再现经典|跖附关节损伤(Lisfranc 损伤):经皮复位和固定的手术技巧和方法
时间:2025-04-08 12:10:48 热度:37.1℃ 作者:网络
如果 Lisfranc 损伤未经治疗,中足关节可能出现进行性畸形和继发性骨关节炎,从而导致预后不良。与非手术治疗相比,解剖复位内固定手术治疗疗效更好。对于轻微 Lisfranc 损伤,只要能够解剖复位,可以通过经皮技术完成。
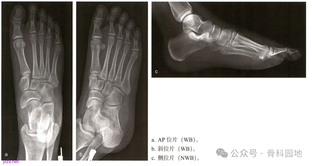
病例:


术前计划:第2 TMT 关节复位方向,螺钉和克氏针置入方向。只有在第 4/第5 TMT 关节不稳定时才使用克氏针固定。

体位:Lisfranc 损伤经皮固定的经典手术体位。本例为左足损伤。在同侧髋部下方垫高,将患足位置调整合适。

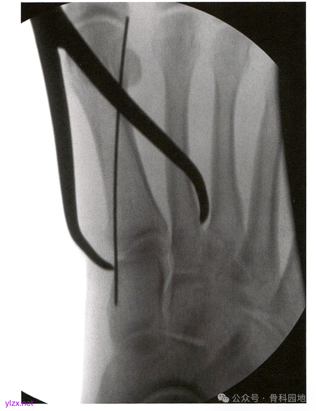
大多数损伤的第2MT都是向外半脱位的。将第2MT基底复位到第1MT基底外侧和内侧楔骨外侧关节面形成的凹陷中。在内侧楔骨的内侧皮质和第 2 MT基底外侧经皮放置一个中号复位钳,然后钳夹复位。

复位后,透视正位片和30°斜位片证实复位效果。

然后用点式复位(Weber)钳和手法复位第3TMT 关节。待第3TMT 关节复位后,经关节钻人1枚克氏针。
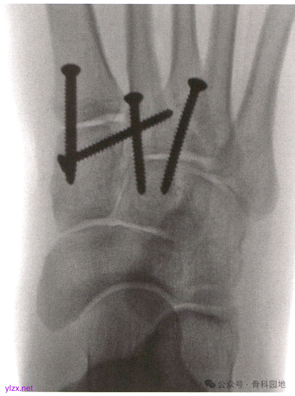
在第1、第2 和第3TMT 关节解剖复位并用克氏针临时固定后,从内侧楔骨向第2MT基底拧入“Lisfranc”螺钉。

完成第1、第2TMT关节的最终固定。

由于4 mm 骨皮质螺钉比 3.5 mm 螺钉或空心钉更坚固且更不易折断,所以建议使用4mm 骨皮质螺钉。但 3.5 mm 螺钉或空心钉对于小体格患者可能是足够的。如果使用空心钉,可以穿过克氏针拧人空心钉;但如果使用实心螺钉,只能从之前固定的克氏针旁边拧人。完成螺钉固定TMT关节,并用C臂机透视确认位置合适后,去除克氏针。

如果此时第 4/ 第 5TMT 关节仍然存在不稳定,需要复位后使用克氏针固定


