病例分享:尴尬位置的肺结节如何规划设计得以实施楔形切除?
时间:2025-04-06 12:09:30 热度:37.1℃ 作者:网络
前言:肺癌,尤其是现在很多见的磨玻璃密度肺癌手术该楔形切除还是肺段切除,抑或要切肺叶,一是基于密度纯或不纯以及实性成分占比多少;二是基于病灶位置能否亚肺叶切除。对于怎样的能争取亚肺叶切除,2024年版的《中华医学会肺癌诊疗指南》是这样描述的:亚肺叶切除术可适用于以下情况(1类推荐证据):(1)对于外周型、T1a~b、N0的含有磨玻璃成分的NSCLC,应强烈考虑进行亚肺叶切除术,首选肺段切除术;(2)对于外周型、T1a~b、N0但是肺功能储备差或者存在其他重大合并症不适宜进行肺叶切除术的高危患者,推荐楔形切除术,其次考虑肺段切除术。但在表述相关研究时还有一段有关楔形切除的是这样说的:JCOG0804研究提示,对于长径≤2 cm、CTR≤0.25的早期肺癌,手术方式以楔形切除为主(82%),非浸润性肺癌占97.7%,5年无复发生存率达到99.7%,且无局部复发事件。CALGB140503研究中,亚肺叶切除组中肺楔形切除占比近60%,亚肺叶切除组5年无复发生存率和5年总生存率与肺叶切除组差异均无统计学意义。故在肺门及纵隔淋巴结评估阴性的情况下,肺楔形切除可以用于外周型肿瘤长径2 cm以内的NSCLC。在亚肺叶切除的适应证表述中说2厘米以内的,淋巴结阴性的,含磨玻璃成分的可亚肺叶,首选肺段。而在楔形切除的描述中却是肺门与纵隔淋巴结评估阴性情况下,2厘米以内的外周型的都可以楔形切除。为什么楔形切除的反而比肺段切除的还要放得宽呢?我是不太理解,如果倒一下,都可肺段,含磨玻璃成分的可楔形,那就听着舒服与合理多了。当然之所以有这样的似乎反常的表述,是因为基于不同的临床研究。但我总认为我们可以理解为:2厘米以下的含磨玻璃密度成分的外周型非小细胞肺癌是可以选择楔形切除的。那有的位置比较尴尬,肺段或联合肺段才行,甚至可能得切肺叶,有没有能够努力设计仍争取楔形切除呢?今天分享的这例也是这种努力的尝试。
病史信息:
主 诉:
检查发现肺部阴影半年。
现病史:
患者半年前于当地医院行健康检查,行胸部CT提示肺部结节,平时无畏寒、寒战,无咳嗽、咳痰,无胸闷、胸痛,无恶心呕吐,无腹痛腹泻,无头晕头痛骨痛等不适,未予治疗。于我院复查CT肺结节CT靶重构:1.左肺下叶(SE4,IM276)结节,LUNG-RADS4x,倾向于IAC,请结合肺结节门诊意见。2.两肺多发微小结节及类结节,LUNG-RADS 2,建议年度复查。3.两肺下叶少许纤维增殖灶。现患者未见明显不适,为求进一步诊治来我院门诊就诊,拟“肺部阴影”收入我科。 患者起病以来,神志清,精神可,胃纳可,睡眠安,二便正常,体重近期无明显变化。 患者自诉血压偏高,未口服药物治疗。
影像展示与分析:

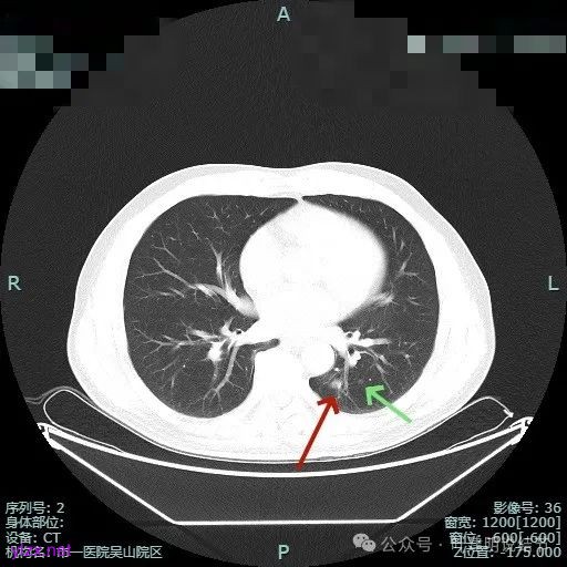
主病灶位于下叶后基底段下肺静脉水平,次病灶在同一层面位靠外基底段交界附近。

薄层上看主病灶不纯,有实性成分,也有血管穿行;次病灶是纯磨,微小的结节,但轮廓与边界较为清楚。

靶重建后见主病灶密度不均,灶内混合密度,整体轮廓较为清楚,表面不平,整体有一定膨胀感。

主病灶实性成分明显,表面有毛刺,边缘不平毛糙;次病灶密度纯且淡,轮廓清楚。

主病灶有血管进展与异常增粗,灶内有实性成分,中间有小空泡征。

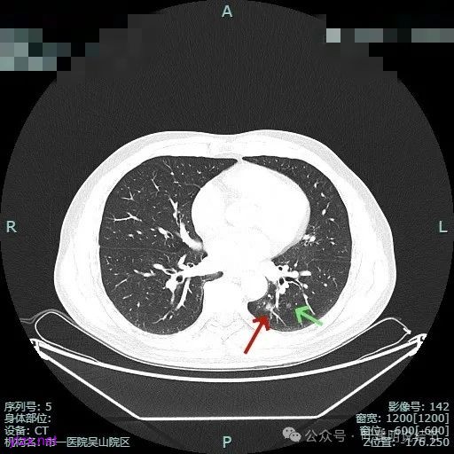
进入病灶内的血管壁毛糙不平,有异常增粗。

血管进入且异常增粗,其余部分密度为磨玻璃及少许点状偏高成分。

轮廓清,血管明显。

表面有浅分叶征,整体轮廓清。

灶内小空泡征,边缘略显毛糙,整体轮廓较清。

主病灶混合密度,血管进入;次病灶小且淡,但轮廓清。

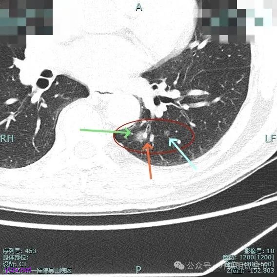
血管进入扭曲,毛刺明显,整体轮廓清,灶内小空泡征。

主病灶血管进入,灶内空泡,表面浅分叶,整体轮廓较清。
临床考虑:
1、诊断问题:主病灶有诸多恶性影像特征,包括混合密度、血管进入与异常增粗、浅分叶征、空泡征以及整体轮廓清楚,灶内密度杂乱,而且随访过持续存在,考虑至少是微浸润性腺癌,也可能是浸润性腺癌贴壁为主伴其他中分化亚型成分。次病灶密度淡且小,但轮廓清楚,也要考虑肿瘤范畴的,但大概仍是肺泡上皮增生或不典型增生(前者非严格意义上的腺癌范畴)。
2、手术问题:由于主病灶不纯,血管进入与增粗明显,随访是有风险的,应该考虑手术切除。而若主病灶要切除,那么次病灶离它这么近,应该也要考虑一并切除,不然一是只切主病灶后若次病灶刚好位于切缘处,以后观察有无进展困难,二是以后若仍考虑手术,增加难度。从连续层面看以,主病灶位于后基底段靠近背段处,单纯后基底段切除切缘可能不太够;次病灶则靠近外基底段,如果单纯切除后基底段也不安全。经过科室讨论,意见是可以考虑背段加后基底段切除,后基底段与外基底段之间还要往外基底段侧多切过去点。或者后基底段切除,但离断段间平面时向背段侧扩大切除一部分,往外基底段侧也扩大切除一部分。如果切除基底段,还要往背段切过去点,那下叶余下也不多了。手术方式比较纠结。
最后结果:
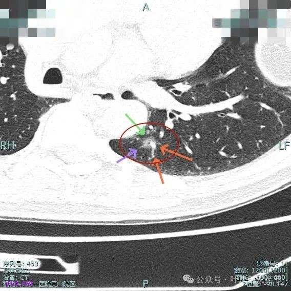
手术组再三考虑,由于即使主病灶仍磨玻璃成分为主,是符合指南亚肺叶切除的指征的,如果能想办法定位后楔形切除,不按肺段解剖切,不单手术方便,而且也容易保留更多肺组织。所以与患方商量并沟通后,我们仍选择定位后的楔形切除,术前请影像科沈起钧主任定位,用医用胶定:

上图蓝色箭头所指的是医用定位胶,天蓝色箭头是次病灶,红色箭头是主病灶,设计的切除线如虚线所示。我们打算进胸后确定定位胶所在平面,因为包括两处病灶均在同一平面上,然后我们游离下肺韧带,将后基底段此部分肺组织向下解剖游离开,直到下肺静脉下缘,并贴着下叶静脉边缘往肺实质深面用切割缝合器切开并闭合肺切缘,按CT上大概距离推算,到越过次病灶深度后转向胸肋面,切除该范围内的肺组织。

主病灶切面灰白,质较硬。

次病灶只是颜色略灰白,稍偏硬点。

术中病理示主病灶贴壁生长的腺癌,局灶浸润。次病灶肺泡上皮增生,肺泡间隔增宽,肺泡腔内组织细胞聚集,间质灶性淋巴细胞浸润。

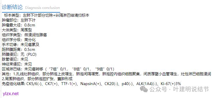
常规病理出来示:主病灶微浸润性腺癌,次病灶肺泡上皮增生、肺泡间隔增宽、肺泡腔内组织细胞聚集,间质厚壁小血管增生,灶性淋巴细胞浸润。
感悟:
磨玻璃肺癌的手术,我一直宣扬的是:能楔不段、能段不叶,只叶延迟。欣喜的看到肺癌诊疗指南近些年的变化,亚肺叶切除,包括楔形切除越来越充分的临床研究证据,也越来越提高的推荐证据级别。到了2024年的中华医学会指南,亚肺叶切除也是1类推荐了,与早期肺癌的肺叶切除加淋巴结清扫级别一样。这不知道会给多少结友带来更小的创伤与更少的肺组织切除的权威依据。但目前仍更多医生倾向肺段切除,我们可以在许多高水平手术视频的展示中会发现所实施肺段切除的病灶只是纯磨玻璃结节,甚至多是亚厘米的,术后病理也很多只是原位癌或微浸润性腺癌,关键是位置还是在能简单楔形的位置也做了肺段、联合亚段或机器人辅助的肺段切除,手术非常高大上,也许多都做得很流畅,很漂亮。但我总在想,如果简单楔切就能解决的,为什么要做机器人辅助肺段切除呢?当然今天这例的位置做肺段是适合的,但确实单纯后基底段不太行,范围要再大点,所以又当心切除的范围会比较大,而且关键是那样手术复杂得多。现在从结果来看,微浸润性腺癌与肺泡上皮增生,楔切解决效果一样,而且切除范围比联合肺段肯定更少。外科医生追求技艺更高超是应该的,但是否也可考虑化繁为简,把复杂的事情做简单呢?

