蛋白和前白蛋均减少):白蛋白32.3 g/L(最低6月17日29.9 g/L),前白蛋白62 mg/L;胆管酶轻度升高,凝血功能轻度异常(PT 15.8秒),CRP 72.87 mg/L,PCT 0.09 ng/ml。影像学检查提示双侧胸腔中量积液,右侧深约 6.0cm,左侧深约3.7cm;肝硬化、门脉高压、脾大。患者气紧考虑胸腔积液所致,进一步分析胸腔积液原因。患者无肿瘤及心血管疾病证据,虽存在炎症指标如CRP及PCT轻度升高,胸水常规提示渗出液,但未见细菌、真菌等生长,感染证据并不充分。结合患者有肝硬化病史,但本次入院肝功仅表现白蛋白和前白蛋白减少,胆管酶轻度异常,但生物转化、代谢等功能却未见异常,这与肝硬化所致的肝功能变化规律并不相符。结合患者白蛋白及前白蛋白变化规律(同步减少),进一步分析其低蛋白血症病因,考虑是营养不良/吸收不足或肝脏合成功能障碍所致可能较大。进一步完善肝脏穿刺活检提示肝脏轻度慢性肝损伤组织像,排除肝硬化诊断,因此肝硬化不是低蛋白血症真正病因。询问病史,患者诉食欲好,大便正常,既往无小肠疾病,蛋白质摄入无明显异常。结合蛋白吸收正常路径,我们推测是否是蛋白经肠道吸收后利用障碍,再次阅片发现较6年前,本次入院患者影像提示门脉显示不清,门静脉主干狭窄及门脉高压较前明显加重,侧支循环血供更加丰富,门脉期肝脏强化明显低于脾脏(血液灌注不足征象)。因此考虑该患者低蛋白血症的根本病因为:门脉主干血栓形成,使入肝血流逐渐减少,肝脏无法摄取足够原材料,大量富含营养的血液经分流道直接回到体循环导致无效营养,最终形成低蛋白血症并引起营养不良、消瘦及胸腔积液,因此患者最终诊断为:门静脉血栓、门脉高压、低蛋白血症、胸腔积液。

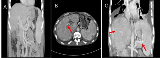
图4. 影像学检查
A图:2016年可见门静脉主干轻度狭窄,门脉期入肝血流侧枝丰富,肝脾强化均匀且基本一致;B、C图:2022年复查见门静脉主干狭窄明显加重(红色箭头),部分肝内分支基本消失;门静脉期大部分肝脏强化明显低于脾脏(红色箭头);门脉高压较前明显加重、食管胃底静脉曲张、脾肾分流静脉较前增粗明显。
讨论与分析
蛋白质是生命的基础,约占人体重量的15%,为满足机体代谢需要,成人每日需要摄入0.8~1.5g/kg蛋白质。其中,血清白蛋白与前白蛋白是评估机体营养状况的两大重要指标。白蛋白是一种球状单肽链蛋白质,主要由肝脏合成,是血清中的主要蛋白质,正常成人的血清白蛋白为35.0~50.0 g/L,占血清总蛋白的50%-65%,健康成人每日约合成白蛋白10~15g,半衰期约为21天,常用于评估患者营养状况、肝功能,并用于诊断低蛋白血症,即各种疾病引起的血清白蛋白<35g/L或总蛋白<60g/L[1,2]。血清前白蛋白是一种四聚体蛋白,主要由肝实质细胞合成及分泌,由于在血浆电泳中迁移速度较白蛋白快,故被命名为前白蛋白,其半衰期较短,约1.9天,在体内合成分解代谢快,能对机体变化产生快速反应,常被用于评估机体营养状态、肝脏功能及炎症水平[3,4]。同时,前白蛋白相较于白蛋白而言,半衰期更短,且不易受消化道、腹水等丢失影响,能更迅速敏感地反映肝脏功能与营养状况。根据白蛋白及前白蛋白的变化特点,我们对低蛋白血症的病因进行归纳总结,协助临床医师对低蛋白血症进行诊治,具体规律总结如下:

图5. 低蛋白血症病因及白蛋白、前白蛋白变化规律
第一类 各种原因引起的营养不足或吸收不良:其特点为由于机体不能获取充足的原料,故白蛋白及前白蛋白均明显降低。主要包括:1、蛋白质摄入不足:如禁食、食物营养成分低、吞咽困难、消化道疾病、神经性厌食症、挑食、偏食等;2、吸收吸收不良:如小肠粘膜发育异常、短肠综合征、小肠-结肠瘘、门脉高压等;3、门脉入肝血流少:Abernethy 畸形,门脉血栓、特发性门脉高压等。
