问诊反馈:问诊了有十个医生,全部考虑肺癌!这个8年了的结节,我在纠结中也选择建议其切了,结果良性?!
时间:2025-04-04 12:09:54 热度:37.1℃ 作者:网络
病史信息:
基本信息:
女性, 44岁。
主诉:
发现肺结节7年。
现病史:
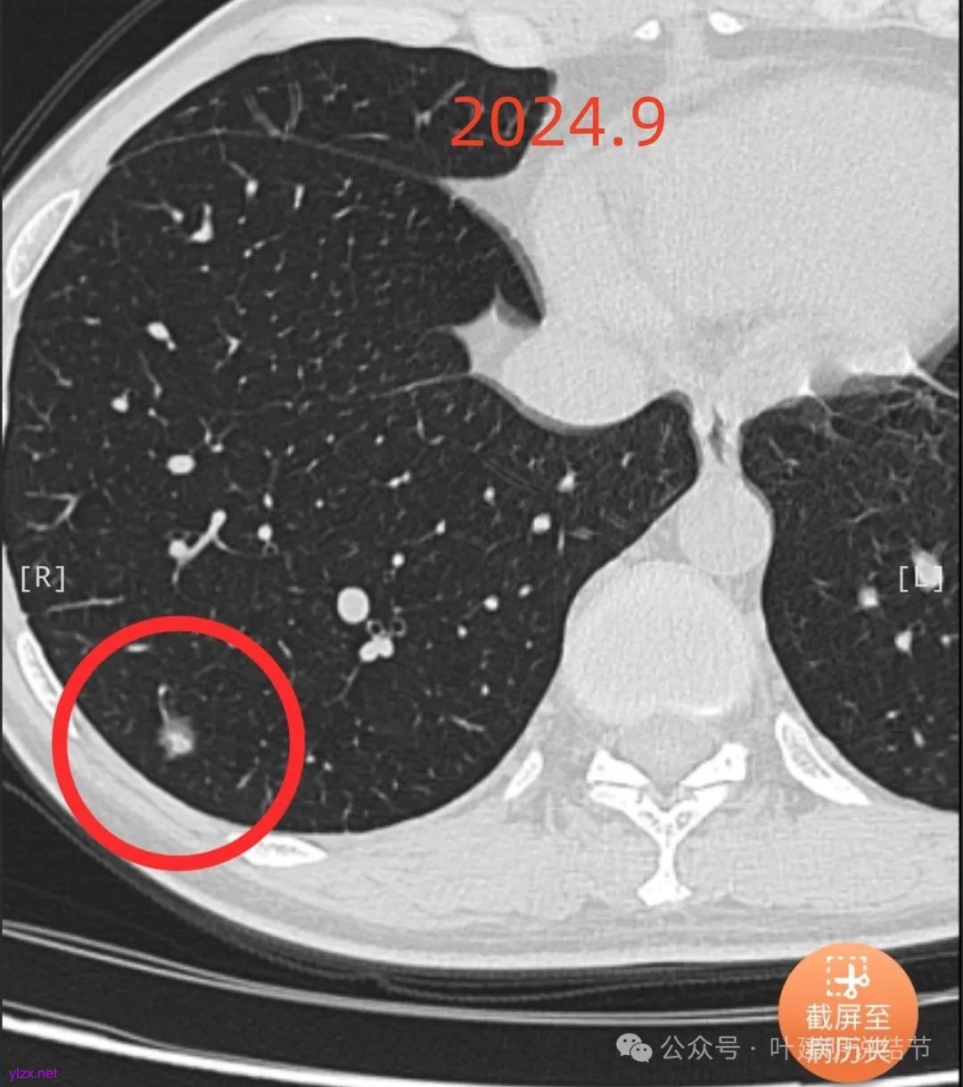
患者7年前在当地医院就诊时完善胸部CT发现肺结节,发现后未服用药物治疗,定期复查随诊,2024-09-29复查胸部CT提示:右肺下叶(薄234)见混杂密度小结节影,边缘毛糙,大小约0.8x0.7cm,其内见小血管穿行。双肺可见多发微小结节影,双肺见索条影,右肺可见小钙化灶。近期患者无咳嗽、咳痰、咯血、胸闷、胸痛、心慌、气急、头晕、头痛、畏寒、发热等不适,精神、饮食、睡眠正常,大小便正常,体重无明显变化。
曾就诊医院:
某A医科大学附属第二医院,某B医科大学第一医院。
希望获得的帮助:
判断结节恶性程度 目前继续观察还是积极切除 如果观察多久复查?
