问诊反馈:这样的病灶术中快速报不典型增生?可能吗!常规病理必会升级
时间:2025-04-09 12:10:09 热度:37.1℃ 作者:网络
诊断肺结节的性质,有时候术前影像是能够判断八九不离十的,我们不能总想着特例,而应该从普遍更常见的角度去考虑问题。有位肺结节患者向我网络咨询了三次,过年前我就说年后尽快要手术,结果犹豫当中还是拖了一段时间。当然最后还是去开了,术中病理居然报的是不典型增生!这怎么可能呢?我告诉他常规病理肯定会升级。现在结果反馈来了。




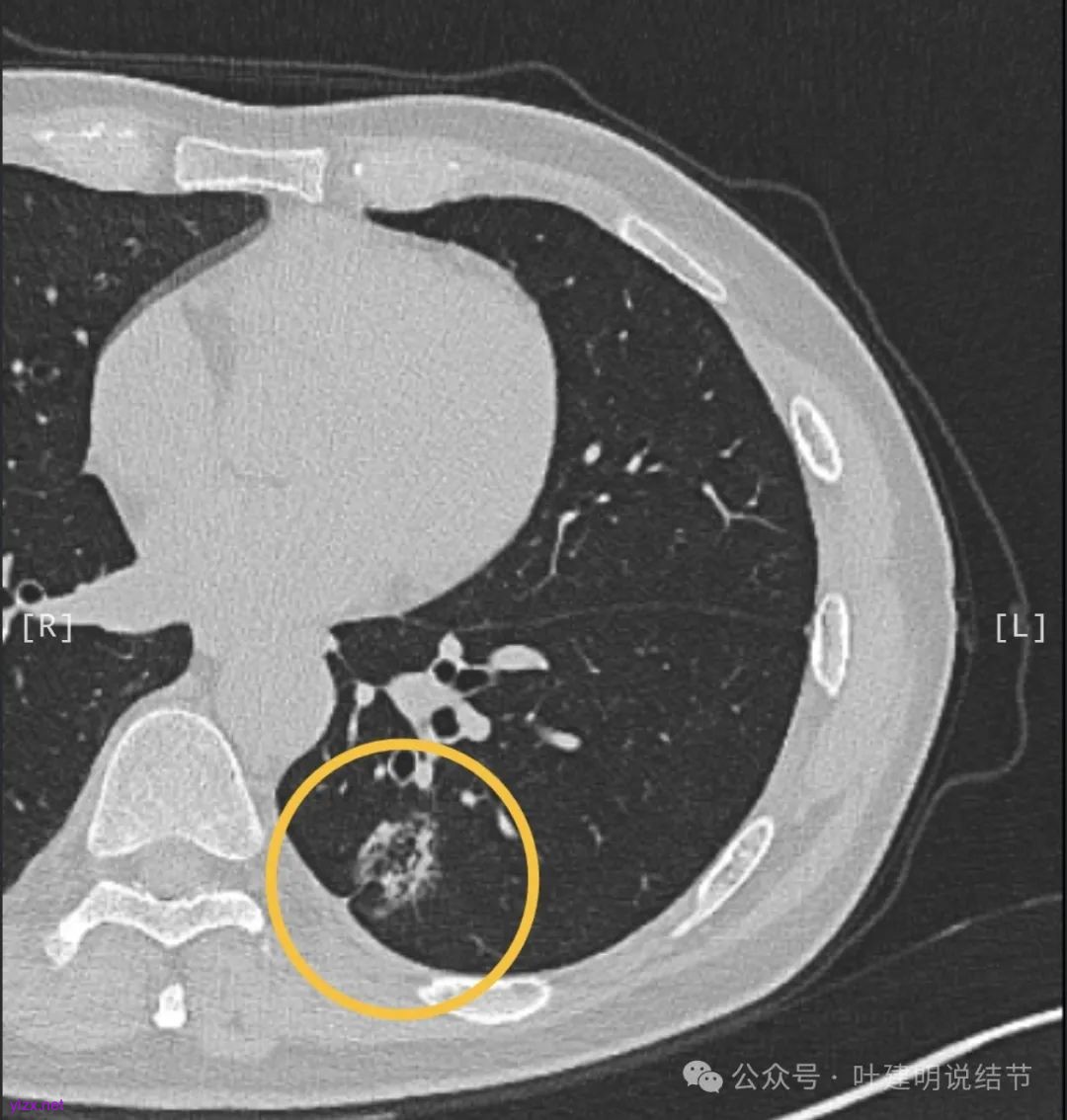
第1次问诊的时候,我就说这个病灶考虑是浸润性腺癌,但是由于合并存在局灶支气管扩张,所以不能100%确认。但是建议他年后找时间早点手术切了。




第2次问诊时,我还意外怎么还没去手术,而且还担心会不会是淋巴瘤,家属说如果是淋巴瘤手术就不是第一方案。考虑问题怎么能够总是从少见的角度去考虑呢?肯定要大众一些常见一些的角度去考虑问题。



第3次问诊的时候,患者告诉我已经在当地一个很大的医院(全国非常著名)做了手术,术中病理报的是肺泡上皮不典型增生,倾向腺癌。我不知道这是个怎样的诊断,到底是不典型增生还是腺癌。但是我认为术后病理是会升级的,由于磨玻璃成分为主,实性成分占比比较少,所以我当时考虑即使升级也是高分化浸润性腺癌可能性大。


最近反馈给我的信息,常规病理果然升级了,但是有所意外的是,高危亚型占5%。贴壁亚型只有15%。当然这也符合之前总结的,囊腔型病灶如果是浸润性癌,容易含有低分化成分。