第二类 蛋白质合成障碍:其特点为由于肝脏功能受损,蛋白合成功能降低,白蛋白及前白蛋白均明显下降。主要包括:1、急性肝损伤:如急性药物/毒物性肝损伤、急性酒精性肝损伤、急性缺血性肝损伤、急性胆道梗阻等,此类患者在疾病早期前白蛋白可迅速做出反应表现为明显下降,而白蛋白由于半衰期长,在体内代谢更慢,约10天后才明显下降。在经过有效的病因治疗后,在疾病的恢复早期,前白蛋白随肝脏功能的恢复而迅速升高,此时白蛋白可表现为继续下降或仍处于较低水平[5];2、慢性肝损伤:如慢性病毒性肝损伤、慢性酒精性肝损伤、慢性寄生虫感染、慢性胆道梗阻等,患者肝脏长时间受损导致肝脏合成的蛋白质减少,易引起血浆胶体渗透压降低产生胸、腹腔积液,而大量蛋白又随胸、腹腔积液进一步丢失加重低蛋白血症,引起恶性循环。
第三类 丢失过多:其特点为肝脏合成功能正常,由于前白蛋白半衰期短,肝脏合成代谢快,故前白蛋白基本正常,而白蛋白半衰期较长,体内储备更多,肝脏合成代谢更慢,故下降较明显。主要包括:1、肾脏丢失,其特点为肾脏功能不全早期以微小蛋白丢失为主,中后期各种类型蛋白均可丢失;2、肠道丢失:如炎症性肠病、淋巴管扩张、自身免疫性肠病、嗜酸性胃肠炎等;3、体液丢失:如胸腹水、严重烧伤、急性大出血等;
第四类 消耗过多:其特点似第三类,由于肝脏合成功能正常,故半衰期短的前白蛋白降低不明显,甚至可能反应性地略微上升,而半衰期较长的白蛋白明显降低。主要包括:1、恶性肿瘤:由于肿瘤的过度消耗及对饮食摄入影响,此类患者在早期前白蛋白正常,白蛋白逐渐下降,至中晚期恶病质,前白蛋白逐渐下降,白蛋白明显下降;2、其它高消耗疾病:如结核病、甲亢、自身免疫性等。
本文第一例患者22年前患有“肺结核”经抗痨治疗后痊愈,之后半年出现腹泻、双下肢水肿现象,在外院诊断“肝硬化”长达20年,时间与水肿时间相平行,易将低蛋白血症病因误认为肝硬化。但结合我们总结的规律,患者肝功主要表现为白蛋白明显降低,而前白蛋白正常甚至高于正常上限,且肝酶、胆红素等指标基本正常,不符合肝硬化低蛋白血症规律,肝穿刺病理活检排除了肝硬化诊断。根据患者白蛋白与前白蛋白水平变化呈明显分裂现象,推测患者低蛋白血症病因为蛋白质丢失增多或消耗增多可能性大。结合患者既往肺结核病史,多次检查均无活动性结核证据,因此结核导致该患者低蛋白血症的可能性基本可以排除,结合其他检查检验包括肿瘤、自身免疫等蛋白消耗性疾病均逐一排除;重点考虑蛋白丢失性疾病,患者尿蛋白及24小时尿蛋白定量基本排除经肾脏丢失的可能性。因患者长期腹泻与水肿基本并行,重点考虑肠道丢失性蛋白相关疾病;给患者行肠镜检查时全部结肠未见明显异常,回盲部见奇怪的条形白斑及颗粒样肉芽增生,结合病理及小肠影像学资料,及多次血常规示淋巴细胞计数及比例均降低现象,符合小肠淋巴管扩张引起肠道丢失性低蛋白血症血症特点。
那么患者小肠淋巴管扩张原因是什么?结合患者抗痨治疗后半年出现腹泻及双下肢水肿,自然想到可能与抗痨治疗相关,最终通过胸导管MRI、造影得到确诊。并通过淋巴管球囊扩张治疗后,患者低蛋白血症得到明显缓解,进一步证实了该复杂疑难病例的诊断。其中白蛋白与前白蛋白变化趋势是引导正确诊断方向的关键。
本文中第二例患者在诊断“肝硬化”后才逐渐出现消瘦,易将消瘦、低蛋白血症病因误诊为肝硬化。结合我们总结的白蛋白与前白蛋白变化规律,患者表现为白蛋白、前白蛋白明显降低,病因可能是营养不良或者肝功能损害两大类疾病引起的蛋白质合成障碍。患者肝脏功能ALT、AST、胆红素及胆汁酸等指标均正常,以肝功能损害来解释不太符合,肝穿刺病理活检排除肝硬化诊断。因此诊断思路重点转向营养不良可能。分析食物中蛋白质被人体利用的生理过程:经口摄入含蛋白质食物后(该患者进食质与量均正常),通过口腔的咀嚼及胃酸和胃蛋白酶等作用,蛋白质被初步水解为多肽。在小肠内,通过胰腺分泌的蛋白酶、糜蛋白酶和肠激酶等多种消化酶的作用下(无胰腺疾病证据),多肽进一步被分解为三肽、二肽和氨基酸(无胃及小肠疾病证据)。