Circulation 空军军医大学西京医院陶凌/张富洋团队发现心脏淋巴管退化性病变是HFpEF重要致病因素
时间:2025-04-05 12:08:46 热度:37.1℃ 作者:网络
随着人口老龄化加剧和肥胖、高血压等危险因素快速流行,射血分数保留性心力衰竭(HFpEF)已成为占所有心衰患者近一半的重要亚型。HFpEF的住院率与死亡率和射血分数降低性心力衰竭(HFrEF)相当,但HFpEF的发病机制非常复杂且与HFrEF之间存在显著差异,目前仍缺乏针对HFpEF的有效疗法。
2025年4月1日,空军军医大学西京医院心血管内科陶凌和张富洋团队在Circulation上发表了题为“Lymphatic Endothelial Branched-Chain Amino Acid Catabolic Defects Undermine Cardiac Lymphatic Integrity and Drive HFpEF”的研究论文。该研究首次揭示了心脏淋巴管结构损伤和功能障碍等退化性病变是HFpEF明显区别于HFrEF的重要致病因素,并发现淋巴管内皮细胞(LEC)的支链氨基酸代谢紊乱是破坏心脏淋巴管完整性并驱动HFpEF发生发展的关键机制。这一研究为理解HFpEF病理生理机制提供了全新视角,并为靶向心脏淋巴管开发HFpEF治疗策略提供了实验基础和理论依据。

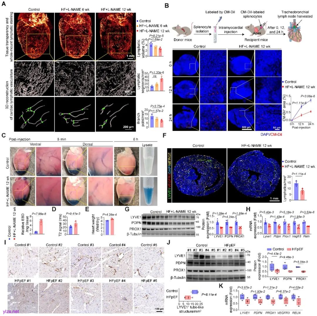
首先,研究者发现,在肥胖和高血压双重打击下的HFpEF小鼠中,心脏淋巴管出现明显的结构破坏和功能减退,表现为LEC密度降低、淋巴管断裂、分支连接减少以及引流组织液和炎细胞的能力明显受损。此外,HFpEF患者心脏组织中的LEC数量和相关标志物表达水平也显著降低(图1)。在肥胖和高血压双重打击HFpEF小鼠模型中,在心脏舒张功能障碍和运动能力下降之前就出现上述心脏淋巴结构和功能异常,表明心脏淋巴管退化性病变是HFpEF进展的早期事件。HFpEF小鼠心脏淋巴管对组织液和炎细胞的引流能力受损,这可能是导致HFpEF心脏水肿和慢性炎症的原因。HFpEF心脏淋巴管退化性病变与既往观察到的HFrEF心脏代偿性淋巴管生成形成鲜明对比,提示心脏淋巴管退化性病变是HFpEF明显区别于HFrEF的独特病理特征。

图1. HFpEF心脏淋巴管出现结构破坏和功能减弱等退化性病变
研究者利用携带了血管内皮生长因子C (VEGFC)工程变异基因[可选择性激活血管内皮生长因子受体3 (VEGFR3)]的腺相关病毒刺激淋巴管新生反应,恢复了肥胖和高血压打击下心脏淋巴管结构和功能异常,并显著减轻了HFpEF。这一结果证明,刺激淋巴管生成是减轻HFpEF心脏淋巴管退化性病变以及治疗HFpEF的一种可行策略。VEGFR3是一种主要在LEC上表达的受体,与其配体VEGFC作用从而触发淋巴管新生信号通路,促进新的淋巴管形成。研究者发现靶向VEGFR3刺激淋巴管新生不仅有效修复了HFpEF心脏淋巴管,还显著改善了心肌肥大、纤维化、水肿和炎症以及心脏舒张功能障碍和心衰症状(图2)。这不仅支持心脏淋巴管退化性病变和HFpEF之间存在直接因果关系,而且表明靶向VEGFC/VEGFR3轴刺激淋巴管生成有望成为一个新的HFpEF治疗策略。

图2. 刺激淋巴管新生减轻心脏淋巴管退化性病变并改善HFpEF
进一步的研究显示,支链氨基酸分解代谢受损是HFpEF小鼠心脏LEC的一个主要代谢特征。支链酮酸脱氢酶激酶(由Bckdk基因编码)过表达使支链酮酸脱氢酶(支链氨基酸分解代谢限速酶)发生磷酸化修饰并失活,导致LEC自发出现淋巴管新生缺陷。在小鼠中,LEC特异性Bckdk基因敲除可增强LEC支链氨基酸分解代谢能力,从而维持了HFpEF小鼠心脏淋巴管完整性,并有效减轻心脏病理性重塑和心功能障碍。机制方面,研究发现支链氨基酸分解代谢障碍会导致LEC中Src激酶明显活化。异常活化的Src激酶会导致细胞质中VEGFR3发生配体非依赖性的磷酸化修饰,从而导致VEGFR3转位进入溶酶体降解,而不是像生理情况下被转位至细胞膜表面。在支链氨基酸分解代谢障碍的LEC中,细胞膜表面的VEGFR3丰度降低会减少VEGFC刺激的下游蛋白激酶B (Akt)的活化以及LEC对葡萄糖的摄取和利用,从而抑制了VEGFC/VEGFR3信号轴启动的淋巴管新生反应。既往研究已经广泛研究了LEC葡萄糖和脂肪酸代谢对淋巴管新生的调控作用,此项研究首次确定了支链氨基酸分解代谢在调控淋巴管新生中发挥关键作用,并阐明了其调控淋巴管新生的具体分子机制,为淋巴管生物学的代谢调节增加了糖、脂代谢之外的新维度。

图3. 增强LEC的支链氨基酸分解代谢改善心脏淋巴管退化性病变和HFpEF
综上,这一工作率先揭示了心脏淋巴管退化性病变是HFpEF明显区别于HFrEF的重要致病因素,阐明了支链氨基酸代谢在调控淋巴管生物学和器官淋巴管稳态中未被认识到的关键作用,并提示恢复心脏淋巴管完整性(如刺激淋巴管新生)可能是HFpEF一个不可忽视的全新防治方向。

图4. LEC支链氨基酸代谢障碍驱动心脏淋巴管退化性病变和HFpEF机制图
该项工作主要由空军军医大学西京医院心血管内科郭雄博士、黄冲博士、张玲助理研究员和胡洸瑜讲师等人共同完成,空军军医大学西京医院心血管内科陶凌教授和张富洋副主任医师为文章共同通讯作者。上述工作得到了北京安贞医院杜芸辉教授和中山大学张峰教授的大力支持和无私帮助,也得到了国家自然科学基金委员会和陕西省自然科学基础研究计划的经费资助。陶凌团队长期致力于代谢性心血管疾病的基础与转化研究,并牵头多项大规模、多中心临床试验,研究成果在Lancet、BMJ、Circulation、European Heart Journal、Circulation Research等顶尖杂志发表。陶凌课题组常年招收优秀的基础医学与临床医学博士后,欢迎邮件联系:lingtaofmmu@qq.com (陶凌)或者plazhangfuyang@163.com (张富洋)。
原文链接:
https://www.ahajournals.org/doi/epub/10.1161/CIRCULATIONAHA.124.071741