影像展示与分析:


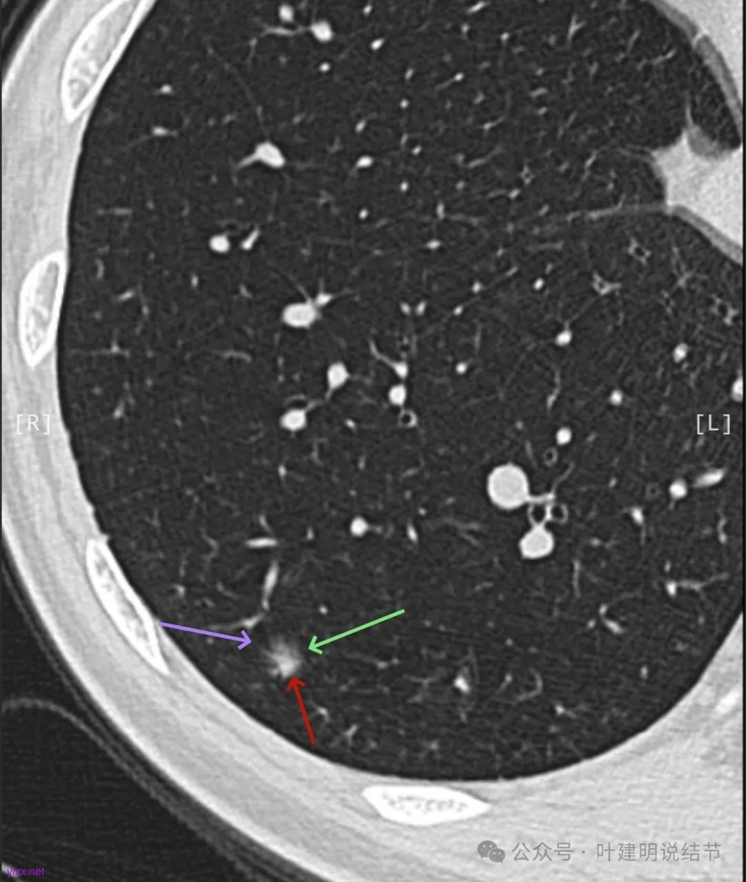
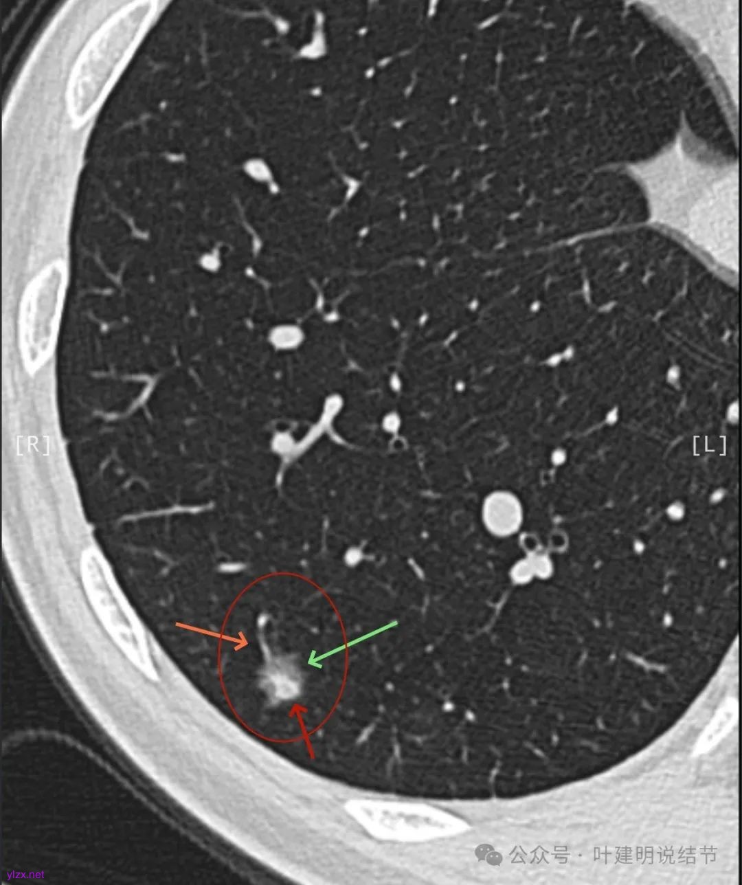
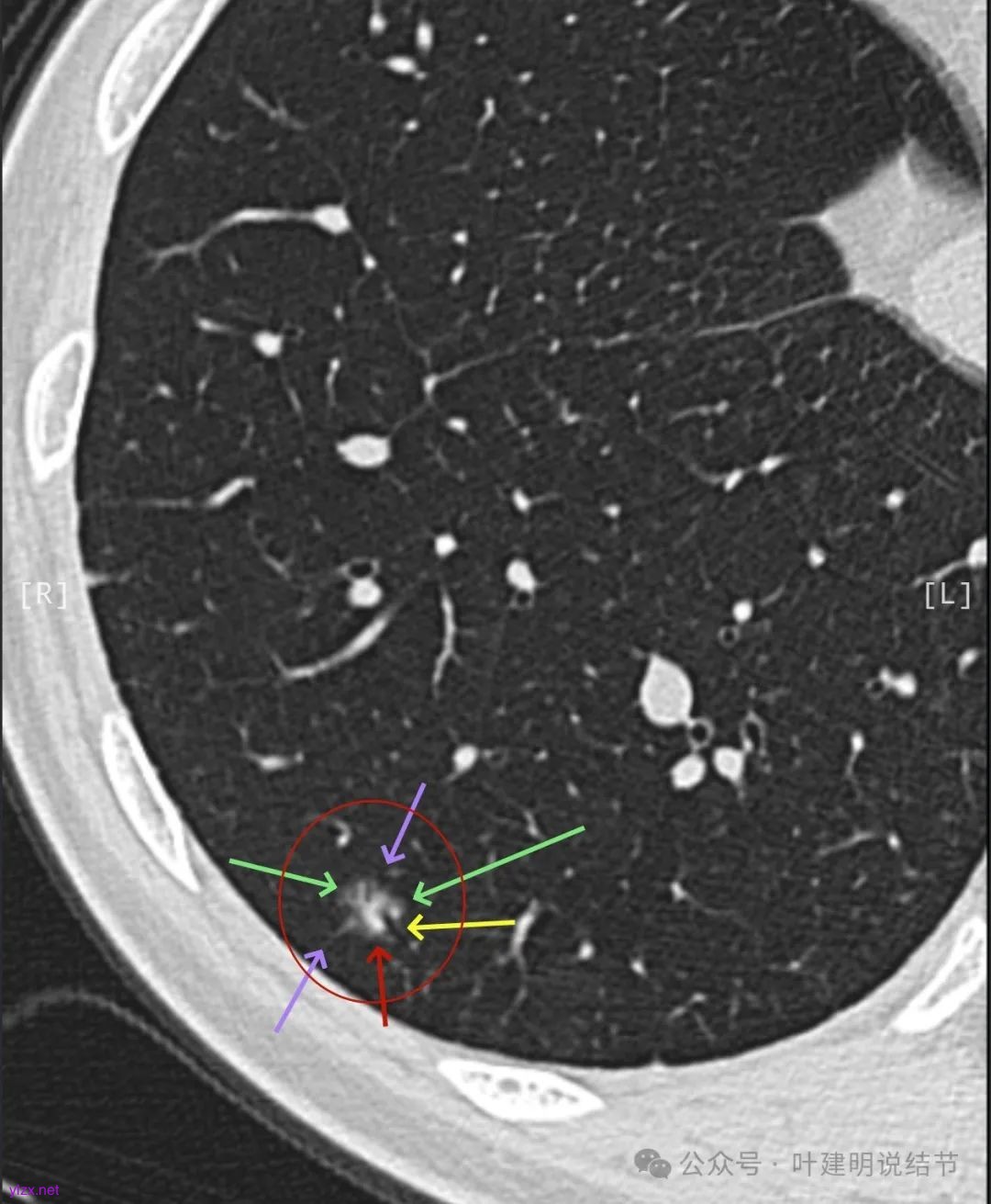
2024年9月时病灶较前有所增大,实性成分增大,表面不平,棘突明显,进入血管有异常增粗。
我的意见:
右下叶混合密度结节,随访略有进展,表面不平、边缘毛刺,有血管进入,整体轮廓与边界清,考虑是肿瘤范畴的,从进展缓慢来讲,恶性程度不高,应该是微浸润性腺癌或浸润性腺癌含贴壁与乳头型可能性大。由于位置好,能楔切,倾向考虑单孔胸腔镜下局部切了。意见供参考!
后续交流:
结友后来又上传了2017年时的影像:


看了2017年的影像后,我又觉得病灶与附近炎性的形态类似,而且7年来进展也不厉害,慢性炎伴纤维增生的可能性也是有的。所以先半年复查,再有进展更像恶性再手术也可以。