在小肠上皮细胞的主动转运下,氨基酸等营养物质被转运进入细胞,并通过门静脉进入肝脏,被肝细胞摄取利用合成自身所需蛋白质(约90%的血浆蛋白由肝脏合成)[6]。此类低蛋白血症需要仔细鉴别蛋白质在人体中合成前可能存在的障碍,如:1、蛋白质摄入相关障碍;2、消化分解为氨基酸过程障碍;3、胰腺外分泌功能不足;4、小肠上皮细胞吸收入血过程障碍;5、营养物质运输与分配过程障碍;6、合成与利用相关障碍。门静脉是肝脏的功能血管,主要负责将消化道吸收的各种物质运输至肝脏进行代谢、解毒、储存等处理,分析患者影像资料,患者进行性门脉血栓形成,门脉入肝血流逐渐减少,吸收入肝的营养物质进一步减少,营养物质运输与分配过程存在障碍,大量富含肠道营养的血液直接进入体循环中,导致无效营养(巧妇难为无米之炊),最终导致低蛋白血症,继发感染诱发胸水[7]。
小结
上述两例因罕见原因导致蛋白质丢失过多及蛋白质合成障碍疑难病例,其白蛋白及前白蛋白变化规律为病因寻找及临床诊断思路提供关键方向。在发现低蛋白血症患者后应积极寻找根本病因,早期发现及时确定病因和实施旨在纠正低蛋白血症的有效干预措施可以显著改善临床结果,帮助患者恢复健康,减少痛苦。在不明原因的低蛋白血症的情况下,可以观察白蛋白与前白蛋白的变化规律,结合病史及相关辅助检查仔细阅片,探索低蛋白血症的深处病因。
参考资料:
[1]吕大鹏,穆颖,曹冰清.人血白蛋白制剂在肿瘤营养治疗作用中的商榷[J].肿瘤代谢与营养电子杂志,2024,11(04):480-484.DOI:10.16689/j.cnki.cn11-9349/r.2024.04.006.
[2]Erstad BL. Serum Albumin Levels: Who Needs Them?. Ann Pharmacother. 2021;55(6):798-804. doi:10.1177/1060028020959348.
[3]Keller U. Nutritional Laboratory Markers in Malnutrition. J Clin Med. 2019;8(6):775. Published 2019 May 31. doi:10.3390/jcm8060775.
[4]黄怡,官敏,张雪,等.前白蛋白动态变化对胆道支架置入术治疗恶性梗阻性黄疸预后的预测价值[J].天津医药,2023,51(10):1117-1121.
[5]Li, J, Du, M, Li, H, et al. Low Prealbumin Levels Were Associated with Increased Frequency of Hepatic Encephalopathy in Hepatitis B Virus (HBV)-Related Decompensated Cirrhosis. Med Sci Monit. 2023; 29 e937772. doi: 10.12659/MSM.937772.
[6]Ranasinghe RN, Biswas M, Vincent RP. Prealbumin: The clinical utility and analytical methodologies. Ann Clin Biochem. 2022;59(1):7-14. doi:10.1177/0004563220931885.
[7]Wang QR, Long J, Wang CC, Hu JL, Lin N, Tang SH. Case report of atypical undernutrition of hypoproteinemia type. Open Life Sci. 2023;18(1):20220766. Published 2023 Nov 29. doi:10.1515/biol-2022-0766.