我的态度又出现反复:
逐层看了2024年的影像:




我又建议其还是切了好。但嘱咐她不管病理是什么类型,只做楔形切除,因为毕竟7年才长这么点,浸润性癌也不会是恶性高会转移的亚型。
后续反馈:



感悟:
这个病例其实有反思回顾的价值,我想可以从中得出下面这些感想:1、混合磨玻璃结节随访持续存在且没有钙化或吸收好转,即使整体轮廓清,有血管征、有细支气管截断征、有毛刺与棘突征,且灶内密度杂乱,集齐许多恶性影像特征,仍不能下定论必为恶性;2、回头看病灶最终之所以不是恶性,而是慢性炎伴纤维增生与碳末沉积,最为关键的一是进展太慢,不符合混合密度结节含高密度实性成分的肺癌的生物学行为;二是实性部分密度过高而磨玻璃成分显得略偏模糊,看上去像有点晕征的味道。我反复总结过“混合密度实性成分过高而磨玻璃成分密度过低的容易是慢性炎或肉芽肿性炎伴纤维增生”。但临床的应用中仍不太敢下定论;3、多看几位医生也不能就100%明确。就如此例10位医生均考虑恶性范畴,虽有一位考虑原位癌,但其实也算是癌的范畴,但其实真正的影像上之所以判断的病灶部分不是肺癌,若牵强认为非典型增生与原位癌类似也可算浸润性病变,那也是碰巧而已,而不是从影像判断上看出有不典型增生,而密度高的却认定是良性成分;4、手术切除与否对于此例来说,仍是值得的,因为问了10位医生都说是肺癌,即使随访也压力巨大,而且密度不纯。从结果来看,已经存在非典型增生,继续随访,多年后也可能还是会发展成微浸润性腺癌或浸润性癌的可能性。而且楔切创伤不大,既明确诊断,也去除了病灶,是利大于弊的。当然这再次印证我一直坚持的原则:从风险高低来考虑手术与否以及干预的时机,而不要过于在意最后的病理结果。

